相关产品推荐更多 >
万千商家帮你免费找货
0 人在求购买到急需产品
- 详细信息
- 文献和实验
- 技术资料
- 免疫原:
Recombinant human SUMO2 (1-93aa) purified from E.coli
- 亚型:
IgG2b
- 形态:
Liquid
- 保存条件:
Store as concentrated solution. Centrifuge briefly prior to opening vial. For short-term storage (1-2 weeks), store at 4ºC. For long-term storage, aliquot and store at -20ºC or below. Avoid multiple freeze-thaw cycles.
- 克隆性:
Monoclonal
- 标记物:
Unconjugated
- 适应物种:
Human
- 保质期:
12 months from the shipping date of the product.
- 抗原来源:
Human
- 目录编号:
GTX50000
- 级别:
Primary Antibodies
- 库存:
Available
- 供应商:
GeneTex
- 宿主:
Mouse
- 应用范围:
WB, ICC/IF, IHC-P, FACS, ELISA
- 浓度:
1 mg/ml (Please refer to the vial label for the specific concentration.)
- 靶点:
SUMO2
- 抗体英文名:
SUMO2 antibody [AT10F1]
- 抗体名:
SUMO2 抗体 [AT10F1]
- 规格:
100 μl
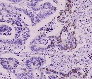
Paraffin embedded sections of colorectal cancer tissue were incubated with anti-human SUMO2/3 antibody (1:50, GTX50000) for 2 hours at room temperature. Antigen retrieval was performed in 0.1M sodium citrate buffer and detected using Diaminobenzidine (DAB).
Cell lysates of HeLa (35ug) and recombinant proteins (10ng) were resolved by SDS-PAGE, transferred to PVDF membrane and probed with anti-human SUMO2/3 (1:500, GTX50000). Proteins were visualized using a goat anti-mouse secondary antibody conjugated to HRP and an ECL detection system.
Immunofluorescence of human HeLa cells stained with Hoechst 3342 (Blue) for nucleus staining and monoclonal anti-human SUMO2/3 antibody (1:500) with Texas Red (Red).
Cell lysates of HeLa (35ug) and recombinant proteins (10ng) were resolved by SDS-PAGE, transferred to PVDF membrane and probed with anti-human SUMO2/3 (1:500). Proteins were visualized using a goat anti-mouse secondary antibody conjugated to HRP and an EC
风险提示:丁香通仅作为第三方平台,为商家信息发布提供平台空间。用户咨询产品时请注意保护个人信息及财产安全,合理判断,谨慎选购商品,商家和用户对交易行为负责。对于医疗器械类产品,请先查证核实企业经营资质和医疗器械产品注册证情况。
文献和实验人转录因子E2F1 ( E2F1 )ELISA 试剂盒 原理 本实验采用双抗体夹心 ABC-ELISA 法。用抗人 E2F1 单抗包被于酶标板上,标准品和样品中的 E2F1与单抗结合,加入生物素化的抗人 E2F1 ,形成免疫复合物连接在板上,辣根过氧化物酶标记的 Streptavidin 与生物素结合,加入底物工作液显蓝色,最后加终止液硫酸,在 450nm 处测 OD 值,E2F1 浓度与 OD 值成正比
大鼠6-酮-前列腺素F1(6-k-PGF1)ELISA试剂盒
大鼠 6- 酮 - 前列腺素 F1a (6-k-PGF1a )ELISA 试剂盒 ( 用于血清、血浆、细胞培养上清液和其它生物体液内 ) 原理 本实验采用双抗体夹心 ABC-ELISA 法。用抗大鼠 6-k-PGF1a 单抗包被于酶标板上,标准品和样品中的 6-k-PGF1a 与单抗结合,加入生物素化的抗大鼠 6-k-PGF1a ,形成免疫复合物连接在板上,辣根过氧化物酶标记的 Streptavidin
人凝血酶原片段 (F1+2)ELISA 试剂盒 ( 用于血清、血浆、细胞培养上清液和其它生物体液内 ) 原理 本实验采用双抗体夹心 ABC-ELISA 法。用抗人 F1+2 单抗包被于酶标板上,标准品和样品中的 F1+2与单抗结合,加入生物素化的抗人 F1+2 ,形成免疫复合物连接在板上,辣根过氧化物酶标记的 Streptavidin 与生物素结合,加入底物工作液显蓝色,最后加终止液硫酸
技术资料暂无技术资料 索取技术资料






![Influenza A virus NS1 (nonstructural protein) antibody [HL2130]](https://img1.dxycdn.com/2023/0605/247/8632041231441755661-14.jpg!wh200)




