相关产品推荐更多 >
万千商家帮你免费找货
0 人在求购买到急需产品
- 详细信息
- 文献和实验
- 技术资料
- 免疫原:
Recombinant protein encompassing a sequence within the center region of human Homeobox C10. The exact sequence is proprietary.
- 亚型:
IgG
- 形态:
Liquid
- 保存条件:
Store as concentrated solution. Centrifuge briefly prior to opening vial. For short-term storage (1-2 weeks), store at 4ºC. For long-term storage, aliquot and store at -20ºC or below. Avoid multiple freeze-thaw cycles.
- 克隆性:
Polyclonal
- 标记物:
Unconjugated
- 适应物种:
Human, Mouse, Rat
- 保质期:
12 months from the shipping date of the product.
- 抗原来源:
Human
- 目录编号:
GTX118025
- 级别:
Primary Antibodies
- 库存:
Available
- 供应商:
GeneTex
- 宿主:
Rabbit
- 应用范围:
WB, ICC/IF, IHC-P
- 浓度:
0.57 mg/ml (Please refer to the vial label for the specific concentration.)
- 靶点:
Homeobox C10
- 抗体英文名:
Homeobox C10 antibody
- 抗体名:
Homeobox C10 抗体
- 规格:
100 μl/25 μl
| 规格: | 100 μl | 产品价格: | ¥4000.0 |
|---|---|---|---|
| 规格: | 25 μl | 产品价格: | ¥1700.0 |
Immunohistochemical analysis of paraffin-embedded Hela xenograft, using Homeobox C10(GTX118025) antibody at 1:500 dilution.
Antigen Retrieval: Trilogy™ (EDTA based, pH 8.0) buffer, 15min
Confocal immunofluorescence analysis (Olympus FV10i) of PFA-fixed HeLa, using Homeobox C10(GTX118025) antibody (Green) at 1:500 dilution. Alpha-tubulin filaments were labeled with GTX11304 (Red) at 1:2000.
Various whole cell extracts (30 μg) were separated by 10% SDS-PAGE, and the membrane was blotted with Homeobox C10 antibody (GTX118025) diluted at 1:1000. The HRP-conjugated anti-rabbit IgG antibody (GTX213110-01) was used to detect the primary antibody.
Homeobox C10 antibody detects Homeobox C10 protein at nucleus by immunofluorescent analysis.
Sample: HeLa cells were fixed in 4% PFA at RT for 15 min.
Green: Homeobox C10 stained by Homeobox C10 antibody (GTX118025) diluted at 1:500.
Red: phalloidin, a cytoskeleton marker, diluted at 1:100.
Scale bar= 10 μm.
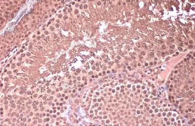
Homeobox C10 antibody detects Homeobox C10 protein at nucleus by immunohistochemical analysis.
Sample: Paraffin-embedded rat testis.
Homeobox C10 stained by Homeobox C10 antibody (GTX118025) diluted at 1:500.
Antigen Retrieval: Citrate buffer, pH 6.0, 15 min
Homeobox C10 antibody detects Homeobox C10 protein at nucleus by immunohistochemical analysis.
Sample: Paraffin-embedded mouse kidney.
Homeobox C10 stained by Homeobox C10 antibody (GTX118025) diluted at 1:500.
Antigen Retrieval: Citrate buffer, pH 6.0, 15 min
Homeobox C10 antibody detects Homeobox C10 protein by western blot analysis.
A.50 μg mouse muscle lysate/extract
10% SDS-PAGE
Homeobox C10 antibody (GTX118025) dilution: 1:1000
The HRP-conjugated anti-rabbit IgG antibody (GTX213110-01) was used to detect the primary antibody.
风险提示:丁香通仅作为第三方平台,为商家信息发布提供平台空间。用户咨询产品时请注意保护个人信息及财产安全,合理判断,谨慎选购商品,商家和用户对交易行为负责。对于医疗器械类产品,请先查证核实企业经营资质和医疗器械产品注册证情况。
文献和实验antibody and progression in tumor therapy【abstract】EGFR is encoded by the c-erb-B1 proto-oncngene. it is reported that the over-expressed and mutant EGFR have good relationship with tumor.Now it has become a new field in tumor therapy.This text
heterochromatin|异染色体 heterochromatinization|异染色质化 heterochromosome|异染色体 heterocyst|异形(囊)胞 heterocytotropic antibody|嗜异种细胞抗体 heterodimer|异(源)二聚体,异源双体 heteroduplex|异源双链(体) heteroecism
质质从内质网沿着高尔基体向质膜转运。 Antibody (抗体):由B 淋巴细胞产生的蛋白质(免疫球蛋白质),它能识别特殊的外源“抗原”,从而引起免疫应答。 Anticoding strand (反编码链):DNA 双链中作为膜板指导与之互补的RNA 合成的链。 Antigen (抗原):进入基体后能引起抗体(免疫球蛋白质)合成的分子。 Antiparallel (反式平行):DNA双螺旋以相反的方向组织,因此一条链的5‘端与另一条链的3‘端相连。
技术资料暂无技术资料 索取技术资料







![Annexin VI antibody [C2C3], C-term](https://img1.dxycdn.com/2022/0328/759/7482269705414200453-14.jpg!wh200)



