相关产品推荐更多 >
万千商家帮你免费找货
0 人在求购买到急需产品
- 详细信息
- 文献和实验
- 技术资料
- 免疫原:
Recombinant human ATRX protein
- 亚型:
IgG
- 形态:
Liquid
- 保存条件:
Store as concentrated solution. Centrifuge briefly prior to opening vial. Store at 4ºC.
- 克隆性:
Monoclonal
- 标记物:
Unconjugated
- 适应物种:
Human
- 保质期:
12 months from the shipping date of the product.
- 抗原来源:
Human
- 目录编号:
GTX02593
- 级别:
Primary Antibodies
- 库存:
Available
- 供应商:
GeneTex
- 宿主:
Rabbit
- 应用范围:
IHC-P
- 浓度:
200 μg/ml (Please refer to the vial label for the specific concentration.)
- 靶点:
ATRX
- 抗体英文名:
ATRX antibody [ATRX/2900R]
- 抗体名:
ATRX 抗体 [ATRX/2900R]
- 规格:
100 μg
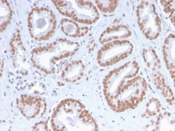
IHC-P analysis of human prostate carcinoma section using GTX02593 ATRX antibody [ATRX/2900R].
风险提示:丁香通仅作为第三方平台,为商家信息发布提供平台空间。用户咨询产品时请注意保护个人信息及财产安全,合理判断,谨慎选购商品,商家和用户对交易行为负责。对于医疗器械类产品,请先查证核实企业经营资质和医疗器械产品注册证情况。
文献和实验【操作步骤】6.2 分文章作者,亲手教你如何轻松搞定生信文章
://ualcan.path.uab.edu/」网站查找了目标基因在不同癌症中的差异表达情况,证明了该基因在多种癌症中的表达量较正常组均有所升高。 网站原始下载图片如下: 图片来源:文献截图 其次,该文章下载了 TCGA 的原始数据进行验证,并利用 R 语言进行绘图。 研究胶质瘤,分组情况一般是传统的病理级别(胶质瘤可分为 I-IV 级)、2016 版 WHO 分组情况(经典型、间质型、神经元型、前神经元型),以及临床常用的分子标志物表达情况(MGMT 启动子甲基化、ATRX 表达情况、TERT 表达情况
遗传异质性是由于基因变异 ( 其中绝大多数为 SNP) 引起的 遗传 异质性是由于基因变异(其中绝大多数为SNP)引起的,如APOE*E4与老年性痴呆、V因子1691G+A与深静脉血栓形成存在很强的相关性。不同基因的突变与不同的表型相关,但事实上同一基因的突变可能与许多疾病表型相关。例如,ATRX转录因子的不同突变导致不同表型的智力低下。在其他一些情况下,单个基因的突变甚至可以产生毫不相关的多种异常表型。如果携带2个无效CFTR等位基因的患者患严重的囊性
, YWHAZ. Cell Cycle Proteins Regulated by the Erk1/2 Pathway: CCNA1, CCNA2, CCNB1, CCNB2, CCND1, CCND2, CCND3, CCNE1, CCNE2, CDK2, CDK4, CDK6, CDKN1A, CDKN1B, CDKN1C, CDKN2A, CDKN2B, CDKN2C, CDKN2D, E2F1, RB1. 2。T细胞与B细胞活化基因芯片 T细胞与B细胞活化基因芯片列有适应性免疫
技术资料暂无技术资料 索取技术资料








![Mre11 antibody [C1C3]](https://img1.dxycdn.com/2022/0328/959/0234306510974300453-14.jpg!wh200)


