相关产品推荐更多 >
万千商家帮你免费找货
0 人在求购买到急需产品
- 详细信息
- 文献和实验
- 技术资料
- 免疫原:
Mucin isolated by size exclusion chromatography from an ovarian cyst fluid (pure endocervical type according to the Fenoglio´s classification).
- 亚型:
IgG1
- 形态:
Liquid
- 保存条件:
Store as concentrated solution. Centrifuge briefly prior to opening vial. Store at 4ºC. DO NOT FREEZE.
- 克隆性:
Monoclonal
- 标记物:
Unconjugated
- 适应物种:
Human
- 保质期:
12 months from the shipping date of the product.
- 抗原来源:
Human
- 目录编号:
GTX23968
- 级别:
Primary Antibodies
- 库存:
Available
- 供应商:
GeneTex
- 宿主:
Mouse
- 应用范围:
WB, IHC-P, ELISA
- 浓度:
1 mg/ml (Please refer to the vial label for the specific concentration.)
- 靶点:
Blood Group Lewis b
- 抗体英文名:
Blood Group Lewis b antibody [2-25LE]
- 抗体名:
Blood Group Lewis b 抗体 [2-25LE]
- 规格:
100 μg
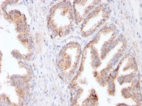
IHC-P analysis of human colon adenocarcinoma tissue using GTX23968 Blood Group Lewis b antibody [2-25LE].
IHC-P analysis of human small intestine tissue using GTX23968 Blood Group Lewis b antibody [2-25LE].
风险提示:丁香通仅作为第三方平台,为商家信息发布提供平台空间。用户咨询产品时请注意保护个人信息及财产安全,合理判断,谨慎选购商品,商家和用户对交易行为负责。对于医疗器械类产品,请先查证核实企业经营资质和医疗器械产品注册证情况。
文献和实验血型 blood group 将不同个体的血液混合时,红细胞中的凝集原与另一个体血清中的凝集素发生作用,有时可出现凝集。由于凝集只在一定组合的条件下发生,因此接凝集的有无而将血液分为若干类型,这种类型称为血型。即属于同一血型者不凝集,如果发生凝集时则说明血型不同。在人类根据红细胞的抗原物质的特性,可分为 ABO血型或者 Rh血型等若干个类型。 ABO血型和 Rh血型在输血上有重要意义。对人类来说,最初就是根据 ABO血型而知道了凝集原与凝集素的关系,并阐明是通过复对立基
儿贫血病。临床上最重要和常见的血型有 ABO血型系统和 Rh血型系统。白细胞和血小板的细胞膜上也载有与红细胞相同的抗原系统。 ABO、 Rh、 MN血型系统的抗原,是红细胞、白细胞和血小板共有的。 人类主要的血型系统 ABO血型系统( ABO blood group system)是人类最常见和最重要的血型系统,含 A、 B、 H抗原(凝集原)。根据红细胞表面所含抗原命名,红细胞膜上含 A抗原者为 A型血;含 B抗原者为 B型血;同时含 A、 B抗原
血型物质 blood group substance 存在于红血球表面,决定血型特异性的物质。关于控制 ABO式血型的物质,其抗原决定基部分的结构以及生物合成的机理等在一定程度上已被查清。是一类高分子糖蛋白。 A型、 B型或是 O型物质(亦称 H型物质)之间的差别仅仅决定于糖亚基部末端结构的差异,如下图所示,在各种血型的人中,由共同存在的 H基因发出指令,合成一种能将某种前体物质转化为 H物质( H substance)的酶。在具有 A基因( B基因)的人体内, H物质
技术资料暂无技术资料 索取技术资料







![pan Cytokeratin antibody [7H8]](https://img1.dxycdn.com/2022/0328/074/4149892219157500453-14.jpg!wh200)

![HAS2 antibody [4E7]](https://img1.dxycdn.com/2022/0328/377/1044707580533500453-14.jpg!wh200)

