相关产品推荐更多 >
万千商家帮你免费找货
0 人在求购买到急需产品
- 详细信息
- 文献和实验
- 技术资料
- 免疫原:
Bacterially expressed recombinant HLA-E refolded with beta2-microglobulin and peptide.
- 亚型:
IgG1
- 形态:
Liquid
- 保存条件:
Store as concentrated solution. Centrifuge briefly prior to opening vial. Store at 4℃. DO NOT FREEZE.
- 克隆性:
Monoclonal
- 标记物:
Unconjugated
- 适应物种:
Human, Primate
- 保质期:
12 months from the shipping date of the product.
- 抗原来源:
Human
- 目录编号:
GTX23984
- 级别:
Primary Antibodies
- 库存:
Available
- 供应商:
GeneTex
- 宿主:
Mouse
- 应用范围:
IHC-P, FACS, IP
- 浓度:
1 mg/ml(Please refer to the vial label for the specific concentration.)
- 靶点:
HLA-E
- 抗体英文名:
HLA-E antibody [MEM-E/06]
- 抗体名:
HLA-E 抗体 [MEM-E/06]
- 规格:
100 μg
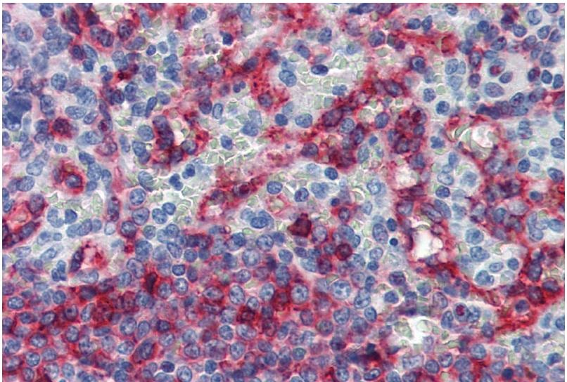
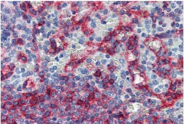
IHC-P analysis of human spleen tissue using GTX23984 HLA-E antibody [MEM-E/06].
风险提示:丁香通仅作为第三方平台,为商家信息发布提供平台空间。用户咨询产品时请注意保护个人信息及财产安全,合理判断,谨慎选购商品,商家和用户对交易行为负责。对于医疗器械类产品,请先查证核实企业经营资质和医疗器械产品注册证情况。
文献和实验Differentiating Neural Stem Cells into Neurons and Glial Cells
with a magnetic stirrer). d. Incubate the cells with fluorescence-labeled secondary antibody (5% serum in D-PBS with Ca2 and Mg2 ) in the dark at 37°C for 30–45 minutes. e. Wash the cells 3X with D-PBS containing Ca2 and Mg
Analysis of the Soluble Isoforms of HLA-G: mRNAs and Proteins
, and -C; these are expressed by nearly all somatic cells and stimulate graft rejection when foreign to the host. By contrast, the HLA class Ib antigens, HLA-E, -F, and -G, have restricted expression, few variants, and appear rarely to be immunostimulatory
哺乳动物RNAi技术 Mammalian RNA Interference
or to use a siRNA duplex that targets a gene absent from the selected model organism, e.g., GFP or luciferase. We have used an siRNA duplex targeting firefly luciferase as a control for targeting endogenous genes in mammalian cells because the firefly
技术资料暂无技术资料 索取技术资料







![CTR9 antibody [N1N2], N-term](https://img1.dxycdn.com/2022/0328/403/7846132231201300453-14.jpg!wh200)



