相关产品推荐更多 >
万千商家帮你免费找货
0 人在求购买到急需产品
- 详细信息
- 文献和实验
- 技术资料
- 免疫原:
The immunogen used to generate this antibody corresponds to chicken Sodium/Potassium ATPase alpha 1.
- 亚型:
IgG
- 形态:
Liquid
- 保存条件:
Store as concentrated solution. Centrifuge briefly prior to opening vial. For short-term storage (1-2 weeks), store at 4ºC. For long-term storage, aliquot and store at -20ºC or below. Avoid multiple freeze-thaw cycles.
- 克隆性:
Monoclonal
- 标记物:
Unconjugated
- 适应物种:
Human, Mouse, Rat, Drosophila
- 保质期:
12 months from the shipping date of the product.
- 抗原来源:
Chicken
- 目录编号:
GTX635461
- 级别:
Primary Antibodies
- 库存:
Available
- 供应商:
GeneTex
- 宿主:
Rabbit
- 应用范围:
WB, ICC/IF, IHC-P
- 浓度:
1 mg/ml (Please refer to the vial label for the specific concentration.)
- 靶点:
Sodium/Potassium ATPase alpha 1
- 抗体英文名:
Sodium/Potassium ATPase alpha 1 antibody [HL114]
- 抗体名:
Sodium/Potassium ATPase alpha 1 抗体 [HL114]
- 规格:
100 μl/25 μl
| 规格: | 100 μl | 产品价格: | ¥4000.0 |
|---|---|---|---|
| 规格: | 25 μl | 产品价格: | ¥1700.0 |
A431 whole cell and membrane extracts (30 μg) were separated by 7.5% SDS-PAGE, and the membranes were blotted with Sodium/Potassium ATPase alpha 1 antibody [HL114] (GTX635461) diluted at 1:500 and competitor's antibody diluted at 1:500. The HRP-conjugated anti-rabbit IgG antibody (GTX213110-01) was used to detect the primary antibody.
*The competitor is not affiliated with GeneTex and does not endorse this product.
A431 whole cell and membrane extracts (30 μg) were separated by 7.5% SDS-PAGE, and the membrane was blotted with Sodium/Potassium ATPase alpha 1 antibody [HL114] (GTX635461) diluted at 1:500. The HRP-conjugated anti-rabbit IgG antibody (GTX213110-01) was used to detect the primary antibody.
Sodium/Potassium ATPase alpha 1 antibody [HL114] detects Sodium/Potassium ATPase alpha 1 protein by immunohistochemical analysis.
Sample: Paraffin-embedded mouse tissues.
Sodium/Potassium ATPase alpha 1 stained by Sodium/Potassium ATPase alpha 1 antibody [HL114] (GTX635461) diluted at 1:100.
Antigen Retrieval: Citrate buffer, pH 6.0, 15 min
Drosophila tissue extract (5 μg) was separated by 7.5% SDS-PAGE, and the membrane was blotted with Sodium/Potassium ATPase alpha 1 antibody [HL114] (GTX635461) diluted at 1:30000. The HRP-conjugated anti-rabbit IgG antibody (GTX213110-01) was used to detect the primary antibody.
Sodium/Potassium ATPase alpha 1 antibody [HL114] detects Sodium/Potassium ATPase alpha 1 protein at cell membrane by immunofluorescent analysis.
Sample: A431 cells were fixed in ice-cold MeOH for 5 min.
Green: Sodium/Potassium ATPase alpha 1 stained by Sodium/Potassium ATPase alpha 1 antibody [HL114] (GTX635461) diluted at 1:500.
Blue: Fluoroshield with DAPI (GTX30920).
Various tissue extracts (50 μg) were separated by 7.5% SDS-PAGE, and the membrane was blotted with Sodium/Potassium ATPase alpha 1 antibody [HL114] (GTX635461) diluted at 1:50000. The HRP-conjugated anti-rabbit IgG antibody (GTX213110-01) was used to detect the primary antibody.
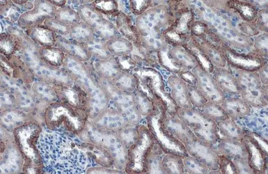
Sodium/Potassium ATPase alpha 1 antibody [HL114] detects Sodium/Potassium ATPase alpha 1 protein at cell membrane by immunohistochemical analysis.
Sample: Paraffin-embedded mouse kidney.
Sodium/Potassium ATPase alpha 1 stained by Sodium/Potassium ATPase alpha 1 antibody [HL114] (GTX635461) diluted at 1:200.
Antigen Retrieval: Citrate buffer, pH 6.0, 15 min
风险提示:丁香通仅作为第三方平台,为商家信息发布提供平台空间。用户咨询产品时请注意保护个人信息及财产安全,合理判断,谨慎选购商品,商家和用户对交易行为负责。对于医疗器械类产品,请先查证核实企业经营资质和医疗器械产品注册证情况。
文献和实验Yi-Ing Chen et al., Nat Commun 2022 (PMID:35618735)
In situ hybridisation to alpha satellite sequences (chromosome specific)
; 100% ethanol 2 x 5 minutes, 90% Ethanol 5 minutes, 75% ethanol 5 minutes, H2 O 2 x 5 minutes and allow to dry. Store dry, dust-free. Typical Protocol (1) Immerse the slides in 1M sodium thiocyanate at 80C for 10 minutes. Rinse in H2 O and allow
and sodium pyruvate (1 mM) and hepatoma (HuH7) cells were cultured in DMEM + GlutaMAX. Both media contained 10% FBS. All cell culture reagents were purchased from Invitrogen (GIBCO®). Roferon (Interferon alpha2a, ROCHE) was diluted in fresh medium to a final
Replication timing by density transfer
, leu2-3,112, ura3-52, his6 in an A364A background. I aim for about 32 x 106 cells per time point. That gives enough DNA for at least 3 blots, leaving enough leeway for errors. 2. When the cell density is 2 x 106 cells/ml (OD660 ~ 0.16
技术资料暂无技术资料 索取技术资料





![Elafin antibody [1A9]](https://img1.dxycdn.com/2022/0328/866/6594383574589400453-14.jpg!wh200)

![Prostatic Acid Phosphatase antibody [MSVA-452M] HistoMAX](https://custom.dxycdn.com/trademd/upload/pic/2013/11/12/A1383891150.jpg!small.t.1)
![NUF2 antibody [GT312]](https://img1.dxycdn.com/2022/0329/231/4718621853316020453-14.jpg!wh200)
![PPM1A antibody [p6c7]](https://img1.dxycdn.com/2022/0328/772/9789161186410500453-14.jpg!wh200)

