相关产品推荐更多 >
万千商家帮你免费找货
0 人在求购买到急需产品
- 详细信息
- 文献和实验
- 技术资料
- 免疫原:
Purified rat PDI protein.
- 亚型:
IgG2b
- 形态:
Liquid
- 保存条件:
Store as concentrated solution. Centrifuge briefly prior to opening vial. For short-term storage (1-2 weeks), store at 4ºC. For long-term storage, aliquot and store at -20ºC or below. Avoid multiple freeze-thaw cycles.
- 克隆性:
Monoclonal
- 标记物:
Unconjugated
- 适应物种:
Human, Mouse, Rat, Dog, Hamster, Pig, Golden Syrian Hamster, Xenopus, Primate
- 保质期:
12 months from the shipping date of the product.
- 抗原来源:
Rat
- 目录编号:
GTX25484
- 级别:
Primary Antibodies
- 库存:
Available
- 供应商:
GeneTex
- 宿主:
Mouse
- 应用范围:
WB, ICC/IF, IHC-P, FACS, IP, IHC, Neutralizing/Inhibition
- 靶点:
PDI
- 抗体英文名:
PDI antibody [RL77]
- 抗体名:
PDI 抗体 [RL77]
- 规格:
100 μl
IHC-P analysis of human tonsil tissue using GTX25484 PDI antibody [RL77].
Left : Primary antibody
Right : Negative control without primary antibody
Antigen retrieval : heat induced antigen retrieval was performed using 10mM sodium citrate (pH6.0) buffer, microwaved for 8-15 minutes
Dilution : 1:200
ICC/IF analysis of NS-1 Cells using GTX25484 PDI antibody [RL77].
Green : Primary antibody
Blue : cell nucleus
ICC/IF analysis of HMVEC Cells using GTX25484 PDI antibody [RL77].
Green : Primary antibody
Blue : cell nucleus
FACS analysis of Hela cells using GTX25484 PDI antibody [RL77] compared to an isotype control (blue).
Dilution : 0.25 ug/test for 60 min at room temperature
Fixation : 2% PFA
WB analysis of 25 ug of HepG2 (Lane 1), Hela (Lane 2) and NIH-3T3 (Lane 3) cell lysates using GTX25484 PDI antibody [RL77].
Dilution : 1:1000
ICC/IF analysis of MDCK cells using GTX25484 PDI antibody [RL77].
Green : Primary antibody
Blue : cell nucleus
Permeabilization : 0.1% Triton X-100
Dilution : 1:100 in blocking buffer for at least 1 hour at room temperature
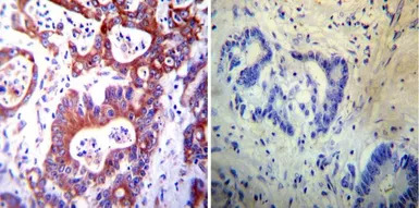
IHC-P analysis of human liver tissue using GTX25484 PDI antibody [RL77].
Left : Primary antibody
Right : Negative control without primary antibody
Antigen retrieval : heat induced antigen retrieval was performed using 10mM sodium citrate (pH6.0) buffer, microwaved for 8-15 minutes
Dilution : 1:200
FACS analysis of 3T3 cells using GTX25484 PDI antibody [RL77] compared to an isotype control (blue).
Dilution : 0.5 ug/test for 60 min at room temperature
Fixation : 2% PFA
ICC/IF analysis of A549 cells using GTX25484 PDI antibody [RL77].
Green : Primary antibody
Blue : cell nucleus
ICC/IF analysis of rat epithelial cells using GTX25484 PDI antibody [RL77].
FACS analysis of K562 cells using GTX25484 PDI antibody [RL77] compared to an isotype control (blue).
Dilution : 0.25 ug/test for 60 min at room temperature
Fixation : 2% PFA
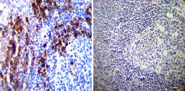
IHC-P analysis of human colon carcinoma tissue using GTX25484 PDI antibody [RL77].
Left : Primary antibody
Right : Negative control without primary antibody
Antigen retrieval : heat induced antigen retrieval was performed using 10mM sodium citrate (pH6.0) buffer, microwaved for 8-15 minutes
Dilution : 1:20
风险提示:丁香通仅作为第三方平台,为商家信息发布提供平台空间。用户咨询产品时请注意保护个人信息及财产安全,合理判断,谨慎选购商品,商家和用户对交易行为负责。对于医疗器械类产品,请先查证核实企业经营资质和医疗器械产品注册证情况。
文献和实验Shen TJ et al., JCI Insight 2022 (PMID:36125898)
Bauer CS et al., Acta Neuropathol 2022 (PMID:35876881)
secondary antibody review -- data from 99 publications
cytometry used as a control to detect cell responses targeted antigen 7 Alexa Fluor 488 7 Cy3 8 goat IgG Alexa Fluor 488 1:2000 detect antibody binding in human embryonic kidney 293T cells Invitrogen 9 donkey
【翻译】Development trends for monoclonal antibody cancer therapeutics
). However, since 2000, humanized and human mAbs have been entering clinical study at approximately the same rate (4.3 versus 4.5 mAbs per year, respectively). Figure 1 | Categories of monoclonal antibody cancer therapeutics entering clinical study during 1980–1989
Phycoerythrin conjugation protocol
Phycoerythrin conjugation protocol David's method modified from references (2) and (3). I used this method to conjugate a mouse IgG2a monoclonal antibody (IB4). It works well. Reagents Ab Antibody
技术资料暂无技术资料 索取技术资料









![alpha 1 Antitrypsin antibody [AAT/1378]](https://img1.dxycdn.com/2022/0328/812/8868319765489600453-14.jpg!wh200)
