相关产品推荐更多 >
万千商家帮你免费找货
0 人在求购买到急需产品
- 详细信息
- 文献和实验
- 技术资料
- 免疫原:
Peptide sequence around aa.13~17 (P-L-S-Q-E) derived from human p53.
- 亚型:
IgG
- 形态:
Liquid
- 保存条件:
Store as concentrated solution. Centrifuge briefly prior to opening vial. For short-term storage (1-2 weeks), store at 4ºC. For long-term storage, aliquot and store at -20ºC or below. Avoid multiple freeze-thaw cycles.
- 克隆性:
Polyclonal
- 标记物:
Unconjugated
- 适应物种:
Human, Mouse, Rat
- 保质期:
12 months from the shipping date of the product.
- 抗原来源:
Human
- 目录编号:
GTX50438
- 级别:
Primary Antibodies
- 库存:
Available
- 供应商:
GeneTex
- 宿主:
Rabbit
- 应用范围:
WB, ICC/IF, IHC-P, IP
- 浓度:
1 mg/ml (Please refer to the vial label for the specific concentration.)
- 靶点:
p53
- 抗体英文名:
p53 antibody
- 抗体名:
p53 抗体
- 规格:
100 μl
Various whole cell extracts (30 μg) were separated by 10% SDS-PAGE, and the membrane was blotted with p53 antibody (GTX50438) diluted at 1:500. The HRP-conjugated anti-rabbit IgG antibody (GTX213110-01) was used to detect the primary antibody, and the signal was developed with Trident ECL plus-Enhanced.
IP analysis of extracts from 293T cells using GTX50438 p53 antibody.
WB analysis of extracts from mouse brain tissue using GTX50438 p53 antibody.
ICC/IF analysis of methanol-fixed HeLa cells using GTX50438 p53 antibody.
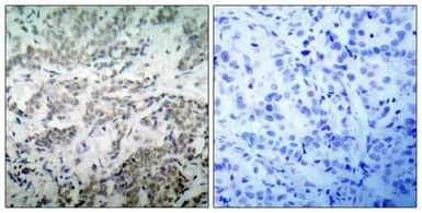
IHC-P analysis of human breast carcinoma tissue using GTX50438 p53 antibody.
Left : Primary antibody
Right : Primary antibody pre-incubated with the antigen specific peptide
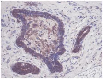
IHC-P analysis of rat breast tissue sections using GTX50438 p53 antibody.
WB analysis of extracts from various sample using GTX50438 p53 antibody.
Lane 1 : rat breast tissue
Lane 2 : rat colon tissue
Dilution : 1:1000
IHC-P analysis of rat breast tissue using GTX50438 p53 antibody.
Dilution : 1:100
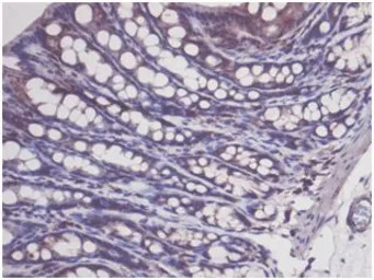
IHC-P analysis of rat colon tissue sections using GTX50438 p53 antibody.
风险提示:丁香通仅作为第三方平台,为商家信息发布提供平台空间。用户咨询产品时请注意保护个人信息及财产安全,合理判断,谨慎选购商品,商家和用户对交易行为负责。对于医疗器械类产品,请先查证核实企业经营资质和医疗器械产品注册证情况。
文献和实验Trujillo-Uscanga A et al., Virology 2020 (PMID:32890980)
coco0663 P53 NM_000546.4 Transcript Variant: This variant (1) is a dominant transcript and encodes isoform a. 麻烦高手看下,这是野生型P53还是突变型P53? Transcript Variant是否突变型的意思,那么NM_000546.4 所转录的是否就是突变型的P53? 谢谢 侠骨仁医
whl111 P53蛋白具有肿瘤抑制作用,其机制可能是影响肿瘤细胞的凋亡。各位战友有没有想过如果将P53于体外直接作用于肿瘤细胞是不是会引起细胞的凋亡?而如果想办法让P53蛋白在体内能够接触到肿瘤细胞是不是可以起到抑制肿瘤细胞生长的作用呢? pub_wang 不太可能,其通路在肿瘤发生中已被打破,肿瘤中整个平衡都变了。 5米 一颗种子当它还是种子的时候,你把种子煮一下也许再也不会发芽,当这颗
bowenwei P53蛋白可以用WESTERN BLOT法测定吗 lnzyxyqy2003 可以啊 fangweibin119 当然可以 这个蛋白还是很好做的哦 jgl2008 请教版主,这个p53蛋白在hela细胞中的检测如何,我做了好久,均未见条带,可否赐教下呢,感谢! 忧兴逸亡 看下P53存在于细胞
技术资料暂无技术资料 索取技术资料











