相关产品推荐更多 >
万千商家帮你免费找货
0 人在求购买到急需产品
- 详细信息
- 文献和实验
- 技术资料
- 免疫原:
Purified cell nuclei from mouse brain
- 亚型:
IgG1
- 形态:
Liquid
- 保存条件:
Store as concentrated solution. Centrifuge briefly prior to opening vial. For short-term storage (1-2 weeks), store at 4ºC. For long-term storage, aliquot and store at -20ºC or below. Avoid multiple freeze-thaw cycles.
- 克隆性:
Monoclonal
- 标记物:
Unconjugated
- 适应物种:
Human, Mouse, Rat, Rabbit, Dog, Crocodile
- 保质期:
12 months from the shipping date of the product.
- 抗原来源:
Mouse
- 目录编号:
GTX30773
- 级别:
Primary Antibodies
- 库存:
Available
- 供应商:
GeneTex
- 宿主:
Mouse
- 应用范围:
WB, ICC/IF, IHC-P, IHC-Fr
- 浓度:
Batch dependent (Please refer to the vial label for the specific concentration.)
- 靶点:
NeuN
- 抗体英文名:
NeuN antibody [2Q158]
- 抗体名:
NeuN 抗体 [2Q158]
- 规格:
250 μg
IHC-P analysis of mouse brain tissue (dentate gyrus and subventricular zone) using GTX30773 NeuN antibody [2Q158].
Red : Primary antibody
Green : BrdU
Antigen retireval : Citrate Buffer, pH 6.0
IHC-P analysis of mouse brain tissue (dentate gyrus and subventricular zone) using GTX30773 NeuN antibody [2Q158].
Red : Primary antibody
Green : BrdU
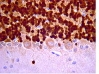
IHC-P analysis of rat cerebellum tissue using GTX30773 NeuN antibody [2Q158].Immunoreactivity is seen as nuclear staining in the neurons in the granular layer.
Antigen retireval : Citrate Buffer, pH 6.0
Dilution : 1:100
风险提示:丁香通仅作为第三方平台,为商家信息发布提供平台空间。用户咨询产品时请注意保护个人信息及财产安全,合理判断,谨慎选购商品,商家和用户对交易行为负责。对于医疗器械类产品,请先查证核实企业经营资质和医疗器械产品注册证情况。
文献和实验Zhang LN et al., Mol Med Rep 2019 (PMID:30592287)
Hong Li et al., bioRxiv 2019 (Epub)
Sun L et al., J Neurosci 2019 (PMID:31182635)
Li J et al., Conf Proc IEEE Eng Med Biol Soc 2018 (PMID:30441142)
Jeong JH et al., Exp Ther Med 2016 (PMID:27882110)
Dibue-Adjei M et al., Cell Physiol Biochem 2017 (PMID:29176325)
Liu X et al., Rejuvenation Res 2017 (PMID:29125039)
Zera K et al., PLoS One 2017 (PMID:29045486)
Qiu HQ et al., Mol Pain 2015 (PMID:26255228)
Gao YH et al., Purinergic Signal 2016 (PMID:28028627)
Liang L et al., Sci Rep 2016 (PMID:27874088)
Telias M et al., J Neurosci 2015 (PMID:26586818)
JEONG JH et al., Exp Ther Med 2016 12()
Jiang J et al., Neuron 2016 (PMID:27112497)
Telias M et al., F1000Res 2014 (PMID:25309736)
Tang W et al., Int J Clin Exp Med 2015 (PMID:26131182)
Yla-Outinen L et al., J Tissue Eng Regen Med 2014 (PMID:22611014)
Di-Poi N et al., Evodevo 2013 (PMID:23819918)
Liang L et al., J Pain 2013 (PMID:23642408)
Huang TL et al., Chin Neurosurg J 2022 (PMID:36476392)
Schaefers C et al., Stem Cells Int 2022 (PMID:36530489)
Wu C et al., J Biol Chem 2022 (PMID:36055408)
Huizhi Fei et al., Front Cell Dev Biol 2021 (PMID:34422821)
Jingbo Wei et al., Appl Bionics Biomech 2022 (PMID:35528532)
Xiang P et al., Cell Death Discov 2022 (PMID:35228515)
Zhang K et al., Neural Regen Res 2022 (PMID:35017443)
Chang CY et al., Int J Mol Sci 2020 (PMID:32098078)
Li H et al., Int J Biol Sci 2020 (PMID:32174788)
Zhao M et al., Cell Mol Neurobiol 2020 (PMID:32889668)
Lin CT et al., Elife 2020 (PMID:32589144)
Hsu WH et al., Aging (Albany NY) 2020 (PMID:32501291)
Tang W et al., J Neurosci Res 2020 (PMID:32495348)
He L et al., Brain Behav Immun 2020 (PMID:32205121)
祝贺〖雅裕睿安〗成为Signalway Antibody(SAB)独家
祝贺〖上海雅裕 〗成为 Signalway Antibody 品牌 (SAB) 的独家总代理。 促销【 ABCD 】细则如下: 【 A 】 买两支 SAB 抗体免费获得 8G 优盘 活动时间:即日起,至 2011 年
Single Primer ("Semi-Random") P
cresol red 2. T/TS 10.5 µL EDB 1 µL Taq Polymerase (Promega) @ 5 u/µL 1 µL TaqStart antibody (CloneTech) as delivered 3. EDB 2.5 mg/ml bovine serum albumin in 10 mM Tris, pH 8.3 References 1. S.R.J.A.M. Hermann
TSA Treatment of Mammalian Cells
) towards the nuclear periphery. HP1 domain disruption upon TSA treatment is monitored by immunofluorescence using an antibody against HP1alpha (2HP1H5) from EUROMEDEX. Reversibility of the drug effect was obtained within 20 hours after TSA removal. (Figure
技术资料暂无技术资料 索取技术资料











