相关产品推荐更多 >
万千商家帮你免费找货
0 人在求购买到急需产品
- 详细信息
- 文献和实验
- 技术资料
- 免疫原:
Recombinant protein encompassing a sequence within the center region of human HP1 gamma. The exact sequence is proprietary.
- 亚型:
IgG
- 形态:
Liquid
- 保存条件:
Store as concentrated solution. Centrifuge briefly prior to opening vial. For short-term storage (1-2 weeks), store at 4ºC. For long-term storage, aliquot and store at -20ºC or below. Avoid multiple freeze-thaw cycles.
- 克隆性:
Polyclonal
- 标记物:
Unconjugated
- 适应物种:
Human, Mouse
- 保质期:
12 months from the shipping date of the product.
- 抗原来源:
Human
- 目录编号:
GTX117561
- 级别:
Primary Antibodies
- 库存:
Available
- 供应商:
GeneTex
- 宿主:
Rabbit
- 应用范围:
WB, ICC/IF, IHC-P, IP
- 浓度:
1 mg/ml (Please refer to the vial label for the specific concentration.)
- 靶点:
HP1 gamma
- 抗体英文名:
HP1 gamma antibody
- 抗体名:
HP1 gamma 抗体
- 规格:
100 μl/25 μl
| 规格: | 100 μl | 产品价格: | ¥4000.0 |
|---|---|---|---|
| 规格: | 25 μl | 产品价格: | ¥1700.0 |
Wild-type (WT) and HP1 gamma knockout (KO) HeLa cell extracts (30 μg) were separated by 15% SDS-PAGE, and the membrane was blotted with HP1 gamma antibody (GTX117561) diluted at 1:20000. The HRP-conjugated anti-rabbit IgG antibody (GTX213110-01) was used to detect the primary antibody.
HP1 gamma antibody immunoprecipitates HP1 gamma protein in IP experiments.
IP Sample: HeLa whole cell lysate/extract
A. 40 μg HeLa whole cell lysate/extract
B. Control with 2 μg of preimmune rabbit IgG
C. Immunoprecipitation of HP1 gamma protein by 2 μg of HP1 gamma antibody (GTX117561)
15% SDS-PAGE
The immunoprecipitated HP1 gamma protein was detected by HP1 gamma antibody (GTX117561) diluted at 1:1000.
EasyBlot anti-rabbit IgG (GTX221666-01) was used as a secondary reagent.
HP1 gamma antibody detects HP1 gamma protein at nucleus in mouse duodenum by immunohistochemical analysis.
Sample: Paraffin-embedded mouse duodenum.
HP1 gamma antibody (GTX117561) diluted at 1:500.
Antigen Retrieval: Citrate buffer, pH 6.0, 15 min
Sample (30 ug of whole cell lysate)
A: HepG2
12% SDS PAGE
GTX117561 diluted at 1:10000
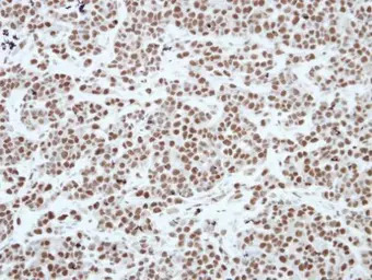
Immunohistochemical analysis of paraffin-embedded TOV-21G xenograft, using HP1 gamma(GTX117561) antibody at 1:250 dilution.
Antigen Retrieval: Citrate buffer, pH 6.0, 15 min
Confocal immunofluorescence analysis (Olympus FV10i) of PFA-fixed HeLa, using HP1 gamma(GTX117561) antibody (Green) at 1:500 dilution. Alpha-tubulin filaments were labeled with GTX11304 (Red) at 1:2000.
HP1 gamma antibody detects HP1 gamma protein at nucleus in mouse brain by immunohistochemical analysis.
Sample: Paraffin-embedded mouse brain.
HP1 gamma antibody (GTX117561) diluted at 1:500.
Antigen Retrieval: Citrate buffer, pH 6.0, 15 min
风险提示:丁香通仅作为第三方平台,为商家信息发布提供平台空间。用户咨询产品时请注意保护个人信息及财产安全,合理判断,谨慎选购商品,商家和用户对交易行为负责。对于医疗器械类产品,请先查证核实企业经营资质和医疗器械产品注册证情况。
文献和实验Li Y et al., Nucleic Acids Res 2018 (PMID:29982688)
secondary antibody review -- data from 99 publications
cytometry used as a control to detect cell responses targeted antigen 7 Alexa Fluor 488 7 Cy3 8 goat IgG Alexa Fluor 488 1:2000 detect antibody binding in human embryonic kidney 293T cells Invitrogen 9 donkey
Coating of Platelets with Antibody in vitro
OUTLINE Antibody-coated platelets (opsnized) may be used in the subsequent thrombophagocytosis assay. PROTOCOL Resuspend 1.6x10^8 of CMFDA-labeled platelets in 200µl of BSGC-BSA (v/w 1%) either with a control Ab
or HP1s associated with 5' biotin labeled siRNA EF52. Schematic methodology is shown for detection from cell lysates of biotin labeled siRNAs in complex with flag-tagged DNMTs or HP1s (alpha, beta, or gamma). B) Triple immunoprecipitation assay
技术资料暂无技术资料 索取技术资料










