相关产品推荐更多 >
万千商家帮你免费找货
0 人在求购买到急需产品
- 详细信息
- 文献和实验
- 技术资料
- 免疫原:
This monoclonal antibody was raised against a peptide corresponding to amino acids 17-35 of human TRAIL. This peptide sequence has been shown to be involved in TRAIL and DR5 (TRAIL-R2) interaction.
- 亚型:
IgG1
- 形态:
Liquid
- 保存条件:
Store as concentrated solution. Centrifuge briefly prior to opening vial. For short-term storage (1-2 weeks), store at 4ºC. For long-term storage, aliquot and store at -20ºC or below. Avoid multiple freeze-thaw cycles.
- 克隆性:
Monoclonal
- 标记物:
Unconjugated
- 适应物种:
Human, Cat, Dog
- 保质期:
12 months from the shipping date of the product.
- 抗原来源:
Human
- 目录编号:
GTX12124
- 级别:
Primary Antibodies
- 库存:
Available
- 供应商:
GeneTex
- 宿主:
Mouse
- 应用范围:
WB, IHC-P
- 浓度:
0.5 mg/ml (Please refer to the vial label for the specific concentration.)
- 靶点:
TRAIL
- 抗体英文名:
TRAIL antibody [55B709.3]
- 抗体名:
TRAIL 抗体 [55B709.3]
- 规格:
50 μg
WB analysis of Jurkat cell lysate using GTX12124 TRAIL antibody [55B709.3].
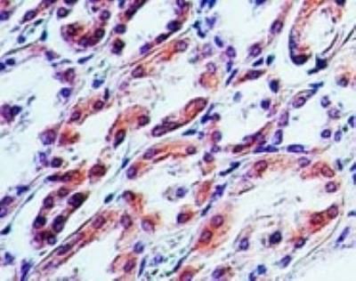
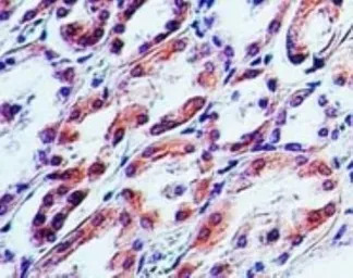
IHC-P analysis of human kidney tissue using GTX12124 TRAIL antibody [55B709.3].
Dilution : 5 μg/ml
风险提示:丁香通仅作为第三方平台,为商家信息发布提供平台空间。用户咨询产品时请注意保护个人信息及财产安全,合理判断,谨慎选购商品,商家和用户对交易行为负责。对于医疗器械类产品,请先查证核实企业经营资质和医疗器械产品注册证情况。
文献和实验cell membrane-associated molecules that transduce apoptotic signals, e.g., Fas Ligand (FasL) or TRAIL (reviewed in refs. 1 ,2 ). Target cell recognition by NK cells occurs via either of two ways: (1) receptors capable of binding molecules
大鼠肿瘤坏死因子相关凋亡诱导配体4(TRAIL-R4 )ELISA试剂盒 说明书
上海西唐生物科技有限公司 021-55229872, 65333639 www.westang.com 大鼠肿瘤坏死因子相关凋亡诱导配体 4(TRAIL-R4 )ELISA 试剂盒 ( 用于血清、血浆、细胞培养上清液和裂解物及唾液其它生物体液内 ) 原理 本实验采用双抗体夹心 ABC-ELISA 法。用抗大鼠 TRAIL R4 单抗包被于酶标板上,标准品和样品中的 TRAIL R4 与单抗结合,加入
Biotechnology 23, 709 - 717 (2005) Published online: 22 May 2005; | doi:10.1038/nbt1101 Antibody mediated in vivo delivery of small interfering RNAs via cell-surface receptors Erwei Song1, 4, Pengcheng Zhu1, 4, Sang-Kyung Lee1, Dipanjan Chowdhury1, Steven
技术资料暂无技术资料 索取技术资料









![B-Raf antibody [1E2]](https://img1.dxycdn.com/2022/0328/194/8006770711088500453-14.jpg!wh200)

