相关产品推荐更多 >
万千商家帮你免费找货
0 人在求购买到急需产品
- 详细信息
- 文献和实验
- 技术资料
- 免疫原:
Green Fluorescent Protein (GFP) fusion protein corresponding to the full length amino acid sequence (246aa) derived from the jellyfish Aequorea victoria
- 亚型:
IgG
- 形态:
Liquid
- 保存条件:
Store as concentrated solution. Centrifuge briefly prior to opening vial. For short-term storage (1-2 weeks), store at 4ºC. For long-term storage, aliquot and store at -20ºC or below. Avoid multiple freeze-thaw cycles.
- 克隆性:
Polyclonal
- 标记物:
Unconjugated
- 保质期:
12 months from the shipping date of the product.
- 目录编号:
GTX26673
- 级别:
Primary Antibodies
- 库存:
Available
- 供应商:
GeneTex
- 宿主:
Goat
- 应用范围:
WB, ICC/IF, IHC-P, IHC-Fr, IP, ELISA, IHC
- 浓度:
1.03 mg/ml (Please refer to the vial label for the specific concentration.)
- 靶点:
Anti-GFP assayed by ELISA for direct binding of antigen recognizes wild type, recombinant and enhanced forms of GFP
- 抗体英文名:
GFP antibody
- 抗体名:
GFP 抗体
- 规格:
100 μg
Figure 1. Western blot of GFP recombinant protein detected with GeneTex polyclonal anti-GFP antibody. Lane 1 shows detection of a 33 kDa band corresponding to a GFP containing recombinant protein (arrowhead) expressed in HeLa cells. Lane 2 shows no staining of a mock transfected HeLa cell lysate. After blocking the membrane was probed with the primary antibody diluted to 1 μg/ml for 1 h at room temperature followed by washes and reaction with a 1:2,500 dilution of donkey anti-Goat IgG [H&L].
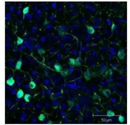
Sf-1+ neurons and their processes of the ventromedial nucleus of the hypothalamus in Mus musculus (coronal view, 20X magnification). GeneTex polyclonal goat anti-GFP was used at 1:500 dilution in free floating imunnohistochemistry to detect eGFP. Fluorchrome conjugated anti-goat IgG secondary antibody was used for detection at 1:500. Sections were counterstained with DAPI. Personal Communication, Daniel A. Lee, Johns Hopkins School of Medicine, Baltimore, MD.
Figure 2. Immunofluorescence microscopy. GeneTex polyclonal anti-GFP antibody at a 1:1,000 dilution detects tau-GFP in cell bodies (large arrowhead) and axons of motorneurons (arrow) and interneurons (small arrowhead) in Drosophila melanogaster late stage embryonic central nervous system. Fluorochrome conjugated anti-Goat secondary antibody was used for detection at 1:300. Panel A shows a lateral view (ventral left) and Panels B and C show ventral views of whole mount embryos at 63x magnification (plus 2x digital zoom). Personal Communication, Helmata Mistry, Washington University School of Medicine, St. Louis, MO.
Tissue: E5.5 Hex-GFP transgenic mouse embryo. Primary antibody: Goat anti-GFP was used at 1:500 dilution. Secondary antibody: Fluorchrome conjugated Anti-goat IgG secondary antibody at 1:10,000 for 45 min at RT. Staining: GFP as green fluorescent signal with DAPI blue counterstain.
风险提示:丁香通仅作为第三方平台,为商家信息发布提供平台空间。用户咨询产品时请注意保护个人信息及财产安全,合理判断,谨慎选购商品,商家和用户对交易行为负责。对于医疗器械类产品,请先查证核实企业经营资质和医疗器械产品注册证情况。
文献和实验Torihashi S et al., J Biol Chem 2015 (PMID:26178374)
Zechner D et al., BMC Cancer 2015 (PMID:25885700)
Daquinag AC et al., Cell Stem Cell 2011 (PMID:21683670)
Zhang Y et al., Cancer Res 2009 (PMID:19491274)
Zhang Y et al., Cancer Res 2012 (PMID:23071132)
Tanida I et al., Autophagy 2012 (PMID:22170151)
Klopp AH et al., Clin Cancer Res 2012 (PMID:22167410)
Gill JC et al., Endocrinology 2008 (PMID:18499748)
Koba S et al., Nat Commun 2022 (PMID:36038592)
Kazuya Togashi et al., Front Cell Neurosci 2020 (PMID:33362468)
Qingsong Ran et al., Front Endocrinol (Lausanne) 2020 (PMID:33381086)
Fei Su et al., NPJ Precis Oncol 2021 (PMID:33753872)
Paloma Alvarez-Suarez et al., Int J Mol Sci 2021 (PMID:34502296)
Rose M et al., Cell Rep 2022 (PMID:35081347)
Zhang K et al., Neural Regen Res 2022 (PMID:35017443)
Su F et al., Mol Ther Oncolytics 2020 (PMID:32995482)
Aksoy-Aksel A et al., Elife 2021 (PMID:34028352)
Schaub C et al., J Cell Biol 2019 (PMID:31591186)
Gao Z et al., Development 2018 (PMID:29158445)
Kitahara A et al., Cell Rep 2020 (PMID:32402288)
Solomon AM et al., PLoS One 2018 (PMID:29768445)
Christoph Schaub et al., bioRxiv 2019 (Epub)
Matsushita M et al., FEBS Open Bio 2019 (PMID:30947381)
Koba S et al., J Physiol 2018 (PMID:30019338)
Yao X et al., Dev Cell 2018 (PMID:29787711)
Wen ST et al., PLoS One 2013 (PMID:24040409)
Suetterlin P et al., Neuron 2014 (PMID:25451192)
Cherian MA et al., J Biol Chem 2015 (PMID:26324707)
Salameh A et al., JCI Insight 2016 (PMID:27468426)
Hu J et al., uni-tuebingen.de 2016 (Epub)
【共享】如何检测GFP、GFP、YFP、EYFP、CFP抗体?
对照,2道为1:1000倍稀释我们先看一下EarthOx的单克隆GFP抗体——Anti-GFP Tag Monoclonal Antibody [GF28R](货号#E022030),其免疫原是KLH偶联的水母GFP蛋白的N末端多肽,由于EGFP、YFP、EYFP、CFP得N末端序列与GFP几乎完全一致,因此从免疫原上来说,GFP与EGFP、YFP、EYFP、CFP没有区别。更重要的是,EarthOx对于该单克隆抗体还进行了明确的验证试验,试验也表明该Anti-GFP Tag Monoclonal
dingxiangyua 有哪位高手知道F-GFP和GFP-actin的抗性分别是什么?急求 Fasta921 定位在膜上的GFP (F-GFP) 绿荧光蛋白(GFP)标记肌动蛋白(GFP-Actin) 抗性?不明白! biyuntian478 lz是啥意思? 本文由丁香园论坛提供,想了解更多有用的、有意思的前沿资讯以及酷炫的实验
naj2007 请教一下各位老师,在构建过表达载体的时候,VEGF和GFP是不是不可以做成融合蛋白,但是如果用不同的启动子的话,很容易丢失荧光,有没有什么解决方法。 zhujoker 可以做成融合蛋白的,即使是使用不同的启动子的话荧光也不那么容易丢失的,大不了你将荧光的启动子换成强的如CMV,EF1a之类。 kinguangjun 或者你可以用CMV-VEGF-IRES-GFP来做
技术资料暂无技术资料 索取技术资料











