相关产品推荐更多 >
万千商家帮你免费找货
0 人在求购买到急需产品
- 详细信息
- 文献和实验
- 技术资料
- 免疫原:
Recombinant fusion protein containing a sequence corresponding to amino acids 1-127 of human FABP1 (NP_001434.1).
- 亚型:
IgG
- 形态:
Liquid
- 保存条件:
Store as concentrated solution. Centrifuge briefly prior to opening vial. For short-term storage (1-2 weeks), store at 4ºC. For long-term storage, aliquot and store at -20ºC or below. Avoid multiple freeze-thaw cycles.
- 克隆性:
Polyclonal
- 标记物:
Unconjugated
- 适应物种:
Human, Mouse, Rat
- 保质期:
12 months from the shipping date of the product.
- 抗原来源:
Human
- 目录编号:
GTX32704
- 级别:
Primary Antibodies
- 库存:
Available
- 供应商:
GeneTex
- 宿主:
Rabbit
- 应用范围:
WB, ICC/IF, IHC-P
- 浓度:
Batch dependent (Please refer to the vial label for the specific concentration.)
- 靶点:
L-FABP
- 抗体英文名:
L-FABP antibody
- 抗体名:
L-FABP 抗体
- 规格:
100 μl
ICC/IF analysis of L929 cells using GTX32704 L-FABP antibody.
Blue : DAPI
Dilution : 1:100
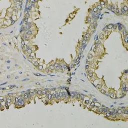
IHC-P analysis of human prostate tissue using GTX32704 L-FABP antibody.
Dilution : 1:100
WB analysis of mouse liver tissue lysate using GTX32704 L-FABP antibody.
Dilution : 1:1000
Loading : 25μg per lane
WB analysis of rat liver tissue lysate using GTX32704 L-FABP antibody.
Dilution : 1:1000
Loading : 25μg per lane
风险提示:丁香通仅作为第三方平台,为商家信息发布提供平台空间。用户咨询产品时请注意保护个人信息及财产安全,合理判断,谨慎选购商品,商家和用户对交易行为负责。对于医疗器械类产品,请先查证核实企业经营资质和医疗器械产品注册证情况。
文献和实验左旋茶氨酸 L-theanine 即谷酰基乙胺。是从茶叶中发现的( Y. Saka-to, 1950)。与谷氨酸同样机制合成。
L-DOPA (L-3,4-Dihydroxyphenylalanine)
The nonprotein amino acid, 3,4-dihydroxyphenylalanine (L -DOPA) (Fig. 1) is present in high concentrations (about 3–6%) in Mucuna spp. The in vitro addition of L -DOPA to the red blood cells from individuals deficient in glucose 6-phosphate
人肝脏型脂肪酸结合蛋白(L-FABP)ELISA试剂盒 说明书
上海西唐生物科技有限公司 021-55229872, 65333639 www.westang.com 人肝脏型脂肪酸结合蛋白 (L-FABP)ELISA 试剂盒 ( 用于血清、血浆、细胞培养上清液和其它生物体液内 ) 原理 本实验采用双抗体夹心 ABC-ELISA 法。用抗人 L-FABP 单抗包被于酶标板上,标准品和样品中的 L-FABP与单抗结合,加入生物
技术资料暂无技术资料 索取技术资料







![C-Peptide antibody [GT1455]](https://img1.dxycdn.com/2022/0329/769/4910909772906020453-14.jpg!wh200)



