相关产品推荐更多 >
万千商家帮你免费找货
0 人在求购买到急需产品
- 详细信息
- 文献和实验
- 技术资料
- 免疫原:
Recombinant human vWF fragment spanning aa 845-949
- 亚型:
IgG1
- 形态:
Liquid
- 保存条件:
Store as concentrated solution. Centrifuge briefly prior to opening vial. For short-term storage (1-2 weeks), store at 4ºC. For long-term storage, aliquot and store at -20ºC or below. Avoid multiple freeze-thaw cycles.
- 克隆性:
Monoclonal
- 标记物:
Unconjugated
- 适应物种:
Human
- 保质期:
12 months from the shipping date of the product.
- 抗原来源:
Human
- 目录编号:
GTX35168
- 级别:
Primary Antibodies
- 库存:
Available
- 供应商:
GeneTex
- 宿主:
Mouse
- 应用范围:
WB, ICC/IF, IHC-P, FACS, IP
- 浓度:
0.2 mg/ml (Please refer to the vial label for the specific concentration.)
- 靶点:
VWF
- 抗体英文名:
VWF antibody [IIIE2.34]
- 抗体名:
VWF 抗体 [IIIE2.34]
- 规格:
100 μg
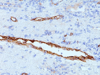
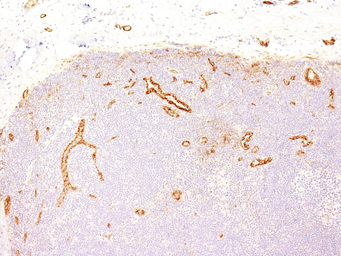
IHC-P analysis of human tonsil tissue using GTX35168 VWF antibody [IIIE2.34].
IHC-P analysis of human tonsil tissue using GTX35168 VWF antibody [IIIE2.34].
风险提示:丁香通仅作为第三方平台,为商家信息发布提供平台空间。用户咨询产品时请注意保护个人信息及财产安全,合理判断,谨慎选购商品,商家和用户对交易行为负责。对于医疗器械类产品,请先查证核实企业经营资质和医疗器械产品注册证情况。
文献和实验Preparation of Cytotoxic Antibody-Toxin Conjugates
(1 ). Ricin and abrin are protein toxins consisting of two different polypeptide subunits, the A and B chains, which are of similar size (between 30 and 34 kDa) and are joined by a single disulfide bond. The A chain is a ribosome-inactivating protein (RIP
for 10 min at 400 x g to remove excess DETACHaBEAD. 14) Resuspend the cells in Buffer or Culture Medium. 15) The isolated cells are pure, viable and free from antibody bound to the surface, and may be used in any downstream application
上海西唐生物科技有限公司 021-55229872, 65333639 www.westang.com 大鼠血管性血友病因子 (VWF)ELISA 试剂盒 ( 用于血清、血浆、细胞培养上清液和其它生物体液内 ) 原理 本实验采用双抗体夹心 ABC-ELISA 法。用抗大鼠 VWF 单抗包被于酶标板上,标准品和样品中的 VWF 与单抗结合,加入生物素化的抗大鼠 VWF ,形成免疫复合物连接在板上,辣根
技术资料暂无技术资料 索取技术资料








![CD37 antibody [2B8]](https://img1.dxycdn.com/2022/0328/194/2366287950457500453-14.jpg!wh200)


