相关产品推荐更多 >
万千商家帮你免费找货
0 人在求购买到急需产品
- 详细信息
- 文献和实验
- 技术资料
- 免疫原:
Recombinant protein encompassing a sequence within the center region of human ATG16L1. The exact sequence is proprietary.
- 亚型:
IgG
- 形态:
Liquid
- 保存条件:
Store as concentrated solution. Centrifuge briefly prior to opening vial. For short-term storage (1-2 weeks), store at 4ºC. For long-term storage, aliquot and store at -20ºC or below. Avoid multiple freeze-thaw cycles.
- 克隆性:
Polyclonal
- 标记物:
Unconjugated
- 适应物种:
Human, Mouse, Rat
- 保质期:
12 months from the shipping date of the product.
- 抗原来源:
Human
- 目录编号:
GTX129098
- 级别:
Primary Antibodies
- 库存:
Available
- 供应商:
GeneTex
- 宿主:
Rabbit
- 应用范围:
ICC/IF, IHC-P
- 浓度:
1 mg/ml (Please refer to the vial label for the specific concentration.)
- 靶点:
ATG16L1
- 抗体英文名:
ATG16L1 antibody
- 抗体名:
ATG16L1 抗体
- 规格:
100 μl/25 μl
| 规格: | 100 μl | 产品价格: | ¥4000.0 |
|---|---|---|---|
| 规格: | 25 μl | 产品价格: | ¥1700.0 |
ATG16L1 antibody detects ATG16L1 protein at cytosol on human colon carcinoma by immunohistochemical analysis.
Sample: Paraffin-embedded human colon carcinoma.
ATG16L1 antibody (GTX129098) dilution: 1:500.
Antigen Retrieval: Trilogy™ (EDTA based, pH 8.0) buffer, 15min
ATG16L1 antibody detects ATG16L1 protein at autophagosome by immunofluorescent analysis.
Sample: HeLa cells were fixed in ice-cold MeOH for 5 min.
Green: ATG16L1 protein stained by ATG16L1 antibody (GTX129098) diluted at 1:200.
Blue: Hoechst 33342 staining.
ATG16L1 antibody detects ATG16L1 protein at cytosol on mouse liver by immunohistochemical analysis.
Sample: Paraffin-embedded mouse liver.
ATG16L1 antibody (GTX129098) dilution: 1:500.
Antigen Retrieval: Trilogy™ (EDTA based, pH 8.0) buffer, 15min
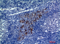
ATG16L1 antibody detects ATG16L1 protein at cytosol on human ovarian carcinoma by immunohistochemical analysis.
Sample: Paraffin-embedded human ovarian carcinoma.
ATG16L1 antibody (GTX129098) dilution: 1:500.
Antigen Retrieval: Trilogy™ (EDTA based, pH 8.0) buffer, 15min
风险提示:丁香通仅作为第三方平台,为商家信息发布提供平台空间。用户咨询产品时请注意保护个人信息及财产安全,合理判断,谨慎选购商品,商家和用户对交易行为负责。对于医疗器械类产品,请先查证核实企业经营资质和医疗器械产品注册证情况。
文献和实验Kuo SM et al., MBio 2017 (PMID:28611246)
Neto da Silva K et al., J Toxicol Environ Health A 2020 (PMID:32085696)
技术资料暂无技术资料 索取技术资料





![Dengue virus Capsid protein antibody [GT2287]](https://img1.dxycdn.com/2022/0329/736/4964514472047020453-14.jpg!wh200)

![Glucocorticoid Receptor antibody [HL1149]](https://img1.dxycdn.com/2022/0329/327/6421617857898020453-14.jpg!wh200)


