相关产品推荐更多 >
万千商家帮你免费找货
0 人在求购买到急需产品
- 详细信息
- 文献和实验
- 技术资料
- 免疫原:
Full length human ANP Recombinant protein.
- 亚型:
IgG
- 形态:
Liquid
- 保存条件:
Store as concentrated solution. Centrifuge briefly prior to opening vial. For short-term storage (1-2 weeks), store at 4ºC. For long-term storage, aliquot and store at -20ºC or below. Avoid multiple freeze-thaw cycles.
- 克隆性:
Polyclonal
- 标记物:
Unconjugated
- 适应物种:
Human, Mouse, Rat
- 保质期:
12 months from the shipping date of the product.
- 抗原来源:
Human
- 目录编号:
GTX112698
- 级别:
Primary Antibodies
- 库存:
Available
- 供应商:
GeneTex
- 宿主:
Rabbit
- 应用范围:
WB, IHC-P
- 浓度:
1.47 mg/ml (Please refer to the vial label for the specific concentration.)
- 靶点:
ANP
- 抗体英文名:
ANP antibody [N1C3]
- 抗体名:
ANP 抗体 [N1C3]
- 规格:
100 μl/25 μl
| 规格: | 100 μl | 产品价格: | ¥4000.0 |
|---|---|---|---|
| 规格: | 25 μl | 产品价格: | ¥1700.0 |
ANP antibody [N1C3] detects secreted ANP protein by immunohistochemical analysis.
Sample: Paraffin-embedded rat heart.
ANP stained by ANP antibody [N1C3] (GTX112698) diluted at 1:500.
Antigen Retrieval: Citrate buffer, pH 6.0, 15 min
ANP antibody [N1C3] detects ANP protein at cytoplasm by immunohistochemical analysis.
Sample: Paraffin-embedded rat heart.
ANP stained by ANP antibody [N1C3] (GTX112698) diluted at 1:500.
Antigen Retrieval: Citrate buffer, pH 6.0, 15 min
ANP antibody [N1C3] detects ANP protein at cytoplasm by immunohistochemical analysis.
Sample: Paraffin-embedded mouse muscle.
ANP stained by ANP antibody [N1C3] (GTX112698) diluted at 1:500.
Antigen Retrieval: Citrate buffer, pH 6.0, 15 min
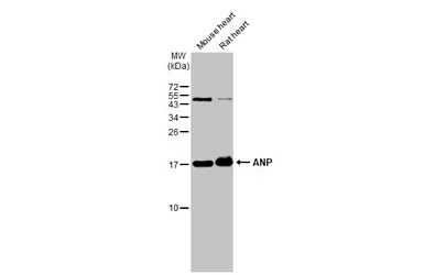
Various tissue extracts (50 μg) were separated by 15% SDS-PAGE, and the membrane was blotted with ANP antibody [N1C3] (GTX112698) diluted at 1:2000. The HRP-conjugated anti-rabbit IgG antibody (GTX213110-01) was used to detect the primary antibody.
ANP antibody [N1C3] detects ANP protein at cytoplasm in mouse muscle by immunohistochemical analysis.
Sample: Paraffin-embedded mouse muscle.
ANP antibody [N1C3] (GTX112698) diluted at 1:500.
Antigen Retrieval: Citrate buffer, pH 6.0, 15 min
Immunohistochemical analysis of paraffin-embedded human hepatoma, using ANP(GTX112698) antibody at 1:500 dilution.
Antigen Retrieval: Trilogy™ (EDTA based, pH 8.0) buffer, 15min
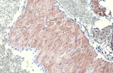
ANP antibody [N1C3] detects ANP protein at cytoplasm by immunohistochemical analysis.
Sample: Paraffin-embedded mouse heart.
ANP stained by ANP antibody [N1C3] (GTX112698) diluted at 1:500.
Antigen Retrieval: Citrate buffer, pH 6.0, 15 min
风险提示:丁香通仅作为第三方平台,为商家信息发布提供平台空间。用户咨询产品时请注意保护个人信息及财产安全,合理判断,谨慎选购商品,商家和用户对交易行为负责。对于医疗器械类产品,请先查证核实企业经营资质和医疗器械产品注册证情况。
文献和实验犬 心钠素(ANP) 酶联免疫 分析( ELISA ) 试剂 盒使用说明书 本试剂仅供研究使用 目的:本试剂盒用于测定犬血清,血浆,组织相关液体样本 心钠素(ANP) 含量。 实验原理 : 本试剂盒应用 双抗体 夹心法测定 标本 中 犬 心钠素(ANP) 水平。用纯化的 犬 心钠素(ANP) 抗体 包被微孔板,制成固相 抗 体,往包被 单抗 的微孔中加入 心钠素(ANP) ,再与HRP 标记的心钠素 (ANP
In the field of therapeutic recombinant proteins, monoclonal antibodies (mAbs) have achieved a rising success with more than 30 mAbs that have reached the market in the past 20 years. From a structural standpoint, one of the most important
上海西唐生物科技有限公司 021-55229872, 65333639 www.westang.com 狗心钠素 (ANP)ELISA 试剂盒 ( 用于血清、血浆、细胞培养上清液和其它生物体液内 ) 原理 本实验采用双抗体夹心 ABC-ELISA 法。用抗狗 ANP 单抗包被于酶标板上,标准品和样品中的 ANP 与单抗结合,加入生物素化的抗狗 ANP ,形成免疫复合物连接在板上,辣根
技术资料暂无技术资料 索取技术资料





![gamma Adaptin antibody [N1N3]](https://img1.dxycdn.com/2022/0328/362/7009177538030300453-14.jpg!wh200)

![PGP9.5 antibody [BH7]](https://img1.dxycdn.com/2022/0328/144/9725002480996500453-14.png!wh200)



