相关产品推荐更多 >
万千商家帮你免费找货
0 人在求购买到急需产品
- 详细信息
- 文献和实验
- 技术资料
- 免疫原:
A peptide corresponding to the C-terminus of Human c-erbB-2/HER-2
- 亚型:
IgG
- 形态:
Liquid
- 保存条件:
Store as concentrated solution. Centrifuge briefly prior to opening vial. For short-term storage (1-2 weeks), store at 4ºC. For long-term storage, aliquot and store at -20ºC or below. Avoid multiple freeze-thaw cycles.
- 克隆性:
Monoclonal
- 标记物:
Unconjugated
- 适应物种:
Human
- 保质期:
12 months from the shipping date of the product.
- 抗原来源:
Human
- 目录编号:
GTX33616
- 级别:
Primary Antibodies
- 库存:
Available
- 供应商:
GeneTex
- 宿主:
Rabbit
- 应用范围:
WB, IHC-P
- 浓度:
Batch dependent (Please refer to the vial label for the specific concentration.)
- 靶点:
Her2 / ErbB2
- 抗体英文名:
Her2 / ErbB2 antibody [RM228]
- 抗体名:
Her2 / ErbB2 抗体 [RM228]
- 规格:
100 μl
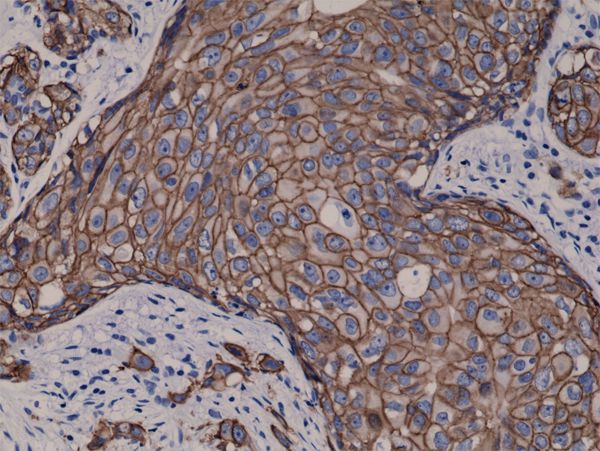
IHC-P analysis of human breast cancer tissue using GTX33616 Her2 / ErbB2 antibody [RM228].
WB analysis of MCF-7, PC3, Jurkat, and A375 cell lysates using GTX33616 Her2 / ErbB2 antibody [RM228].
风险提示:丁香通仅作为第三方平台,为商家信息发布提供平台空间。用户咨询产品时请注意保护个人信息及财产安全,合理判断,谨慎选购商品,商家和用户对交易行为负责。对于医疗器械类产品,请先查证核实企业经营资质和医疗器械产品注册证情况。
文献和实验祝贺〖雅裕睿安〗成为Signalway Antibody(SAB)独家
antibody unconjugated; 货号21337,产品描述:GAPDH Antibody;规格 50 ul / 100 ul; 货号3052,产品描述:Rabbit anti-Human IgG secondary antibody HRP conjugated; 货号300904050,产品描述:One-Hour Western kit,10 ml / bottle x 3;
The production of monoclonal antibody by hybridoma
, A., Popkov, M., Cortez, X., Fuller, R., Elia, M., Kerwin, L., and C.F. Barbas III. (2003) Rapid monoclonal antibody generation via dendritic cell targeting in vivo. Hybridoma and Hybridomics 22 (1), 23-31.
物-人表皮生长因子受体-2(HER2,也称 Neu 或 ERBB2)为例,临床上 Her2 的检测多采用免疫组织化学法检测其表达水平,也是决定要不要使用标靶治疗的依据之一。GTX100509 HER2/ERBB2 抗体使用 2 个不同来源的抗体进行比较(如下),确认有一致性的染色图谱,而 GTX100509 灵敏度甚至比其他厂家来的更高。3. 免疫捕获及质谱分析官兵抓强盗,敌友谁知道,预知此名号,捉拿验证号。将免疫捕获的目标蛋白进行质谱分析,可确认捕获的蛋白身份是否为目标蛋白,以此确认抗体是否辨识到对的蛋白
技术资料暂无技术资料 索取技术资料





![LYVE1 antibody [GT1359]](https://custom.dxycdn.com/trademd/upload/pic/2013/11/12/A1383891150.jpg!small.t.1)





