相关产品推荐更多 >
万千商家帮你免费找货
0 人在求购买到急需产品
- 详细信息
- 文献和实验
- 技术资料
- 免疫原:
PD-L2 antibody was raised against a 16 amino acid synthetic peptide from near the center of human PD-L2.The immunogen is located within amino acids 140 - 190 of PD-L2.
- 亚型:
IgG
- 形态:
Liquid
- 保存条件:
Store as concentrated solution. Centrifuge briefly prior to opening vial. For short-term storage (1-2 weeks), store at 4ºC. For long-term storage, aliquot and store at -20ºC or below. Avoid multiple freeze-thaw cycles.
- 克隆性:
Polyclonal
- 标记物:
Unconjugated
- 适应物种:
Human, Mouse, Rat
- 保质期:
12 months from the shipping date of the product.
- 抗原来源:
Human
- 目录编号:
GTX85449
- 级别:
Primary Antibodies
- 库存:
Available
- 供应商:
GeneTex
- 宿主:
Rabbit
- 应用范围:
WB, IHC-P, ELISA
- 浓度:
1 mg/ml (Please refer to the vial label for the specific concentration.)
- 靶点:
PD-L2
- 抗体英文名:
PD-L2 antibody
- 抗体名:
PD-L2 抗体
- 规格:
100 μg
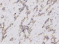
IHC-P analysis of mouse brain tissue using GTX85449 PD-L2 antibody.
Working concentration : 20 μg/ml
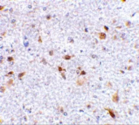
IHC-P analysis of mouse brain tissue using GTX85449 PD-L2 antibody.
Working concentration : 2.5 μg/ml
IHC-P analysis of mouse brain tissue using GTX85449 PD-L2 antibody.
Working concentration : 2.5 μg/ml
WB analysis of Raji cell lysate using GTX85449 PD-L2 antibody.
Working concentration : 0.5 and 1 μg/ml
风险提示:丁香通仅作为第三方平台,为商家信息发布提供平台空间。用户咨询产品时请注意保护个人信息及财产安全,合理判断,谨慎选购商品,商家和用户对交易行为负责。对于医疗器械类产品,请先查证核实企业经营资质和医疗器械产品注册证情况。
文献和实验Huang N et al., Int J Immunopathol Pharmacol 2021 (PMID:34930041)
2015 年 12 月,美国前总统吉米 · 卡特在接受了靶向放疗和免疫抗癌新药 Keytruda(PD-1 抑制剂,MSD)治疗后,医生发现,在他的脑部磁共振扫描图像中,此前出现的黑色素瘤(Melanoma)与新生的癌细胞都彻底消失了。这种治疗效果引起了业内的广泛关注,也彰显了 PD-1/PD-L1 免疫疗法在肿瘤治疗中的巨大潜力。PD-1/PD-L1 是什么?1992 年,日本京都大学 Tasuku Honjo 教授首次报道并克隆了 PD-1 基因[1]。1999 年,华人学者陈列平教授报道
宽度:562 px高度:343 px维持原图长宽比:确认自 2011 年第一个免疫检验点 CTLA4 抑制剂伊匹单抗(Ipilimumab)获批上市以来,肿瘤免疫疗法越来越受到重视。特别是近几年陆续获批 PD1/PD-L1 单抗药物在临床治疗中的不断突破,肿瘤免疫治疗已从 1.0 时代进入 2.0 时代。免疫疗法适应症也在不断拓展,从黑色素瘤逐渐延伸到非小细胞肺癌、膀胱癌、头颈癌霍奇金淋巴瘤等癌症的治疗。针对 PD1/PD-L1 免疫检验点的单抗药物无疑是肿瘤免疫治疗中当之无愧的明星,其中 O
「神药」再显威!杨黄浩等让二甲双胍扮演 PD-L1 「单抗」角色,提高治疗效果
ICBs 的抗肿瘤效果。 该研究成果以 Reducing PD-L1 expression with a self-assembled nanodrug: an alternative to PD-L1 antibody for enhanced chemo-immunotherapy. 为题,发表在了 2021 年 1 月 1 日的 Theranostics 上 [1]。 图片来源:Theranostics 研究内容:此前有研究报道,二甲双胍可以抑制肿瘤进展,改善癌症患者的预后和生存率。此外,也有研
技术资料暂无技术资料 索取技术资料






![CTLA4 antibody [BNI3] (PE)](https://img1.dxycdn.com/2022/0328/439/7416896498996700453-14.jpg!wh200)
![Osteocalcin antibody [OCG4]](https://img1.dxycdn.com/2022/0329/457/2189094245004020453-14.jpg!wh200)

![PRAK antibody [7H10B4]](https://img1.dxycdn.com/2022/0328/210/2147994965857500453-14.jpg!wh200)

