相关产品推荐更多 >
万千商家帮你免费找货
0 人在求购买到急需产品
- 详细信息
- 文献和实验
- 技术资料
- 免疫原:
A peptide from the extracellular domain (residues 230-380) of Scavenger Receptor-BI/BII that was expressed as two tandem copies in bacteria using the pET system.
- 亚型:
IgG
- 形态:
Liquid
- 保存条件:
Store as concentrated solution. Centrifuge briefly prior to opening vial. For short-term storage (1-2 weeks), store at 4ºC. For long-term storage, aliquot and store at -20ºC or below. Avoid multiple freeze-thaw cycles.
- 克隆性:
Polyclonal
- 标记物:
Unconjugated
- 适应物种:
Human, Mouse, Rat
- 保质期:
12 months from the shipping date of the product.
- 目录编号:
GTX30630
- 级别:
Primary Antibodies
- 库存:
Available
- 供应商:
GeneTex
- 宿主:
Rabbit
- 应用范围:
WB, ICC/IF, IHC-P, FACS, IP, IHC
- 靶点:
SR-BI + SR-BII
- 抗体英文名:
SR-BI + SR-BII antibody
- 抗体名:
SR-BI + SR-BII 抗体
- 规格:
100 μl
FACS analysis of NIH-3T3 cells using GTX30630 SR-BI + SR-BII antibody. M1 is defined by unstained cells.
Purple : primary antibody
Dilution : 1:400
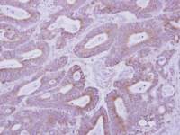
IHC-P analysis of human liver tissue using GTX30630 SR-BI + SR-BII antibody.
Dilution : 5 μg/ml
WB analysis of mouse liver tissue lysate using GTX30630 SR-BI + SR-BII antibody.
Lane 1: wild-type mice
Lane 2: SR-BI deficient mice
Loading : 80μg
ICC/IF analysis of HeLa cells using GTX30630 SR-BI + SR-BII antibody.
Green : primary antibody
Red : Tubulin
Blue : DAPI
风险提示:丁香通仅作为第三方平台,为商家信息发布提供平台空间。用户咨询产品时请注意保护个人信息及财产安全,合理判断,谨慎选购商品,商家和用户对交易行为负责。对于医疗器械类产品,请先查证核实企业经营资质和医疗器械产品注册证情况。
文献和实验Purification of SR Protein Splicing Factors
In recent years, the SR protein family of precursor messenger RNA splicing factors has emerged as a key player in the assembly of the spliceosomal machinery onto pre-mRNA. The SR proteins are essential splicing factors and different family
清道夫受体 (scavenger receptor , SR) 是固有免疫中一类重要的模式识别受体,分为多种类型,主要为SRA和SRB,可能还包括SRC等,其中各自又由不同的分子组成。 注:M。:单核细胞;P1t:血小板;LTA:淋巴毒素。;LDL:低密度脂蛋白。MARCO:带胶原结构的巨噬细胞受体;LOX-1:凝集素样氧化低密度脂蛋白受体;SREC:内 皮细胞表达的清道夫受体。 SPA为三聚体缠绕的糖蛋白跨膜分子,各带有5个不同的结构域。其中胶原样结构
1、目的:为使仪器正常运转,保证结果的可靠性,特制定此操作规程。2、适用范围:化验室3、责任者:化验员应严格遵照该操作规程,QC主管负责监督本规程的实施。4、定义:无5、安全注意事项:无6、操作规程6.1.准备6.1.1.控制水槽水位,使之高于溶出杯中介质的高度。6.1.2.开启溶出仪,自动取样器及打印机电源。6.1.3.排除对试验有影响振动干扰。6.1.4.调节高度:将桨或蓝的底部轻轻置于杯的底部,抬起显示面板,垫上标准垫块P或B(P为转桨法,B为转蓝法),放下显示面板,测桨或蓝的底部距杯底
技术资料暂无技术资料 索取技术资料






![CD8 alpha antibody [C8/468]](https://img1.dxycdn.com/2022/0328/140/3491009175910700453-14.jpg!wh200)
![F4/80 antibody [A10] (PE)](https://img1.dxycdn.com/2022/0328/629/8839579730350400453-14.jpg!wh200)


