相关产品推荐更多 >
万千商家帮你免费找货
0 人在求购买到急需产品
- 详细信息
- 文献和实验
- 技术资料
- 免疫原:
N-terminal fragment of human 14-3-3 gamma [UniProt# P61981]
- 亚型:
IgG1
- 形态:
Liquid
- 保存条件:
Store as concentrated solution. Centrifuge briefly prior to opening vial. For short-term storage (1-2 weeks), store at 4ºC. For long-term storage, aliquot and store at -20ºC or below. Avoid multiple freeze-thaw cycles.
- 克隆性:
Monoclonal
- 标记物:
Unconjugated
- 适应物种:
Human, Mouse, Rat, Zebrafish, Bovine, Chicken
- 保质期:
12 months from the shipping date of the product.
- 抗原来源:
Human
- 目录编号:
GTX48540
- 级别:
Primary Antibodies
- 库存:
Available
- 供应商:
GeneTex
- 宿主:
Mouse
- 应用范围:
WB
- 靶点:
This antibody reacts with the human form of intact, non-modified N-terminus 14-3-3 gamma. The naturally occurring form of 14-3-3 gamma in which the N-terminus Met is removed and the Val is acetylated is not recognized by this antibody.
- 抗体英文名:
14-3-3 gamma antibody [HS23]
- 抗体名:
14-3-3 gamma 抗体 [HS23]
- 规格:
50 μl
WB analysis of multiple samples using GTX48540 14-3-3 gamma antibody [HS23].
Lane 1: HeLa cell lysate
Lanes 2 and 3: bengamide treated HeLa cell lysates (8h and 24h, respectively)
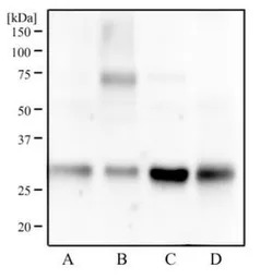
WB analysis of HeLa (A), A431 (B), NIH-3T3 (C), and PC-12 (D) cell lysate using GTX48540 14-3-3 gamma antibody [HS23].
Dilution : 1:500
风险提示:丁香通仅作为第三方平台,为商家信息发布提供平台空间。用户咨询产品时请注意保护个人信息及财产安全,合理判断,谨慎选购商品,商家和用户对交易行为负责。对于医疗器械类产品,请先查证核实企业经营资质和医疗器械产品注册证情况。
文献和实验of the tryptic peptides derived from the purified enzyme revealed two amino acid sequences homologous to the 14-3-3 proteins. A polyclonal antibody was raised against purified ST-IV. A 33 kDa protein was co-immunoprecipitated from rat brain extracts with the anti
Introduction of human 14-3-3 proteins
of the tryptic peptides derived from the purified enzyme revealed two amino acid sequences homologous to the 14-3-3 proteins.A polyclonal antibody was raised against purified ST-IV.A 33 kDa protein was co-immunoprecipitated from rat brain extracts with the anti
14 Immunotargeting of Catalase to the Pulmonary Vascular Endothelium
. In order to provide catalase with such an affinity, catalase could be chemically conjugated with a carrier antibodies recognizing the surface endothelial antigens (8 ). A monoclonal antibody (MAb) against such an antigen, angiotensin-converting enzyme
技术资料暂无技术资料 索取技术资料









![Estrogen Receptor alpha antibody [6B6]](https://img1.dxycdn.com/2022/0328/259/0182130814127500453-14.jpg!wh200)

