相关产品推荐更多 >
万千商家帮你免费找货
0 人在求购买到急需产品
- 详细信息
- 文献和实验
- 技术资料
- 免疫原:
A synthetic peptide corresponding to the region of the Fas-induced cleavage site of human D4-GDI/RhoGDI2 was used as the immunogen.
- 亚型:
IgG2b
- 形态:
Liquid
- 保存条件:
Store as concentrated solution. Centrifuge briefly prior to opening vial. For short-term storage (1-2 weeks), store at 4ºC. For long-term storage, aliquot and store at -20ºC or below. Avoid multiple freeze-thaw cycles.
- 克隆性:
Monoclonal
- 标记物:
Unconjugated
- 适应物种:
Human, Mouse
- 保质期:
12 months from the shipping date of the product.
- 抗原来源:
Human
- 目录编号:
GTX11927
- 级别:
Primary Antibodies
- 库存:
Available
- 供应商:
GeneTex
- 宿主:
Mouse
- 应用范围:
WB, IHC-P, FACS, IP
- 浓度:
0.5 mg/ml (Please refer to the vial label for the specific concentration.)
- 靶点:
D4 GDI (cleaved specific)
- 抗体英文名:
D4 GDI (cleaved specific) antibody [97A1015]
- 抗体名:
D4 GDI (cleaved specific) 抗体 [97A1015]
- 规格:
50 μg
WB analysis of HL-60 cells treated with 10 ng/ml anti-FAS mab (clone DX2) using GTX11927 D4 GDI (cleavage specific) antibody [97A1015].
FACS (Intracellular staining) analysis of camptothecin-treated HL-60 cells using GTX11927 D4 GDI (cleavage specific) antibody [97A1015].
Red : Primary antibody
Green : isotype control
Shaded histogram : cell only
Antibody amount : 0.5 μg
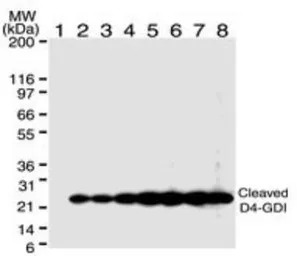
WB analysis of 2 uM staurosporine treated Jurkat cell lysate using GTX11927 D4 GDI (cleavage specific) antibody [97A1015] (lane 4~6) or D4 GDI antibody (lane 1~3) as a control .
Dilution : 1 μg/ml
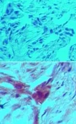
IHC-P analysis of human breast carcinoma tissue using GTX11927 D4 GDI (cleavage specific) antibody [97A1015].
Top : Isotype control
Bottom : primary antibody
FACS (Intracellular staining) analysis of 10⁶ untreated (left) and 3 hour staurosporine-treated (right) Jurkat cells using GTX11927 D4 GDI (cleavage specific) antibody [97A1015].
Red : Primary antibody
Green : isotype control
Antibody amount : 0.5 μg
FACS (Intracellular staining) analysis of untreated (left) and staurosporine-treated (right) Ramos cells using GTX11927 D4 GDI (cleavage specific) antibody [97A1015].
Red : Primary antibody
Green : isotype control
Antibody amount : 0.5 μg
风险提示:丁香通仅作为第三方平台,为商家信息发布提供平台空间。用户咨询产品时请注意保护个人信息及财产安全,合理判断,谨慎选购商品,商家和用户对交易行为负责。对于医疗器械类产品,请先查证核实企业经营资质和医疗器械产品注册证情况。
文献和实验Chromatin Immunoprecipitation (ChIP)
cells. Cross-linking is performed by adding formaldehyde to growing cells, and chromatin is prepared, sheared by sonication, and precleared to reduce nonspecific immunoprecipitation. Immunoprecipitation is performed with a specific antibody
Maintenance of Chicken Embryonic Stem Cells In Vitro
cells were characterized by the expression of alkaline phosphatase activity, stage-specific embryonic antigen (SSEA)-1 and embryonal carcinoma cell monoclonal antibody-1. In addition, the phosphorylation of signal transducers and acti-vators
在于遗传背景稳定,操作方便且经济。RA 模型大致可分为诱导型和转基因型两大类,本文将针对这两大类模型进行总结和比较,以便广大学者为自己的研究选择合适的 RA 模型。 一、诱导型类风湿关节炎模型 目前,最常见的诱导型类风湿关节炎模型包括佐剂诱导关节炎(Adjuvant arthritis,AA)、胶原诱导的关节炎(Collagen-induced Arthritis, CIA)、胶原抗体诱导的关节炎(Collagen antibody-induced Arthritis, CAIA)以及其他的药物
技术资料暂无技术资料 索取技术资料









![Antithrombin III antibody [8D5]](https://img1.dxycdn.com/2022/0328/401/7819214220308500453-14.jpg!wh200)

