相关产品推荐更多 >
万千商家帮你免费找货
0 人在求购买到急需产品
- 详细信息
- 文献和实验
- 技术资料
- 免疫原:
BALB/C mice were injected with a recombinant tyrosinase protein.
- 亚型:
IgG2a
- 形态:
Liquid
- 保存条件:
Store as concentrated solution. Centrifuge briefly prior to opening vial. Store at 4℃.
- 克隆性:
Monoclonal
- 标记物:
Unconjugated
- 适应物种:
Human
- 保质期:
12 months from the shipping date of the product.
- 抗原来源:
Human
- 目录编号:
GTX20738
- 级别:
Primary Antibodies
- 库存:
Available
- 供应商:
GeneTex
- 宿主:
Mouse
- 应用范围:
IHC-P
- 浓度:
Batch dependent (Please refer to the vial label for the specific concentration.)
- 靶点:
Tyrosinase
- 抗体英文名:
Tyrosinase antibody [T311]
- 抗体名:
Tyrosinase 抗体 [T311]
- 规格:
500 μl
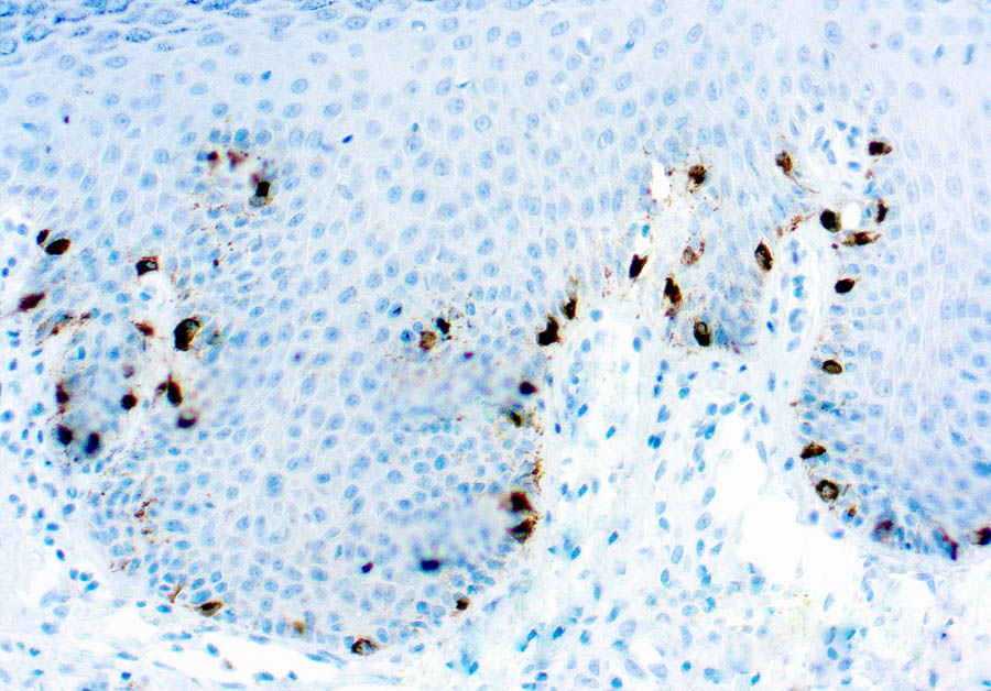
IHC-P analysis of human melanoma tissue using GTX20738 Tyrosinase antibody [T311].
风险提示:丁香通仅作为第三方平台,为商家信息发布提供平台空间。用户咨询产品时请注意保护个人信息及财产安全,合理判断,谨慎选购商品,商家和用户对交易行为负责。对于医疗器械类产品,请先查证核实企业经营资质和医疗器械产品注册证情况。
文献和实验Ordonez NG et al., Hum Pathol 2014 (PMID:23648379)
Methods for the Preparation of Electrochemical Composite Biosensors Based on Gold Nanoparticles
electrode matrices are highlighted, giving rise to bioelectrodes with improved analytical performance in terms of stability and sensitivity with respect to other biosensor designs. Three different biosensors have been considered: a tyrosinase biosensor
展研究 参考文献: Czerkinsky, C.C., L.A. Nilsson, H. Nygren, O. Ouchterlony, and A. Tarkowski. 1983. A solid-phase enzyme-linked immunospot (ELISPOT) assay for enumeration of specific antibody-secreting cells. J. Immunol. Meth. 65: 109.
细胞表达的蛋白即以融合蛋白的形式表达于噬菌体表面。此基因文库称为噬菌体表达文库。应用肿瘤患者自身血清中存在的抗肿瘤抗体,利用抗原抗体特异性反应,结合放射性标记或酶标记技术,筛选肿瘤细胞的cDNA表达文库。将阳性反应的噬菌体克隆后即获得了相应的基因和多肽抗原。目前用此法已找到了一批肿瘤抗原,其中也包括了应用T细胞克隆发现的MAGE-1、Tyrosinase等。因此,用SEREX方法克隆的某些肿瘤抗原也可以被T细胞识别。这也说明人体内肿瘤细胞表面存在多种肿瘤抗原或肿瘤相关抗原可被免疫系统识别。有趣
技术资料暂无技术资料 索取技术资料






![CD147 antibody [MEM-M6/1]](https://img1.dxycdn.com/2022/0328/036/3683597466648300453-14.gif!wh200)

![KCNN4 antibody [6C1]](https://img1.dxycdn.com/2022/0328/631/1295131560085700453-14.jpg!wh200)

