相关产品推荐更多 >
万千商家帮你免费找货
0 人在求购买到急需产品
- 详细信息
- 文献和实验
- 技术资料
- 免疫原:
Synthetic 16 amino acid peptide from 2nd extracellular domain of human F2RL3 / PAR4.
- 亚型:
IgG
- 形态:
Liquid
- 保存条件:
Store as concentrated solution. Centrifuge briefly prior to opening vial. For short-term storage (1-2 weeks), store at 4ºC. For long-term storage, aliquot and store at -20ºC or below. Avoid multiple freeze-thaw cycles.
- 克隆性:
Polyclonal
- 标记物:
Unconjugated
- 适应物种:
Human, Monkey
- 保质期:
12 months from the shipping date of the product.
- 抗原来源:
Human
- 目录编号:
GTX13270
- 级别:
Primary Antibodies
- 库存:
Available
- 供应商:
GeneTex
- 宿主:
Rabbit
- 应用范围:
IHC-P
- 浓度:
1 mg/ml (Please refer to the vial label for the specific concentration.)
- 靶点:
F2RL3 / PAR-4
- 抗体英文名:
F2RL3 / PAR-4 antibody
- 抗体名:
F2RL3 / PAR-4 抗体
- 规格:
25 μg
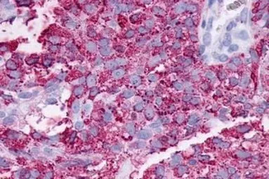
IHC-P analysis of human ovary, carcinoma tissue using GTX13270 F2RL3 / PAR-4 antibody.
Antigen retrieval : Heat-induced antigen retrieval
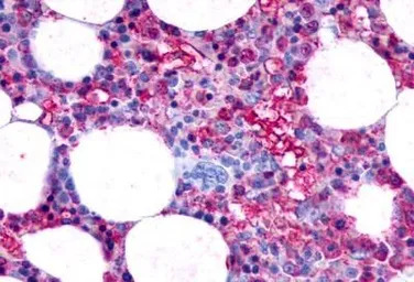
IHC-P analysis of human bone marrow tissue using GTX13270 F2RL3 / PAR-4 antibody.
Antigen retrieval : Heat-induced antigen retrieval
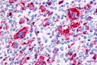
IHC-P analysis of human lymph node, hodgkins lymphoma tissue using GTX13270 F2RL3 / PAR-4 antibody.
Antigen retrieval : Heat-induced antigen retrieval
风险提示:丁香通仅作为第三方平台,为商家信息发布提供平台空间。用户咨询产品时请注意保护个人信息及财产安全,合理判断,谨慎选购商品,商家和用户对交易行为负责。对于医疗器械类产品,请先查证核实企业经营资质和医疗器械产品注册证情况。
文献和实验in goat serum 1 x 60' primary antibody (rabbit-anti-PAR-1 in 1% BSA, 10% serum in PBS) -- optionally incubated 4 hours @ 16 degrees C 1 x 10' wash in PBS 1 x 10' wash in PBS + 0.5% Tween 1 x 10' wash in PBS
Notes on Making Rat x Y3 Monoclonal Antibody Producing Hybridomas
Although Y3/Ag1.2.3 has its own myeloma light chain, their are numerous characteristics that make this a better parent line for making hybridomas than the 'Y0' chain loss variants or using NS0 to make rat x mouse hybrids. These are: a) Hybridomas
There is an increasing interest in the preparation of rat � rat hybridomas, because they have been found to be more stable in culture than mouse hybridomas and they secrete consistently high levels (10 �g/mL and above) of monoclonal antibody
技术资料暂无技术资料 索取技术资料








![Tyrosinase antibody [SPM360]](https://img1.dxycdn.com/2022/0328/213/7973073634221700453-14.jpg!wh200)


