相关产品推荐更多 >
万千商家帮你免费找货
0 人在求购买到急需产品
- 详细信息
- 文献和实验
- 技术资料
- 免疫原:
A synthetic peptide corresponding to a N-terminal region of Human CYP4A22
- 亚型:
IgG
- 形态:
Liquid
- 保存条件:
Store as concentrated solution. Centrifuge briefly prior to opening vial. For short-term storage (1-2 weeks), store at 4ºC. For long-term storage, aliquot and store at -20ºC or below. Avoid multiple freeze-thaw cycles.
- 克隆性:
Polyclonal
- 标记物:
Unconjugated
- 适应物种:
Human
- 保质期:
12 months from the shipping date of the product.
- 抗原来源:
Human
- 目录编号:
GTX47105
- 级别:
Primary Antibodies
- 库存:
Available
- 供应商:
GeneTex
- 宿主:
Rabbit
- 应用范围:
WB, IHC-P
- 浓度:
0.5-1 mg/ml (Please refer to the vial label for the specific concentration.)
- 靶点:
CYP4A22
- 抗体英文名:
CYP4A22 antibody, N-term
- 抗体名:
CYP4A22 抗体, N-term
- 规格:
50 μg
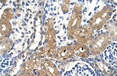
IHC-P analysis of human kidney tissue using GTX47105 CYP4A22 antibody at 4.0-8.0μg/ml.
WB analysis of Jurkat cells using GTX47105 CYP4A22 antibody at 0.2-1μg/ml.
Lane A : marker
Lane B : Jurkat cells
风险提示:丁香通仅作为第三方平台,为商家信息发布提供平台空间。用户咨询产品时请注意保护个人信息及财产安全,合理判断,谨慎选购商品,商家和用户对交易行为负责。对于医疗器械类产品,请先查证核实企业经营资质和医疗器械产品注册证情况。
文献和实验In the field of therapeutic recombinant proteins, monoclonal antibodies (mAbs) have achieved a rising success with more than 30 mAbs that have reached the market in the past 20 years. From a structural standpoint, one of the most important
人 CYP1A2酶联免疫 分析 试剂 盒使用说明书 本试剂仅供研究使用 目的:本试剂盒用于测定人血清,血浆及相关液体样本中 CYP1A2 的含量。 实验原理 : 本试剂盒应用双抗体夹心法测定 标本 中 人 CYP1A2 水平。用纯化的 人 CYP1A2 抗体包被微孔板,制成固相抗体,往包被单抗的微孔中依次加入 CYP1A2 ,再与HRP 标记的 CYP1A2 抗体结合,形成抗体- 抗原 - 酶标抗体复合物 ,经过彻底
to protect the antibody. These should be stored in smaller aliquots (about 1 ml) and frozen for long term storage though the protected solution is also stable for months at four degrees. Ascites fluid: This is a bit more problematic as it may contain
技术资料暂无技术资料 索取技术资料










