相关产品推荐更多 >
万千商家帮你免费找货
0 人在求购买到急需产品
- 详细信息
- 文献和实验
- 技术资料
- 免疫原:
Bacterially expressed full-length human Cdk1 protein
- 亚型:
IgG2a
- 形态:
Liquid
- 保存条件:
Store as concentrated solution. Centrifuge briefly prior to opening vial. Store at 4ºC. DO NOT FREEZE.
- 克隆性:
Monoclonal
- 标记物:
Unconjugated
- 适应物种:
Human, Bovine, Primate
- 保质期:
12 months from the shipping date of the product.
- 抗原来源:
Human
- 目录编号:
GTX28040
- 级别:
Primary Antibodies
- 库存:
Available
- 供应商:
GeneTex
- 宿主:
Mouse
- 应用范围:
WB, ICC/IF, IHC-P, IP
- 浓度:
1 mg/ml (Please refer to the vial label for the specific concentration.)
- 靶点:
We do not recommend use of this product for Drosophila,Mouse,Rat,Xenopus.
- 抗体英文名:
CDC2 antibody [POH-1]
- 抗体名:
CDC2 抗体 [POH-1]
- 规格:
100 μg
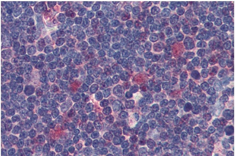
IHC-P analysis of human thymus tissue using GTX28040 CDC2 antibody [POH-1].
风险提示:丁香通仅作为第三方平台,为商家信息发布提供平台空间。用户咨询产品时请注意保护个人信息及财产安全,合理判断,谨慎选购商品,商家和用户对交易行为负责。对于医疗器械类产品,请先查证核实企业经营资质和医疗器械产品注册证情况。
文献和实验secondary antibody were purchased from GIBCO-BRL. Phosphospecific rabbit polyclonal antibodies against 180Thr and 182Tyr dual-phosphorylated p38, against total p38 (phosphorylation state independent), against 204Tyr-phosphorylated ERK1/2 and against total
Models of Inflammation: Carrageenan‐ or Complete Freund Adjuvant (CFA)
Jackson, L.R. and Fox, J.G. 1995. Institutional policies and guidelines on adjuvants and antibody production. ILAR J. 37:141‐152. Mirshafiey, A., Cuzzocrea, S
Two-hybrid analysis of genetic regulatory networks
with antibodies to its epitope tag, is expressed at the same level in each diploid, and that the baits, which can be detected with anti-LexA antibody and whose DNA binding can be quantitated by a repression assay (Brent and Ptashne, 1984), occupy the operators
技术资料暂无技术资料 索取技术资料






![CD31 antibody [MEM-05] (APC)](https://img1.dxycdn.com/2022/0328/984/0288643416316500453-14.jpg!wh200)
![CDC20 antibody [CDC20/1102]](https://img1.dxycdn.com/2022/0328/355/4328151753910700453-14.jpg!wh200)

![Calnexin antibody [AF18]](https://img1.dxycdn.com/2022/0328/677/9027782708219300453-14.jpg!wh200)

