相关产品推荐更多 >
万千商家帮你免费找货
0 人在求购买到急需产品
- 详细信息
- 文献和实验
- 技术资料
- 免疫原:
Fusion protein, corresponding to amino acids 780-914 from the intracellular IIIIV loop of Human NMDAR3A + NMDAR3B.
- 亚型:
IgG1
- 形态:
Liquid
- 保存条件:
Store as concentrated solution. Centrifuge briefly prior to opening vial. For short-term storage (1-2 weeks), store at 4ºC. For long-term storage, aliquot and store at -20ºC or below. Avoid multiple freeze-thaw cycles.
- 克隆性:
Monoclonal
- 标记物:
Unconjugated
- 适应物种:
Human, Mouse, Rat
- 保质期:
12 months from the shipping date of the product.
- 抗原来源:
Human
- 目录编号:
GTX22639
- 级别:
Primary Antibodies
- 库存:
Available
- 供应商:
GeneTex
- 宿主:
Mouse
- 应用范围:
WB, ICC/IF, IHC-Fr
- 浓度:
Batch dependent (Please refer to the vial label for the specific concentration.)
- 靶点:
This antibody recognizes NMDAR subunits NR3A and NR3B. It does not cross-react with subunits NR1 or NR2A-D.
- 抗体英文名:
NMDAR3A + NMDAR3B antibody [K35/40]
- 抗体名:
NMDAR3A + NMDAR3B 抗体 [K35/40]
- 规格:
50 μg
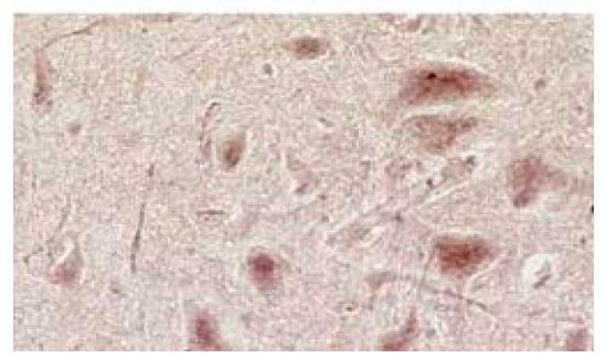
IHC-Fr analysis of mouse spinal cord ventral horn using GTX22639 NMDAR3A + NMDAR3B antibody [K35/40].
WB analysis of NR3A- and NR3B-transfected HEK293T cell lysates using GTX22639 NMDAR3A + NMDAR3B antibody [K35/40].
风险提示:丁香通仅作为第三方平台,为商家信息发布提供平台空间。用户咨询产品时请注意保护个人信息及财产安全,合理判断,谨慎选购商品,商家和用户对交易行为负责。对于医疗器械类产品,请先查证核实企业经营资质和医疗器械产品注册证情况。
文献和实验Furutani Y et al., Front Synaptic Neurosci 2018 (PMID:30147651)
补体成分 C3(C3a/C3b) 补体成分:C3 血清浓度(μg/ml):550-1200 分子量(kDa):195 亚单位(链)及分子量(kDa):α∶110;β∶85 激活产物:C3a;C3b 生物学活性:C3a 过敏毒素、趋化作用等。 C3b 组成CP、AP中的C3、C5转化
Aspects of CNS Lupus: Mouse Models of Anti-NMDA Receptor Antibody Mediated Reactivity
concepts of these models and provide protocols for the following: (1) the induction of anti-dsDNA, anti-NMDAR antibodies, (2) testing serum antibody titer by ELISA, (3) breaching blood brain barrier (BBB) integrity with LPS and epinephrine, (4) passive
secondary antibody review -- data from 99 publications
cytometry used as a control to detect cell responses targeted antigen 7 Alexa Fluor 488 7 Cy3 8 goat IgG Alexa Fluor 488 1:2000 detect antibody binding in human embryonic kidney 293T cells Invitrogen 9 donkey
技术资料暂无技术资料 索取技术资料







![c-Myc (phospho Ser62) antibody [33A12E10]](https://img1.dxycdn.com/2022/0328/570/2478065339717700453-14.jpg!wh200)
![NOSIP antibody [N1C3]](https://img1.dxycdn.com/2022/0328/920/6858900881161300453-14.jpg!wh200)
![PD1 antibody [PDCD1/922]](https://img1.dxycdn.com/2022/0328/835/9892508961890700453-14.jpg!wh200)

