相关产品推荐更多 >
万千商家帮你免费找货
0 人在求购买到急需产品
- 详细信息
- 文献和实验
- 技术资料
- 免疫原:
Synthesized peptide derived from human Inhibin beta-E at 301-350 aa, C-terminal.
- 亚型:
IgG
- 形态:
Liquid
- 保存条件:
Store as concentrated solution. Centrifuge briefly prior to opening vial. For short-term storage (1-2 weeks), store at 4ºC. For long-term storage, aliquot and store at -20ºC or below. Avoid multiple freeze-thaw cycles.
- 克隆性:
Polyclonal
- 标记物:
Unconjugated
- 适应物种:
Human, Mouse
- 保质期:
12 months from the shipping date of the product.
- 抗原来源:
Human
- 目录编号:
GTX34017
- 级别:
Primary Antibodies
- 库存:
Available
- 供应商:
GeneTex
- 宿主:
Rabbit
- 应用范围:
WB, IHC-P
- 浓度:
1 mg/ml (Please refer to the vial label for the specific concentration.)
- 靶点:
Inhibin beta E chain
- 抗体英文名:
Inhibin beta E chain antibody
- 抗体名:
Inhibin beta E chain 抗体
- 规格:
100 μl
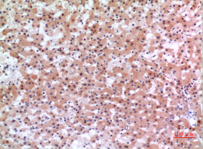
IHC-P analysis of human liver tissue using GTX34017 Inhibin beta E chain antibody.
Dilution : 1:100
IHC-P analysis of mouse muscle tissue using GTX34017 Inhibin beta E chain antibody.
Dilution : 1:100
WB analysis of L929 cell lysate using GTX34017 Inhibin beta E chain antibody.
IHC-P analysis of mouse muscle tissue using GTX34017 Inhibin beta E chain antibody.
Dilution : 1:100
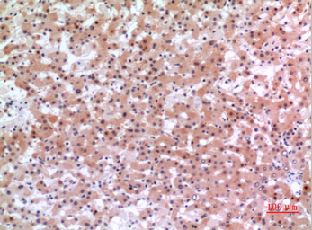
IHC-P analysis of human liver tissue using GTX34017 Inhibin beta E chain antibody.
Dilution : 1:100
风险提示:丁香通仅作为第三方平台,为商家信息发布提供平台空间。用户咨询产品时请注意保护个人信息及财产安全,合理判断,谨慎选购商品,商家和用户对交易行为负责。对于医疗器械类产品,请先查证核实企业经营资质和医疗器械产品注册证情况。
文献和实验Expression and Isolation of Recombinant Antibody Fragments in E. coli
antibodies (MAbs), functional derivatives (antibody fragments) carrying antigen (Ag)-binding activities, and comprising at minimum the antibody variable heavy- and light-chain domains, can be readily produced in bacterial cells (1 ). The range of antibody
Production of Stabilized scFv Antibody Fragments in the E. coli Bacterial Cytoplasm
. The single-chain variable fragment (scFv) antibody is a minimal form of functional antibody comprised of the variable domains of immunoglobulin light and heavy chains connected by a flexible linker. In most cases, scFvs are expressed in the bacterium E. coli
Cloning Single-Chain Antibody Fragments (ScFv) from Hyrbidoma Cells
several limitations of using hybridoma-derived antibodies. The source of the hybridoma clones are mostly rat or mouse B-lymphocytes. Therefore a human-anti-mouse or human-anti-rat antibody response may result in immunogenicity of these antibodies. This leads
技术资料暂无技术资料 索取技术资料





![LIME antibody [LIME-06] (PE)](https://img1.dxycdn.com/2022/0328/689/0432459044995500453-14.jpg!wh200)


![SERCA2 ATPase antibody [HL2352]](https://img1.dxycdn.com/2023/0605/107/8866011050471755661-14.jpg!wh200)
![Caspase 9 antibody [LAP6 96-2-22]](https://img1.dxycdn.com/2022/0328/556/1324854581550400453-14.jpg!wh200)

