相关产品推荐更多 >
万千商家帮你免费找货
0 人在求购买到急需产品
- 详细信息
- 文献和实验
- 技术资料
- 免疫原:
Recombinant fusion protein containing a sequence corresponding to amino acids 22-113 of human ACVR1C (NP_660302.2).
- 亚型:
IgG
- 形态:
Liquid
- 保存条件:
Store as concentrated solution. Centrifuge briefly prior to opening vial. For short-term storage (1-2 weeks), store at 4ºC. For long-term storage, aliquot and store at -20ºC or below. Avoid multiple freeze-thaw cycles.
- 克隆性:
Polyclonal
- 标记物:
Unconjugated
- 适应物种:
Human, Mouse, Rat
- 保质期:
12 months from the shipping date of the product.
- 抗原来源:
Human
- 目录编号:
GTX64969
- 级别:
Primary Antibodies
- 库存:
Available
- 供应商:
GeneTex
- 宿主:
Rabbit
- 应用范围:
WB, IHC-P
- 浓度:
Batch dependent (Please refer to the vial label for the specific concentration.)
- 靶点:
Activin Receptor Type IC
- 抗体英文名:
Activin Receptor Type IC antibody
- 抗体名:
Activin Receptor Type IC 抗体
- 规格:
100 μl
WB analysis of SH-SY5Y cell lysate using GTX64969 Activin Receptor Type IC antibody.
Dilution : 1:1000
Loading : 25μg per lane
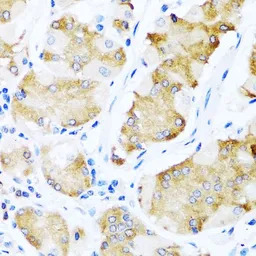
IHC-P analysis of human stomach tissue using GTX64969 Activin Receptor Type IC antibody.
Dilution : 1:100
IHC-P analysis of rat brain tissue using GTX64969 Activin Receptor Type IC antibody.
Dilution : 1:100
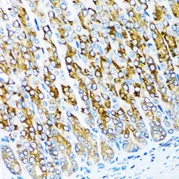
IHC-P analysis of mouse stomach tissue using GTX64969 Activin Receptor Type IC antibody.
Dilution : 1:100
风险提示:丁香通仅作为第三方平台,为商家信息发布提供平台空间。用户咨询产品时请注意保护个人信息及财产安全,合理判断,谨慎选购商品,商家和用户对交易行为负责。对于医疗器械类产品,请先查证核实企业经营资质和医疗器械产品注册证情况。
文献和实验The Detection of Antibodies to the Angiotensin II-Type 1 Receptor in Transplantation
The detection of auto-antibodies detection is a major aspect of patient’s immunomonitoring. Antibodies directed against the heart and kidney Angiotensin II type 1 receptor (AT1 R) play a major role in antibody mediated rejection after heart
Mammalian adaptation to stressful stimuli requires activation of the type 1 corticotropin releasing hormone (CRH) receptor (CRH-R1), a 415 aminoacid protein that belongs to the large superfamily of 7 transmembrane domain receptors that relay
Analyzing AntibodyFc-Receptor Interactions
Cellular receptors for immunoglobulins (Fc-receptors; FcR) are central mediators of antibody-triggered effector functions. Immune complex (IC) binding to FcRs results in a variety of reactions such as the release of inflammatory mediators
技术资料暂无技术资料 索取技术资料





![Opsin 5 antibody [N2C1], Internal](https://img1.dxycdn.com/2022/0328/652/1446388618523200453-14.jpg!wh200)

![SERPINA12 antibody [1C4]](https://img1.dxycdn.com/2022/0328/973/3468706289120500453-14.jpg!wh200)



