相关产品推荐更多 >
万千商家帮你免费找货
0 人在求购买到急需产品
- 详细信息
- 技术资料
- 免疫原:
Recombinant protein encompassing a sequence within the center region of human MAB21L1. The exact sequence is proprietary.
- 亚型:
IgG
- 形态:
Liquid
- 保存条件:
Store as concentrated solution. Centrifuge briefly prior to opening vial. For short-term storage (1-2 weeks), store at 4ºC. For long-term storage, aliquot and store at -20ºC or below. Avoid multiple freeze-thaw cycles.
- 克隆性:
Polyclonal
- 标记物:
Unconjugated
- 适应物种:
Human, Mouse, Zebrafish
- 保质期:
12 months from the shipping date of the product.
- 抗原来源:
Human
- 目录编号:
GTX119053
- 级别:
Primary Antibodies
- 库存:
Available
- 供应商:
GeneTex
- 宿主:
Rabbit
- 应用范围:
WB, IHC-P, IHC-Wm
- 浓度:
0.89 mg/ml (Please refer to the vial label for the specific concentration.)
- 靶点:
MAB21L1
- 抗体英文名:
MAB21L1 antibody
- 抗体名:
MAB21L1 抗体
- 规格:
100 μl/25 μl
| 规格: | 100 μl | 产品价格: | ¥4000.0 |
|---|---|---|---|
| 规格: | 25 μl | 产品价格: | ¥1700.0 |
Immunohistochemical analysis (whole mount) of zebrafish embryo, using MAB21L1 antibody (GTX119053) at 1:200 dilution.
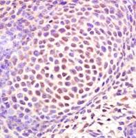
Immunohistochemical analysis of paraffin-embedded zebrafish tissue, using MAB21L1 antibody (GTX119053) at 1:300 dilution.
Sample (30 μg of whole cell lysate)
A: adult zebrafish
B: zebrafish eye
10% SDS PAGE
GTX119053 diluted at 1:1000
Sample (30 ug of whole cell lysate)
A: NIH-3T3
10% SDS PAGE
GTX119053 diluted at 1:1000
Sample (30 ug of whole cell lysate)
A: NT2D1
10% SDS PAGE
GTX119053 diluted at 1:1000
风险提示:丁香通仅作为第三方平台,为商家信息发布提供平台空间。用户咨询产品时请注意保护个人信息及财产安全,合理判断,谨慎选购商品,商家和用户对交易行为负责。对于医疗器械类产品,请先查证核实企业经营资质和医疗器械产品注册证情况。
技术资料暂无技术资料 索取技术资料






![Nucleophosmin antibody [NA24]](https://img1.dxycdn.com/2022/0328/101/6665205818992700453-14.jpg!wh200)



