相关产品推荐更多 >
万千商家帮你免费找货
0 人在求购买到急需产品
- 详细信息
- 文献和实验
- 技术资料
- 免疫原:
Human Factor VIII complex partially purified from Factor VIII concentrate.
- 亚型:
IgG1
- 形态:
Liquid
- 保存条件:
Store as concentrated solution. Centrifuge briefly prior to opening vial. For short-term storage (1-2 weeks), store at 4ºC. For long-term storage, aliquot and store at -20ºC or below. Avoid multiple freeze-thaw cycles.
- 克隆性:
Monoclonal
- 标记物:
Unconjugated
- 适应物种:
Human
- 保质期:
12 months from the shipping date of the product.
- 抗原来源:
Human
- 目录编号:
GTX38800
- 级别:
Primary Antibodies
- 库存:
Available
- 供应商:
GeneTex
- 宿主:
Mouse
- 应用范围:
IHC-P, ELISA, Purification, RIA
- 浓度:
1.0 mg/ml (Please refer to the vial label for the specific concentration.)
- 靶点:
VWF
- 抗体英文名:
VWF antibody [RFF-VIII R/1]
- 抗体名:
VWF 抗体 [RFF-VIII R/1]
- 规格:
500 μg
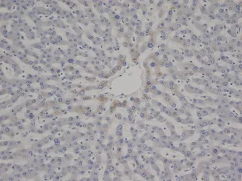
IHC-P analysis of human liver tissue using GTX38800 VWF antibody [RFF-VIII R/1].
风险提示:丁香通仅作为第三方平台,为商家信息发布提供平台空间。用户咨询产品时请注意保护个人信息及财产安全,合理判断,谨慎选购商品,商家和用户对交易行为负责。对于医疗器械类产品,请先查证核实企业经营资质和医疗器械产品注册证情况。
文献和实验Laser-Capture Microdissection for Factor VIII-Expressing Endothelial Cells in Cancer Tissues
samples. We have recently performed the immune-LCM of formaldehyde-fixated, paraffin-embedded tissues immunostained with a monoclonal antibody Factor VIII. This method could be useful for quantitative gene expression analysis in blood vessels from tumors
人凝血因子VIII (FVIII)ELISA 试剂盒 ( 用于血清、血浆、细胞培养上清液和其它生物体液内 ) 原理 本实验采用双抗体夹心 ABC-ELISA 法。用抗人 FVIII 单抗包被于酶标板上,标准品和样品中的 FVIII与单抗结合,加入生物素化的抗人 FVIII ,形成免疫复合物连接在板上,辣根过氧化物酶标记的 Streptavidin 与生物素结合,加入底物工作液显蓝色,最后加终止
Protocol for anti-HA antibody Western Blotting
of interest. 2) Transfer proteins in acrylamide gel to nylon membrane. 3) Block overnight @4℃ in PBS (or TBS, it doesn't matter) with 5% non-fat dry milk. I dilute 2.5 mg in 50 ml. 4) Wash off excess milk sol'n with PBS x3 .(important if you are re-using your antibody
技术资料暂无技术资料 索取技术资料






![Integrin beta 1 / CD29 antibody [MEM-101A] (PE)](https://img1.dxycdn.com/2022/0328/286/4262590928316500453-14.jpg!wh200)




