相关产品推荐更多 >
万千商家帮你免费找货
0 人在求购买到急需产品
- 详细信息
- 文献和实验
- 技术资料
- 免疫原:
Recombinant fragment of human Cathepsin S.
- 亚型:
IgG
- 形态:
Liquid
- 保存条件:
Store as concentrated solution. Centrifuge briefly prior to opening vial. For short-term storage (1-2 weeks), store at 4ºC. For long-term storage, aliquot and store at -20ºC or below. Avoid multiple freeze-thaw cycles.
- 克隆性:
Monoclonal
- 标记物:
Unconjugated
- 保质期:
12 months from the shipping date of the product.
- 抗原来源:
Human
- 目录编号:
GTX638780
- 级别:
Primary Antibodies
- 库存:
Available
- 供应商:
GeneTex
- 宿主:
Rabbit
- 应用范围:
WB, IHC-P
- 浓度:
1 mg/ml (Please refer to the vial label for the specific concentration.)
- 抗体英文名:
Cathepsin S antibody [HL2462]
- 抗体名:
Cathepsin S 抗体 [HL2462]
- 规格:
100 μl/25 μl
| 规格: | 100 μl | 产品价格: | ¥4000.0 |
|---|---|---|---|
| 规格: | 25 μl | 产品价格: | ¥1700.0 |
Whole cell extract (30 μg) was separated by 15% SDS-PAGE, and the membrane was blotted with Cathepsin S antibody [HL2462] (GTX638780) diluted at 1:1000. The HRP-conjugated anti-rabbit IgG antibody (GTX213110-01) was used to detect the primary antibody.
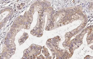
Cathepsin S antibody [HL2462] detects secreted Cathepsin S protein by immunohistochemical analysis.
Sample: Paraffin-embedded human pancreatic cancer.
Cathepsin S stained by Cathepsin S antibody [HL2462] (GTX638780) diluted at 1:100.
Antigen Retrieval: Citrate buffer, pH 6.0, 15 min
Untreated (–) and treated (+) A549 whole cell extracts (30 μg) were separated by 15% SDS-PAGE, and the membrane was blotted with Cathepsin S antibody [HL2462] (GTX638780) diluted at 1:1000. The HRP-conjugated anti-rabbit IgG antibody (GTX213110-01) was used to detect the primary antibody.
Various whole cell extracts (30 μg) were separated by 12% SDS-PAGE, and the membrane was blotted with Cathepsin S antibody [HL2462] (GTX638780) diluted at 1:1000. The HRP-conjugated anti-rabbit IgG antibody (GTX213110-01) was used to detect the primary antibody. Corresponding RNA expression data for the same cell lines are based on Human Protein Atlas program.
Cathepsin S antibody [HL2462] detects Cathepsin S protein at cytoplasm by immunohistochemical analysis.
Sample: Paraffin-embedded human tissue.
Cathepsin S stained by Cathepsin S antibody [HL2462] (GTX638780) diluted at 1:100.
Antigen Retrieval: Citrate buffer, pH 6.0, 15 min
风险提示:丁香通仅作为第三方平台,为商家信息发布提供平台空间。用户咨询产品时请注意保护个人信息及财产安全,合理判断,谨慎选购商品,商家和用户对交易行为负责。对于医疗器械类产品,请先查证核实企业经营资质和医疗器械产品注册证情况。
文献和实验人组织蛋白酶S(Cathepsin S)ELISA试剂盒 说明书
上海西唐生物科技有限公司 021-55229872, 65333639 www.westang.com 人组织蛋白酶S ( Cathepsin S )ELISA 试剂盒 ( 用于血清、血浆、细胞培养上清液和尿液、唾液生物体液内 ) 原理 本实验采用双抗体夹心 ABC-ELISA 法。用抗人 Cathepsin S 单抗包被于酶标板上,标准品和样品中的 Cathepsin S
Chimerization of a Monoclonal Antibody for Treating Hodgkin's Lymphoma
follicles and at the rim of germinal centers (2 ). Consequently, Ber-H2 has been utilized as an immunotoxin by conjugating the antibody to the ribosome-inactivating toxin Saporin to treat four patients with refractory Hodgkin’s lymphoma
skybjp123 各位大哥大嫂,小弟最近在找寻 cathepsin K B L S 的相关转录因子,不知道有哪些呀?哪位牛人可否赐教,谢谢啦~~还有就是sp1是什么?兔子的sp1的基因序列怎么查不到啊?也请赐教~~谢谢~~ skybjp123 另外还有就是:转录因子是怎么测定含量的?用荧光定量PCR技术可以吗?可信吗? happytears 1、转录因子可以先用相关软件预测,如TFbind
技术资料暂无技术资料 索取技术资料






![KDM3B antibody [C2C3], C-term](https://img1.dxycdn.com/2022/0328/314/1094222721661300453-14.jpg!wh200)
![Integrin beta 4 antibody [10B10D5]](https://img1.dxycdn.com/2022/0328/024/1102207449533500453-14.jpg!wh200)

![CD40 antibody [MAB0805]](https://img1.dxycdn.com/2022/0328/511/7674675199299400453-14.jpg!wh200)

