相关产品推荐更多 >
万千商家帮你免费找货
0 人在求购买到急需产品
- 详细信息
- 文献和实验
- 技术资料
- 免疫原:
Recombinant fusion protein containing a sequence corresponding to amino acids 1-180 of human HNRNPA0 (NP_006796.1).
- 亚型:
IgG
- 形态:
Liquid
- 保存条件:
Store as concentrated solution. Centrifuge briefly prior to opening vial. For short-term storage (1-2 weeks), store at 4ºC. For long-term storage, aliquot and store at -20ºC or below. Avoid multiple freeze-thaw cycles.
- 克隆性:
Polyclonal
- 标记物:
Unconjugated
- 适应物种:
Human, Mouse, Rat
- 保质期:
12 months from the shipping date of the product.
- 抗原来源:
Human
- 目录编号:
GTX32659
- 级别:
Primary Antibodies
- 库存:
Available
- 供应商:
GeneTex
- 宿主:
Rabbit
- 应用范围:
WB, ICC/IF, IHC-P, IP
- 浓度:
Batch dependent (Please refer to the vial label for the specific concentration.)
- 靶点:
hnRNP A0
- 抗体英文名:
hnRNP A0 antibody
- 抗体名:
hnRNP A0 抗体
- 规格:
100 μl
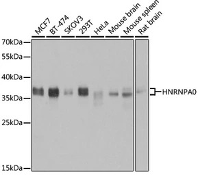
WB analysis of various sample lysates using GTX32659 hnRNP A0 antibody.
Dilution : 1:3000
Loading : 25μg per lane
ICC/IF analysis of L929 cells using GTX32659 hnRNP A0 antibody.
Blue : DAPI
Dilution : 1:100
IP analysis of 293T cell lysate using GTX32659 hnRNP A0 antibody.
Antibody amount : 3μg / 200μg lysate
Dilution : 1:1000
IHC-P analysis of human esophagus tissue using GTX32659 hnRNP A0 antibody.
Dilution : 1:100
风险提示:丁香通仅作为第三方平台,为商家信息发布提供平台空间。用户咨询产品时请注意保护个人信息及财产安全,合理判断,谨慎选购商品,商家和用户对交易行为负责。对于医疗器械类产品,请先查证核实企业经营资质和医疗器械产品注册证情况。
文献和实验NaCl0.1% azide 0.1 g Na azideup to 100 ml with Q(8) 1X Coupling Buffer0.2 M NaHCO3 1.68 g NaHCO30.5 M NaCl 2.92 g NaClpH to 8.0 and bring up to 100 ml(9) 1X Buffer A0.5 M NaCl 2.92 g NaCl0.01 M Tris 0.121 g Tris basepH to 8.3 and bring up to 100 mlAdd
Theoretical Aspects of the Quantitative Characterization of Ligand Binding
equilibria involved. A common set of physicochemical principles applies to all such phenomena, irrespective of whether the interaction of interest involves an enzyme and its substrate or inhibitor, a hormone or growth factor and its receptor, an antibody
Using Bioinformatics Tools for the Sequence Analysis of Immunoglobulins and T Cell Receptors
Figure a0.1W.1 IMGT Collier de Perles. Amino acid numbering is according to the IMGT unique numbering for V‐DOMAIN (Lefranc et al., ). IMGT Collier de Perles of the VH domain of herceptin (1n8z_B, IMGT/3Dstructure‐DB, http://imgt.cines.fr; Kaas et
技术资料暂无技术资料 索取技术资料







![Dysferlin antibody [Ham1/7B6]](https://img1.dxycdn.com/2022/0328/405/9584605773197700453-14.jpg!wh200)



