相关产品推荐更多 >
万千商家帮你免费找货
0 人在求购买到急需产品
- 详细信息
- 文献和实验
- 技术资料
- 免疫原:
A synthetic peptide corresponding to a sequence in the middle region of mouse SLC2A5 (232-251aa ALQTLRGWKDVHLEMEEIRK), different from the related rat sequence by two amino acids.
- 亚型:
IgG
- 形态:
Liquid
- 保存条件:
Store as concentrated solution. Centrifuge briefly prior to opening vial. For short-term storage (1-2 weeks), store at 4ºC. For long-term storage, aliquot and store at -20ºC or below. Avoid multiple freeze-thaw cycles.
- 克隆性:
Polyclonal
- 标记物:
Unconjugated
- 适应物种:
Mouse, Rat
- 保质期:
12 months from the shipping date of the product.
- 抗原来源:
Mouse
- 目录编号:
GTX12098
- 级别:
Primary Antibodies
- 库存:
Available
- 供应商:
GeneTex
- 宿主:
Rabbit
- 应用范围:
WB, IHC-P, IHC-Fr
- 浓度:
500 μg/ml (Please refer to the vial label for the specific concentration.)
- 靶点:
GLUT5
- 抗体英文名:
GLUT5 antibody
- 抗体名:
GLUT5 抗体
- 规格:
100 μg
WB analysis of various samples using GTX12098 GLUT5 antibody.
Lane 1 : rat kidney tissue lysate at 50ug
Lane 2 : rat liver tissue lysate at 50ug
Lane 3 : mouse kidney tissue lysate at 50ug
Dilution : 0.5 μg/mL
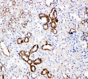
IHC-P analysis of rat kidney tissue using GTX12098 GLUT5 antibody.
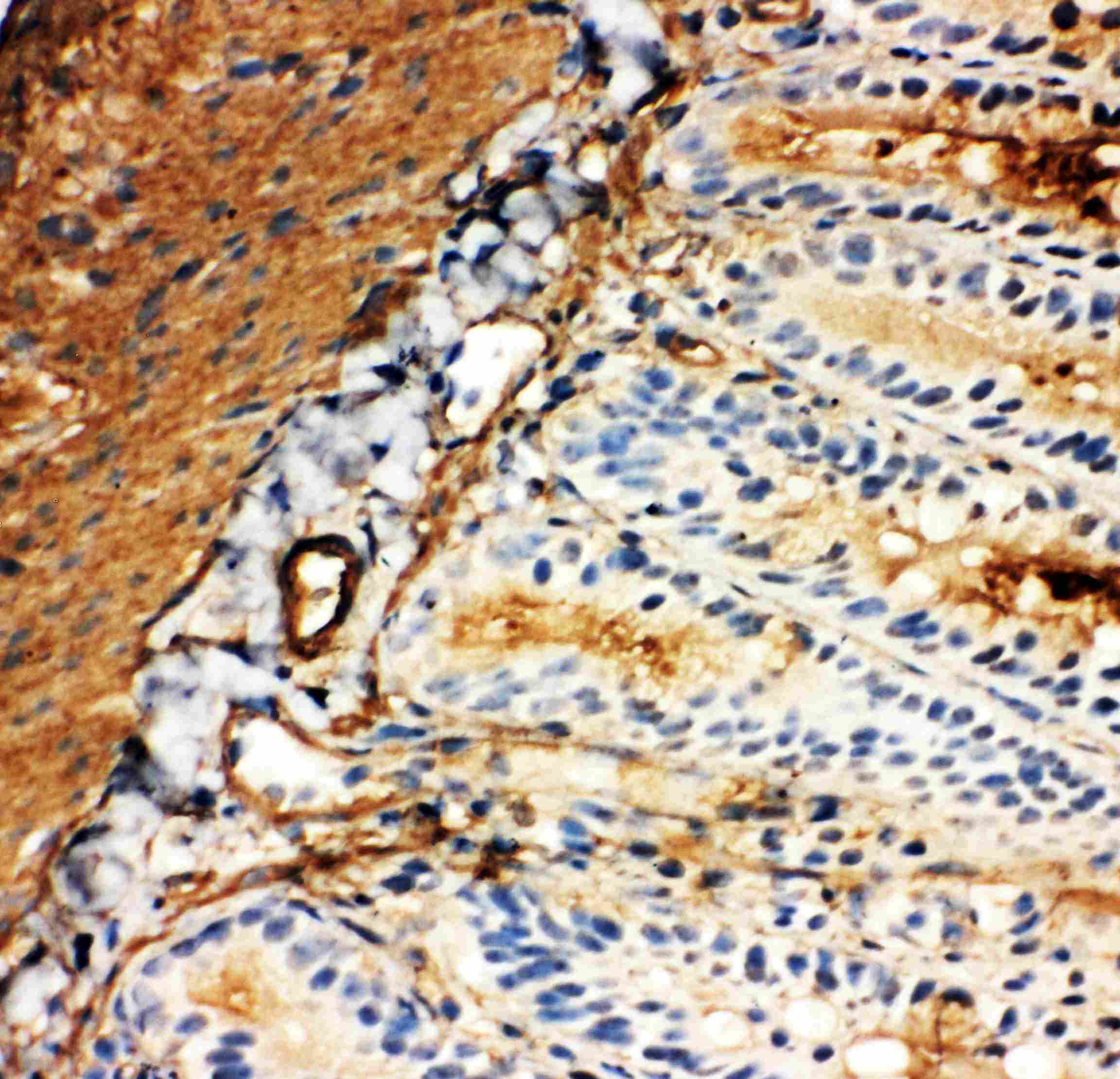
IHC-P analysis of mouse tissue using GTX12098 GLUT5 antibody.
Antigen retireval : Heat mediated antigen retrieval was performed in citrate buffer (pH6, epitope retrieval solution) for 20 mins
Dilution : 1μg/ml
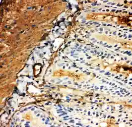
IHC-Fr analysis of rat intestine tissue using GTX12098 GLUT5 antibody.
风险提示:丁香通仅作为第三方平台,为商家信息发布提供平台空间。用户咨询产品时请注意保护个人信息及财产安全,合理判断,谨慎选购商品,商家和用户对交易行为负责。对于医疗器械类产品,请先查证核实企业经营资质和医疗器械产品注册证情况。
文献和实验Chen YY et al., Int J Mol Sci 2022 (PMID:35806147)
Chen YY et al., Int J Mol Sci 2019 (PMID:31491943)
Onishi S et al., Peptides 2018 (PMID:29966680)
Measurement of Contraction-Stimulated GLUT-4 Translocation in Isolated Skeletal Muscle
-sensitive cells, such as heart, skeletal muscle, and adipose tissue, glucose transport is mediated by two members of this family, termed GLUT-1 and GLUT-4. Of these two transporters, GLUT-1 is found primarily in the plasma membrane and functions
The Measurement of GLUT4 Translocation in 3T3-L1 Adipocytes
uptake into muscle and fat is the translocation of glucose transporter 4 (GLUT4) to the cell surface from intracellular storage vesicles within the cell. A major advantage in focussing on insulin regulation of glucose transport is that this represents
Generation of Antibody Molecules Through Antibody Engineering
been overcome to a large extent using genetic-engineering techniques to produce chimeric mouse/human and completely human antibodies. Such an approach is particularly suitable because of the domain structure of the antibody molecule ( 2 ), where functional
技术资料暂无技术资料 索取技术资料





![alpha Tubulin antibody [TU-01] (FITC)](https://img1.dxycdn.com/2022/0328/967/9994591396628300453-14.jpg!wh200)





