相关产品推荐更多 >
万千商家帮你免费找货
0 人在求购买到急需产品
- 详细信息
- 技术资料
- 免疫原:
Human epidermal keratins
- 亚型:
IgG1
- 形态:
Liquid
- 保存条件:
Store as concentrated solution. Centrifuge briefly prior to opening vial. For short-term storage (1-2 weeks), store at 4ºC. For long-term storage, aliquot and store at -20ºC or below. Avoid multiple freeze-thaw cycles.
- 克隆性:
Monoclonal
- 标记物:
Unconjugated
- 适应物种:
Human
- 保质期:
12 months from the shipping date of the product.
- 抗原来源:
Human
- 目录编号:
GTX16111
- 级别:
Primary Antibodies
- 库存:
Available
- 供应商:
GeneTex
- 宿主:
Mouse
- 应用范围:
WB, IHC-P, EM
- 浓度:
Batch dependent (Please refer to the vial label for the specific concentration.)
- 靶点:
All basic (type II) human keratins K1, K2, K3, K4, K5, K6, K7, K8
- 抗体英文名:
basic Cytokeratin antibody [AE3]
- 抗体名:
basic Cytokeratin 抗体 [AE3]
- 规格:
100 μl
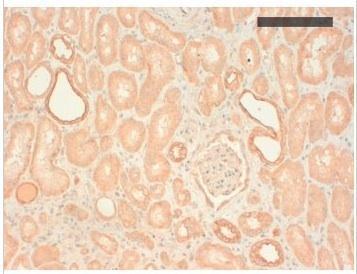
Immunohistochemical analysis of paraffin embedded human kidney with cytokeratin type II antibody [AE3]
风险提示:丁香通仅作为第三方平台,为商家信息发布提供平台空间。用户咨询产品时请注意保护个人信息及财产安全,合理判断,谨慎选购商品,商家和用户对交易行为负责。对于医疗器械类产品,请先查证核实企业经营资质和医疗器械产品注册证情况。
技术资料暂无技术资料 索取技术资料


![basic Cytokeratin antibody [AE3]](https://img1.dxycdn.com/2022/0328/789/2443066814237300453-14.jpg)



![beta 2 Microglobulin antibody [B2M/1118]](https://img1.dxycdn.com/2022/0328/785/7170337916800700453-14.jpg!wh200)

![Chikungunya virus nsP2 antibody [HL1488]](https://img1.dxycdn.com/2023/0605/237/8408142144890755661-14.jpg!wh200)

