相关产品推荐更多 >
万千商家帮你免费找货
0 人在求购买到急需产品
- 详细信息
- 文献和实验
- 技术资料
- 免疫原:
Recombinant protein encompassing a sequence within the center region of human GPI. The exact sequence is proprietary.
- 亚型:
IgG
- 形态:
Liquid
- 保存条件:
Store as concentrated solution. Centrifuge briefly prior to opening vial. For short-term storage (1-2 weeks), store at 4ºC. For long-term storage, aliquot and store at -20ºC or below. Avoid multiple freeze-thaw cycles.
- 克隆性:
Polyclonal
- 标记物:
Unconjugated
- 适应物种:
Human, Zebrafish
- 保质期:
12 months from the shipping date of the product.
- 抗原来源:
Human
- 目录编号:
GTX113203
- 级别:
Primary Antibodies
- 库存:
Available
- 供应商:
GeneTex
- 宿主:
Rabbit
- 应用范围:
WB, ICC/IF, IHC-P, IHC-Fr
- 浓度:
1 mg/ml (Please refer to the vial label for the specific concentration.)
- 靶点:
GPI
- 抗体英文名:
GPI antibody
- 抗体名:
GPI 抗体
- 规格:
100 μl/25 μl
| 规格: | 100 μl | 产品价格: | ¥4000.0 |
|---|---|---|---|
| 规格: | 25 μl | 产品价格: | ¥1700.0 |
Wild-type (WT) and GPI knockout (KO) 293T cell extracts (30 μg) were separated by 7.5% SDS-PAGE, and the membrane was blotted with GPI antibody (GTX113203) diluted at 1:2000. The HRP-conjugated anti-rabbit IgG antibody (GTX213110-01) was used to detect the primary antibody, and the signal was developed with Trident ECL plus-Enhanced.
Sample (30 ug of whole cell lysate)
A: H1299
B: Raji
7.5% SDS PAGE
GTX113203 diluted at 1:10000
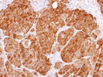
Immunohistochemical analysis of paraffin-embedded NCI-N87 xenograft, using GPI(GTX113203) antibody at 1:500 dilution.
Antigen Retrieval: Trilogy™ (EDTA based, pH 8.0) buffer, 15min
Sample (30 μg of whole cell lysate)
A: zebrafish eye
7.5% SDS PAGE
GTX113203 diluted at 1:1000
Immunohistochemical analysis of frozen sections of zebrafish retina, using GPI antibody (GTX113203) at 1:2000 dilution.
Immunohistochemical analysis of paraffin-embedded zebrafish tissue, using GPI antibody (GTX113203) at 1:300 dilution.
GPI antibody detects GPI protein at cytoplasm by immunofluorescent analysis.
Sample: HepG2 cells were fixed in ice-cold MeOH for 5 min.
Green: GPI protein stained by GPI antibody (GTX113203) diluted at 1:500.
Blue: Hoechst 33342 staining.
Various whole cell extracts (30 μg) were separated by 7.5% SDS-PAGE, and the membrane was blotted with GPI antibody (GTX113203) diluted at 1:2000. The HRP-conjugated anti-rabbit IgG antibody (GTX213110-01) was used to detect the primary antibody, and the signal was developed with Trident ECL plus-Enhanced.
风险提示:丁香通仅作为第三方平台,为商家信息发布提供平台空间。用户咨询产品时请注意保护个人信息及财产安全,合理判断,谨慎选购商品,商家和用户对交易行为负责。对于医疗器械类产品,请先查证核实企业经营资质和医疗器械产品注册证情况。
文献和实验Kavanagh Williamson M et al., Viruses 2018 (PMID:29518929)
Wu YH et al., PLoS One 2013 (PMID:23990911)
Ma M et al., Cell Commun Signal 2023 (PMID:36635672)
GPI蛋白 本文提供了有关糖基磷脂酰肌醇(GPI,是许多蛋白以及病毒蛋白结合于膜上的锚点)的信息。同时,网站还提供了许多相关链接和资源。 GPI overview GPI proteins in chickens GPI proteins in Drosophila GPI in prion proteins Human GPI proteins: protectin (CD59) and homologous restriction factor (HRF
of a complex phospolipid anchor to the carboxyl terminus of the protein. This glycosylphosphatidyl inositol (GPI) anchor consists of a hydrophobic phospholipid, phosphatidylinositol, which attaches the carboxyl end of the protein to the outer lipid layer
Harvesting GPI-Anchored Proteins From CHO Cells
Glycosyl-phosphatidylinositol (GPI)-anchored proteins bound to the outer surface of cell membranes (1 ,2 ) can be selectively released in a soluble form by the action of a highly specific bacterial enzyme, phosphatidylinositol-phospholipase
技术资料暂无技术资料 索取技术资料







![TNF Receptor I antibody [R111]](https://img1.dxycdn.com/2022/0328/330/3843458772877700453-14.jpg!wh200)
![STIM1 antibody [CDN3H4]](https://img1.dxycdn.com/2022/0328/112/9770551890606500453-14.jpg!wh200)


