相关产品推荐更多 >
万千商家帮你免费找货
0 人在求购买到急需产品
- 详细信息
- 文献和实验
- 技术资料
- 免疫原:
Partial peptide sequence (within residues 1100-1300) of human ABCA1 [UniProt# O95477]. Actual immunogen sequence is proprietary information.
- 亚型:
IgG
- 形态:
Liquid
- 保存条件:
Store as concentrated solution. Centrifuge briefly prior to opening vial. For short-term storage (1-2 weeks), store at 4ºC. For long-term storage, aliquot and store at -20ºC or below. Avoid multiple freeze-thaw cycles.
- 克隆性:
Polyclonal
- 标记物:
Unconjugated
- 适应物种:
Human, Mouse, Rat, Dog, Hamster, Chicken, Pig, Mustelid
- 保质期:
12 months from the shipping date of the product.
- 抗原来源:
Human
- 目录编号:
GTX27360
- 级别:
Primary Antibodies
- 库存:
Available
- 供应商:
GeneTex
- 宿主:
Rabbit
- 应用范围:
WB, ICC/IF, IHC-P, IHC-Fr, FACS, IP, ELISA, ChIP assay, Gel supershift assays
- 浓度:
1 mg/ml (Please refer to the vial label for the specific concentration.)
- 靶点:
ABCA1
- 抗体英文名:
ABCA1 antibody
- 抗体名:
ABCA1 抗体
- 规格:
100 μl
WB analysis of mouse peritoneal macrophages using GTX27360 ABCA1 antibody.
Lane 1 : T09 cell lysate
Lane 2 : Induced T09 cell lysate
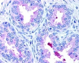
IHC-P analysis of prostate tissue using GTX27360 ABCA1 antibody.
WB analysis of RAW264.7 cells treated with vehicle (-) or 9-cisretinoic acid and 22rhydroxycholesterol (+) using GTX27360 ABCA1 antibody.
Loading : 40μg
ICC/IF analysis of HepG2 cells using GTX27360 ABCA1 antibody.
Green : primary antibody
Red : Tubulin
Blue : DAPI
Dilution : 5 μg/ml
Fixation : 10% formalin
Permibilization : 0.5% Triton-X100
ICC/IF analysis of HepG2 cells(serum starvation 24hrs and treated with 1uM TO9) using GTX27360 ABCA1 antibody.
Green : primary antibody
Red : Tubulin
Blue : DAPI
Dilution : 5 μg/ml
Fixation : 10% formalin
Permibilization : 1X TBS + 0.5% Triton-X100 for 5 minutes
WB analysis of post-nuclear lysate of raw macrophages treated with 9-cisretinoic acid and 22R-hydroxycholesterol using GTX27360 ABCA1 antibody.
Loading : 40μg
FACS analysis of HeLa cells using GTX27360 ABCA1 antibody. M1 is defined by unstained cells.
Purple : primary antibody
Dilution : 1:400
风险提示:丁香通仅作为第三方平台,为商家信息发布提供平台空间。用户咨询产品时请注意保护个人信息及财产安全,合理判断,谨慎选购商品,商家和用户对交易行为负责。对于医疗器械类产品,请先查证核实企业经营资质和医疗器械产品注册证情况。
文献和实验Chan HC et al., Biomedicines 2020 (PMID:33256187)
Yeh YT et al., Nutrients 2017 (PMID:29036927)
Wang SM et al., Cell Death Discov 2021 (PMID:33436575)
技术资料暂无技术资料 索取技术资料










