相关产品推荐更多 >
万千商家帮你免费找货
0 人在求购买到急需产品
- 详细信息
- 文献和实验
- 技术资料
- 免疫原:
KLH conjugated synthetic peptide between 346-372 amino acids from the C-terminal region of human SELL.
- 亚型:
IgG
- 形态:
Liquid
- 保存条件:
Store as concentrated solution. Centrifuge briefly prior to opening vial. For short-term storage (1-2 weeks), store at 4ºC. For long-term storage, aliquot and store at -20ºC or below. Avoid multiple freeze-thaw cycles.
- 克隆性:
Polyclonal
- 标记物:
Unconjugated
- 适应物种:
Human
- 保质期:
12 months from the shipping date of the product.
- 抗原来源:
Human
- 目录编号:
GTX81602
- 级别:
Primary Antibodies
- 库存:
Available
- 供应商:
GeneTex
- 宿主:
Rabbit
- 应用范围:
WB, IHC-P, FACS
- 浓度:
Batch dependent (Please refer to the vial label for the specific concentration.)
- 靶点:
CD62L
- 抗体英文名:
CD62L antibody, C-term
- 抗体名:
CD62L 抗体, C-term
- 规格:
200 μl
WB analysis of various samples using GTX81602 CD62L antibody, C-term.
Lane 1: Raji whole cell lysate
Lane 2: Jurkat whole cell lysate
Lane 3: K562 whole cell lysate
Lane 4: MCF-7 whole cell lysate
Lane 5: HL-60 whole cell lysate
Loading : 20 μg per lane
Dilution : 1:2000
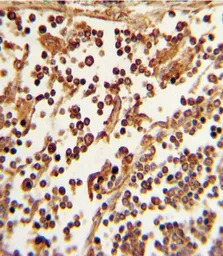
IHC-P analysis of human lymph tissue using GTX81602 CD62L antibody, C-term.
FACS analysis of Jurkat cells using GTX81602 CD62L antibody, C-term.
Green : CD62L
Blue : Isotype control
Fixation : 2% PFA (PFA) (10 min)
Dilution : 1:25
风险提示:丁香通仅作为第三方平台,为商家信息发布提供平台空间。用户咨询产品时请注意保护个人信息及财产安全,合理判断,谨慎选购商品,商家和用户对交易行为负责。对于医疗器械类产品,请先查证核实企业经营资质和医疗器械产品注册证情况。
文献和实验于研究。 性能参数 LIST OF ANTBODY PRODUCTS AP8401a BDP1 N-term Antibody AP8408b MEG2 C-term Antibody AP8451b PPP3CA C-term Antibody AP8449b CTDSP1 C-term Antibody AP8408a MEG2 N-term Antibody AP8451a PPP3CA N-term Antibody AP8449
【资源】全面归类网址:毕赤酵母表达各种来源蛋白(细菌,真菌,植物,人类等)
europaea (olive tree) aeroallergen Ole e 1S, 60 mg/L, α-MF[115, 334, 391]Olea europaea 1,3-β-glucanase Ole e 9 C-term.seg.S, 100 mg/L, α-MF, active486Oleaceae sp. (lilac and privet) pollen allergensS, 30 mg/L, reactive481Pepper endo-b-1,4-glucanase cCel1S
大小一致,具有特定的荧光强度,包被有适用于特定分析(如其它抗体或者可溶性蛋白)的特异性捕获抗体(Capture Antibody),提供了类似ELISA孔板的捕获表面。当微球和待测样品溶液混合后,微球上的特异性抗体就与样品(血清、血浆或者细胞培养液)中相应的抗原或蛋白结合,然后加入荧光标记的检测抗体,就会形成“三明治”夹心复合物。最后通过流式细胞仪对特异性目的蛋白进行检测。CBA的每种微球携带有不同强度的红色荧光,在流式细胞仪的FL3通道通过检测微球荧光强度的差异对目的蛋白定性;检测抗体带有PE
技术资料暂无技术资料 索取技术资料





![SETDB1 antibody [5H6D4]](https://img1.dxycdn.com/2022/0328/961/0691515665426500453-14.jpg!wh200)




