相关产品推荐更多 >
万千商家帮你免费找货
0 人在求购买到急需产品
- 详细信息
- 文献和实验
- 技术资料
- 免疫原:
Peptide sequence around aa. 771~775 (P-L-Y-K-E) derived from human Integrin beta 3.
- 亚型:
IgG
- 形态:
Liquid
- 保存条件:
Store as concentrated solution. Centrifuge briefly prior to opening vial. For short-term storage (1-2 weeks), store at 4ºC. For long-term storage, aliquot and store at -20ºC or below. Avoid multiple freeze-thaw cycles.
- 克隆性:
Polyclonal
- 标记物:
Unconjugated
- 适应物种:
Human, Mouse
- 保质期:
12 months from the shipping date of the product.
- 抗原来源:
Human
- 目录编号:
GTX50435
- 级别:
Primary Antibodies
- 库存:
Available
- 供应商:
GeneTex
- 宿主:
Rabbit
- 应用范围:
WB, IHC-P
- 浓度:
1 mg/ml (Please refer to the vial label for the specific concentration.)
- 靶点:
Integrin beta 3
- 抗体英文名:
Integrin beta 3 antibody
- 抗体名:
Integrin beta 3 抗体
- 规格:
100 μl
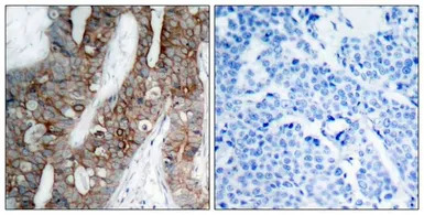
IHC-P analysis of human breast carcinoma tissue using GTX50435 Integrin beta 3 antibody.
Left : Primary antibody
Right : Primary antibody pre-incubated with the antigen specific peptide
WB analysis of extracts from HL-60 and HT-29 cells using GTX50435 Integrin beta 3 antibody.
风险提示:丁香通仅作为第三方平台,为商家信息发布提供平台空间。用户咨询产品时请注意保护个人信息及财产安全,合理判断,谨慎选购商品,商家和用户对交易行为负责。对于医疗器械类产品,请先查证核实企业经营资质和医疗器械产品注册证情况。
文献和实验Smilde BJ et al., Int J Cardiol 2016 (PMID:27140338)
Anticardiolipin Antibody and Anti-beta 2 Glycoprotein I Antibody Assays
) antibodies and anti-beta 2 glycoprotein I (β2-GPI) antibodies. Other autoantibodies, such as those directed against anionic phospholipids, can also be assayed; however they are not of clinical significance. Participation in a quality assurance
spreading, we developed a method engaging integrin signaling by use of an immobilized anti-integrin monoclonal antibody (mab) directed against the fibronectin (FN) receptor integrin α5β1. ECV 304 cells were plated onto FN or immobilized mab JBS5 (anti
the opportunity to directly monitor new therapies. In this chapter, we describe a protocol to image, the in vivo distribution of the integrin β7 , expressed by lymphocytes recruited to and retained by the inflamed gut, using a radiolabeled whole antibody
技术资料暂无技术资料 索取技术资料







![Granzyme H antibody [N2C3]](https://img1.dxycdn.com/2022/0328/649/9043463666150300453-14.jpg!wh200)
![Dystrophin antibody [MANDYS8]](https://img1.dxycdn.com/2022/0328/843/0141175692700400453-14.jpg!wh200)


