相关产品推荐更多 >
万千商家帮你免费找货
0 人在求购买到急需产品
- 详细信息
- 技术资料
- 免疫原:
Purified MCP
- 亚型:
IgG1
- 形态:
Liquid
- 保存条件:
Store as concentrated solution. Centrifuge briefly prior to opening vial. Store at 4ºC.
- 克隆性:
Monoclonal
- 标记物:
Unconjugated
- 适应物种:
Human
- 保质期:
12 months from the shipping date of the product.
- 抗原来源:
Human
- 目录编号:
GTX54447
- 级别:
Primary Antibodies
- 库存:
Available
- 供应商:
GeneTex
- 宿主:
Mouse
- 应用范围:
WB, IHC-Fr, FACS, IP, ELISA, Functional Assay
- 浓度:
100 μg/ml (Please refer to the vial label for the specific concentration.)
- 靶点:
This antibody stains the extracellular domain of CD46. The monoclonal antibody M177 reacts with the SCR2 domain.
- 抗体英文名:
CD46 antibody [M177]
- 抗体名:
CD46 抗体 [M177]
- 规格:
50 μg
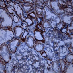
IHC-Fr analysis of human kidney tissue sections using GTX54447 CD46 antibody [M177]. The antibody appeared to give a specific staining in glomeruli, juxtaglomerular apparatus and tubuli.
Dilution : 1:4000
FACS analysis of THP-1 cells using GTX54447 CD46 antibody [M177].
Red : Negative control
Black : Cells only control
Blue : Primary antibody
Antibody amount : 10 μg
风险提示:丁香通仅作为第三方平台,为商家信息发布提供平台空间。用户咨询产品时请注意保护个人信息及财产安全,合理判断,谨慎选购商品,商家和用户对交易行为负责。对于医疗器械类产品,请先查证核实企业经营资质和医疗器械产品注册证情况。
技术资料暂无技术资料 索取技术资料







![Neurofibromin antibody [McNFn27b]](https://img1.dxycdn.com/2022/0328/990/4275092915770400453-14.jpg!wh200)
![Alpha fetoprotein / AFP antibody [3B5]](https://img1.dxycdn.com/2022/0328/438/5357205599988500453-14.jpg!wh200)


