相关产品推荐更多 >
万千商家帮你免费找货
0 人在求购买到急需产品
- 详细信息
- 技术资料
- 免疫原:
The antiserum was produced against a chemically synthesized phosphopeptide derived from a region of human c-Kit that contains tyrosine 730. The sequence is conserved in mouse, rat and cow.
- 亚型:
IgG
- 形态:
Liquid
- 保存条件:
Store as concentrated solution. Centrifuge briefly prior to opening vial. For short-term storage (1-2 weeks), store at 4ºC. For long-term storage, aliquot and store at -20ºC or below. Avoid multiple freeze-thaw cycles.
- 克隆性:
Polyclonal
- 标记物:
Unconjugated
- 适应物种:
Human, Mouse, Rat, Bovine, Dog, Chicken
- 保质期:
12 months from the shipping date of the product.
- 抗原来源:
Human
- 目录编号:
GTX25633
- 级别:
Primary Antibodies
- 库存:
Available
- 供应商:
GeneTex
- 宿主:
Rabbit
- 应用范围:
WB, IHC-P
- 浓度:
Batch dependent (Please refer to the vial label for the specific concentration.)
- 靶点:
c-Kit (phospho Tyr730)
- 抗体英文名:
c-Kit (phospho Tyr730) antibody
- 抗体名:
c-Kit (phospho Tyr730) 抗体
- 规格:
50 μl
WB analysis of M07e cells left untreated (Lane 1) or treated (Lane 2-5) with SCF using GTX25633 c-Kit (phospho Tyr730) antibody.
WB analysis of 30 μg of A431 (Lane 1) treated for 10 minutes with 200 ng/ml of EGF (Lane 2), Rat Lung (Lane 3), HeLa (Lane 4), A549 (Lane 5) and serum starved A549 (Lane 6) lysate using GTX25633 c-Kit (phospho Tyr730) antibody.
Dilution : 1:1000
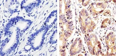
IHC-P analysis of human gastric carcinoma tissue using GTX25633 c-Kit (phospho Tyr730) antibody.
Right : Primary antibody
Left : Negative control without primary antibody
Antigen retrieval : 10 mM sodium citrate (pH 6.0), microwaved for 8-15 min
Dilution : 1:20
风险提示:丁香通仅作为第三方平台,为商家信息发布提供平台空间。用户咨询产品时请注意保护个人信息及财产安全,合理判断,谨慎选购商品,商家和用户对交易行为负责。对于医疗器械类产品,请先查证核实企业经营资质和医疗器械产品注册证情况。
技术资料暂无技术资料 索取技术资料






![CD40 antibody [5C3] (FITC)](https://img1.dxycdn.com/2022/0328/748/8817598472446700453-14.jpg!wh200)
![alpha Synuclein antibody [AT1E10]](https://img1.dxycdn.com/2022/0328/832/0517083862270800453-14.jpg!wh200)


