相关产品推荐更多 >
万千商家帮你免费找货
0 人在求购买到急需产品
- 详细信息
- 技术资料
- 免疫原:
A synthesized peptide derived from human Tie2 around the phosphorylation site of Tyr992.
- 亚型:
IgG
- 形态:
Liquid
- 保存条件:
Store as concentrated solution. Centrifuge briefly prior to opening vial. For short-term storage (1-2 weeks), store at 4ºC. For long-term storage, aliquot and store at -20ºC or below. Avoid multiple freeze-thaw cycles.
- 克隆性:
Polyclonal
- 标记物:
Unconjugated
- 适应物种:
Human
- 保质期:
12 months from the shipping date of the product.
- 抗原来源:
Human
- 目录编号:
GTX00794
- 级别:
Primary Antibodies
- 库存:
Available
- 供应商:
GeneTex
- 宿主:
Rabbit
- 应用范围:
WB, IHC-P, ELISA
- 浓度:
1 mg/ml (Please refer to the vial label for the specific concentration.)
- 靶点:
TIE2 (phospho Tyr992)
- 抗体英文名:
TIE2 (phospho Tyr992) antibody
- 抗体名:
TIE2 (phospho Tyr992) 抗体
- 规格:
100 μl
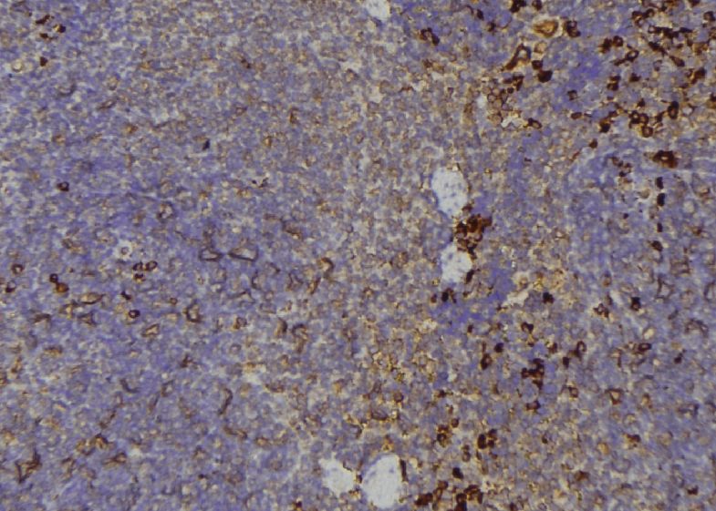
IHC-P analysis of human lymph node tissue using GTX00794 TIE2 (phospho Tyr992) antibody.
Antigen retrieval : Heat mediated antigen retrieval step in citrate buffer
Dilution : 1:100
ELISA analysis of phospho- and non phosho- immunogen peptide using TIE2 (phospho Tyr992) antibody.
P-peptide : phospho-peptide
N-peptide : non-phospho-peptide
Peptides concentration : 1μg/ml
WB analysis of 293 cells transfected with wild-type Tie2 using GTX00794 TIE2 (phospho Tyr992) antibody pre-incubated with phospho- or non-phospho- peptide.
P-peptide : phospho-peptide
N-peptide : non-phospho-peptide
风险提示:丁香通仅作为第三方平台,为商家信息发布提供平台空间。用户咨询产品时请注意保护个人信息及财产安全,合理判断,谨慎选购商品,商家和用户对交易行为负责。对于医疗器械类产品,请先查证核实企业经营资质和医疗器械产品注册证情况。
技术资料暂无技术资料 索取技术资料






![CPS1 antibody [SPM615]](https://img1.dxycdn.com/2022/0328/321/1604577298530700453-14.jpg!wh200)



