相关产品推荐更多 >
万千商家帮你免费找货
0 人在求购买到急需产品
- 详细信息
- 文献和实验
- 技术资料
- 免疫原:
Peptide sequence around aa. 699~703 (T-G-Y-I-K) derived from human STAT1.
- 亚型:
IgG
- 形态:
Liquid
- 保存条件:
Store as concentrated solution. Centrifuge briefly prior to opening vial. For short-term storage (1-2 weeks), store at 4ºC. For long-term storage, aliquot and store at -20ºC or below. Avoid multiple freeze-thaw cycles.
- 克隆性:
Polyclonal
- 标记物:
Unconjugated
- 适应物种:
Human
- 保质期:
12 months from the shipping date of the product.
- 抗原来源:
Human
- 目录编号:
GTX50401
- 级别:
Primary Antibodies
- 库存:
Available
- 供应商:
GeneTex
- 宿主:
Rabbit
- 应用范围:
WB, IHC-P
- 浓度:
1 mg/ml (Please refer to the vial label for the specific concentration.)
- 靶点:
STAT1
- 抗体英文名:
STAT1 antibody
- 抗体名:
STAT1 抗体
- 规格:
100 μl
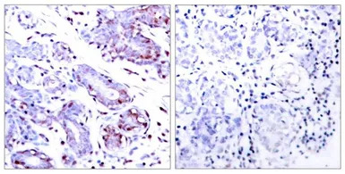
IHC-P analysis of human breast carcinoma tissue using GTX50401 STAT1 antibody.
Left : Primary antibody
Right : Primary antibody pre-incubated with the antigen specific peptide
WB analysis of extracts from HeLa, A431, and JK cells using GTX50401 STAT1 antibody.
风险提示:丁香通仅作为第三方平台,为商家信息发布提供平台空间。用户咨询产品时请注意保护个人信息及财产安全,合理判断,谨慎选购商品,商家和用户对交易行为负责。对于医疗器械类产品,请先查证核实企业经营资质和医疗器械产品注册证情况。
文献和实验fengbozhang 各位大侠:最近投了一个paper,是关于一个细胞因子激活STAT1通路,抑制ERK1/2通路而抑制肿瘤细胞生长的。 老外的回修意见中,要求我做一个简单的小示意图,来说明作用信号传导通路。本人检索众多文献,发现无论STAT1还是ERK1/2,都很复杂,设计到很多的分子、染色体等,这个图该怎么简单说明一下呢?本人是搞临床的,弄这个东西实在很挠头啊!***高招! kern6549 审稿人的意思应该
Assessing Sequence-Specific DNA Binding and Transcriptional Activity of STAT1 Transcription Factor
and carrier-independent transport pathways, and it was previously shown that STAT1 exits the nucleus only after its prior enzymatic dephosphorylation by nuclear phosphatases. The identification of different transport pathways for unphosphorylated and tyrosine
Generation of Antibody Molecules Through Antibody Engineering
been overcome to a large extent using genetic-engineering techniques to produce chimeric mouse/human and completely human antibodies. Such an approach is particularly suitable because of the domain structure of the antibody molecule ( 2 ), where functional
技术资料暂无技术资料 索取技术资料







![14-3-3 sigma antibody [1.T.28]](https://img1.dxycdn.com/2022/0329/614/3860672988824020453-14.jpg!wh200)


