相关产品推荐更多 >
万千商家帮你免费找货
0 人在求购买到急需产品
- 详细信息
- 文献和实验
- 技术资料
- 免疫原:
KLH conjugated synthetic peptide between 116-144 amino acids from the N-terminal region of human FGA.
- 亚型:
IgG
- 形态:
Liquid
- 保存条件:
Store as concentrated solution. Centrifuge briefly prior to opening vial. For short-term storage (1-2 weeks), store at 4ºC. For long-term storage, aliquot and store at -20ºC or below. Avoid multiple freeze-thaw cycles.
- 克隆性:
Polyclonal
- 标记物:
Unconjugated
- 适应物种:
Human
- 保质期:
12 months from the shipping date of the product.
- 抗原来源:
Human
- 目录编号:
GTX81691
- 级别:
Primary Antibodies
- 库存:
Available
- 供应商:
GeneTex
- 宿主:
Rabbit
- 应用范围:
WB, ICC/IF, IHC-P
- 浓度:
Batch dependent (Please refer to the vial label for the specific concentration.)
- 靶点:
Fibrinogen alpha
- 抗体英文名:
Fibrinogen alpha antibody, N-term
- 抗体名:
Fibrinogen alpha 抗体, N-term
- 规格:
400 μl
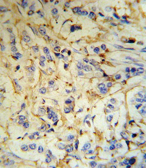
IHC-P analysis of human breast carcinoma using GTX81691 Fibrinogen alpha antibody, N-term.
ICC/IF analysis of HepG2 cells using GTX81691 Fibrinogen alpha antibody, N-term.
Green : Fibrinogen alpha
Blue : DAPI
WB analysis of human blood plasma(35ug/lane) using GTX81691 Fibrinogen alpha antibody, N-term.
风险提示:丁香通仅作为第三方平台,为商家信息发布提供平台空间。用户咨询产品时请注意保护个人信息及财产安全,合理判断,谨慎选购商品,商家和用户对交易行为负责。对于医疗器械类产品,请先查证核实企业经营资质和医疗器械产品注册证情况。
文献和实验Yang C.S. et al., Mol Biosyst 2017 (Epub)
Biochemical Characterization of a Testis-Predominant Isoform of N-Alpha Acetyltransferase
N-alpha protein acetylation, catalyzed by N-alpha acetyltransferase complex, is a common protein �modification process in eukaryotic cells. Despite its widespread occurrence, the biological significance of this modification process
ALPHA FACTOR ARREST AND RELEASE
Alpha Factor Arrest and Release Alpha factor stock is 10-3 M in 0.1N HCl (i.e. resuspend 5 mg alpha factor in 2.97 ml 0.1N HCl). To arrest BAR1 strains, the pheromone should be diluted to a final concentration
In the field of therapeutic recombinant proteins, monoclonal antibodies (mAbs) have achieved a rising success with more than 30 mAbs that have reached the market in the past 20 years. From a structural standpoint, one of the most important
技术资料暂无技术资料 索取技术资料








![RFP antibody [GT1433]](https://img1.dxycdn.com/2022/0329/008/5263299011895020453-14.jpg!wh200)


