相关产品推荐更多 >
万千商家帮你免费找货
0 人在求购买到急需产品
- 详细信息
- 文献和实验
- 技术资料
- 免疫原:
Phospho STAT5 pY694 monoclonal antibody was produced by repeated immunizations with a synthetic peptide corresponding to residues surrounding Y694 of mouse STAT5a protein.
- 亚型:
IgG1
- 形态:
Liquid
- 保存条件:
Store as concentrated solution. Centrifuge briefly prior to opening vial. For short-term storage (1-2 weeks), store at 4ºC. For long-term storage, aliquot and store at -20ºC or below. Avoid multiple freeze-thaw cycles.
- 克隆性:
Monoclonal
- 标记物:
Unconjugated
- 适应物种:
Human, Mouse, Rat
- 保质期:
12 months from the shipping date of the product.
- 抗原来源:
Mouse
- 目录编号:
GTX48647
- 级别:
Primary Antibodies
- 库存:
Available
- 供应商:
GeneTex
- 宿主:
Mouse
- 应用范围:
WB, ICC/IF, IHC-P, ELISA
- 浓度:
1 mg/ml (Please refer to the vial label for the specific concentration.)
- 靶点:
STAT5A (phospho Tyr694)
- 抗体英文名:
STAT5A (phospho Tyr694) antibody [5F6.F1]
- 抗体名:
STAT5A (phospho Tyr694) 抗体 [5F6.F1]
- 规格:
100 μg
Anti-STAT5 pY694 (MOUSE) Monoclonal Antibody detecting STAT5 in 3T3 cells (immunofluorescent STED microscopy). Red represents STAT5 pY694 protein. Green represents tubulin.
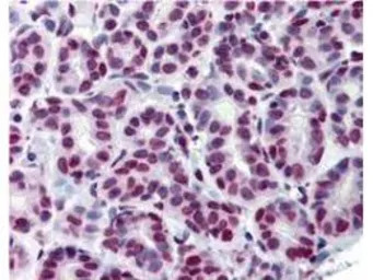
Immunohistochemistry using GeneTex Immunochemicals Anti-STAT5 pY694 monoclonal antibody shows detection of phosphorylated STAT5 pY694 in human breast tissue (40X). The antibody was used a dilution to 20 μg/mL. The image shows breast epithelium with moderate nuclear staining. Tissue was formalin fixed and paraffin embedded. No pre-treatment of sample was required. The image shows the localization of antibody as the precipitated red signal, with a hematoxylin purple nuclear counterstain.
Western blot using GeneTex's Protein A purified Mouse Monoclonal anti-Stat5 pY694 antibody shows detection of phosphorylated Stat5 (indicated by arrowhead at ~91 kDa) in NK92 cells after 30 min treatment with 1Ku of IL-2 (lane 2). No reactivity is seen for non-phosphorylated Stat5 in untreated cells (lane 1). The membrane was probed with the primary antibody at a 1:1,000 dilution, overnight at 4º C. For detection DyLight800 conjugated Goat-anti-Mouse IgG was used at a 1:20,000 dilution for 30 min at room temperature.
风险提示:丁香通仅作为第三方平台,为商家信息发布提供平台空间。用户咨询产品时请注意保护个人信息及财产安全,合理判断,谨慎选购商品,商家和用户对交易行为负责。对于医疗器械类产品,请先查证核实企业经营资质和医疗器械产品注册证情况。
文献和实验Using Phospho‐Motif Antibodies to Determine Kinase Substrates
comprising both the phosphorylated residue and the surrounding residues that determine kinase specificity, with degenerate residues taking up the remaining positions. Currently, several categories of phospho?motif antibody are commercially available
运用Cell Based Elisa检测信号通路蛋白和磷酸化蛋白
using Phospho-p38 antibody (A) and Total-p38 antibody (B). Cell Based Elisa were performed directly in the 96-well plates using Phospho-p38 and Total-p38 antibodies (C). Figure 3: JNK detection with FACECells were serum-starved for 16 hours
。所以,我们建议使用微波炉或高压锅加热煮沸以达到最佳抗原修复效果。抗体:Phospho–Stat3 (Tyr705)(D3A7) XP. Rabbit mAb #9145样本:石蜡包埋人类肺部肿瘤样本煮沸设备:浴锅 (左),微波炉 (中),高压锅 (右)免疫染色—封闭在 IHC–P 中,我们建议在室温下在含有 Tween20 的 TBST 缓冲液和 5% 正常山羊血清 (NGS) 中封闭样品,时长 1 小时,以防止非特异性背景染色。在进行 IHC–F 时,在含有 0.3% Triton. X–100 的 1X
技术资料暂无技术资料 索取技术资料









![GAD65 antibody [MSVA-602M] HistoMAX](https://custom.dxycdn.com/trademd/upload/pic/2013/11/12/A1383891150.jpg!small.t.1)

