相关产品推荐更多 >
万千商家帮你免费找货
0 人在求购买到急需产品
- 详细信息
- 文献和实验
- 技术资料
- 免疫原:
Recombinant protein encompassing a sequence within the center region of human XIAP. The exact sequence is proprietary.
- 亚型:
IgG
- 形态:
Liquid
- 保存条件:
Store as concentrated solution. Centrifuge briefly prior to opening vial. For short-term storage (1-2 weeks), store at 4ºC. For long-term storage, aliquot and store at -20ºC or below. Avoid multiple freeze-thaw cycles.
- 克隆性:
Polyclonal
- 标记物:
Unconjugated
- 适应物种:
Human, Mouse
- 保质期:
12 months from the shipping date of the product.
- 抗原来源:
Human
- 目录编号:
GTX111202
- 级别:
Primary Antibodies
- 库存:
Available
- 供应商:
GeneTex
- 宿主:
Rabbit
- 应用范围:
WB, ICC/IF, IHC-P
- 浓度:
1 mg/ml (Please refer to the vial label for the specific concentration.)
- 靶点:
XIAP
- 抗体英文名:
XIAP antibody
- 抗体名:
XIAP 抗体
- 规格:
100 μl/25 μl
| 规格: | 100 μl | 产品价格: | ¥4000.0 |
|---|---|---|---|
| 规格: | 25 μl | 产品价格: | ¥1700.0 |
Wild-type (WT) and XIAP knockout (KO) HeLa cell extracts (30 μg) were separated by 7.5% SDS-PAGE, and the membrane was blotted with XIAP antibody (GTX111202) diluted at 1:1000. The HRP-conjugated anti-rabbit IgG antibody (GTX213110-01) was used to detect the primary antibody.
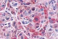
Immunohistochemical analysis of paraffin-embedded Hs578T xenograft, using XIAP(GTX111202) antibody at 1:500 dilution.
Antigen Retrieval: Trilogy™ (EDTA based, pH 8.0) buffer, 15min
Immunofluorescence analysis of methanol-fixed HeLa, using XIAP(GTX111202) antibody at 1:500 dilution.
Sample (50 ug of whole cell lysate)
A: Mouse brain
7.5% SDS PAGE
GTX111202 diluted at 1:1000
风险提示:丁香通仅作为第三方平台,为商家信息发布提供平台空间。用户咨询产品时请注意保护个人信息及财产安全,合理判断,谨慎选购商品,商家和用户对交易行为负责。对于医疗器械类产品,请先查证核实企业经营资质和医疗器械产品注册证情况。
文献和实验Lin YF et al., J Clin Invest 2013 (PMID:23979166)
Leu JS et al., Am J Respir Crit Care Med 2016 (PMID:27858493)
Chang YX et al., Cancers (Basel) 2020 (PMID:33371405)
Wagatsuma A et al., Mol Cell Biochem 2017 (PMID:29248972)
技术资料暂无技术资料 索取技术资料






![Fas antibody [4F8H6]](https://img1.dxycdn.com/2022/0328/977/5063123350023500453-14.jpg!wh200)

![ACE2 antibody [MSVA-919R] HistoMAX](https://custom.dxycdn.com/trademd/upload/pic/2013/11/12/A1383891150.jpg!small.t.1)
![MEK1 + MEK2 antibody [GT1721]](https://img1.dxycdn.com/2022/0329/553/6143792420195020453-14.jpg!wh200)
