相关产品推荐更多 >
万千商家帮你免费找货
0 人在求购买到急需产品
- 详细信息
- 文献和实验
- 技术资料
- 免疫原:
Full length recombinant human FSCN1 protein
- 亚型:
IgG2a
- 形态:
Liquid
- 保存条件:
Store as concentrated solution. Centrifuge briefly prior to opening vial. For short-term storage (1-2 weeks), store at 4ºC. For long-term storage, aliquot and store at -20ºC or below. Avoid multiple freeze-thaw cycles.
- 克隆性:
Monoclonal
- 标记物:
Unconjugated
- 适应物种:
Human
- 保质期:
12 months from the shipping date of the product.
- 抗原来源:
Human
- 目录编号:
GTX34719
- 级别:
Primary Antibodies
- 库存:
Available
- 供应商:
GeneTex
- 宿主:
Mouse
- 应用范围:
WB, ICC/IF, IHC-P, FACS
- 浓度:
0.2 mg/ml (Please refer to the vial label for the specific concentration.)
- 靶点:
Fascin 1
- 抗体英文名:
Fascin 1 antibody [SPM133]
- 抗体名:
Fascin 1 抗体 [SPM133]
- 规格:
100 μg
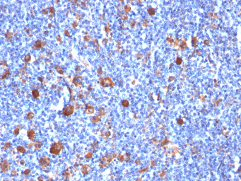
IHC-P analysis of human Hodgkin's lymph tissue using GTX34719 Fascin 1 antibody [SPM133].
ICC/IF analysis of HeLa cells using GTX34719 Fascin 1 antibody [SPM133].
Green : Primary antibody
Red : Phalloidin
Blue : nuclear counterstain
WB analysis of HeLa cell lysate using GTX34719 Fascin 1 antibody [SPM133].
FACS analysis of PFA-fixed K562 cells using GTX34719 Fascin 1 antibody [SPM133].
Blue : Primary antibody
Red : Isotype control
风险提示:丁香通仅作为第三方平台,为商家信息发布提供平台空间。用户咨询产品时请注意保护个人信息及财产安全,合理判断,谨慎选购商品,商家和用户对交易行为负责。对于医疗器械类产品,请先查证核实企业经营资质和医疗器械产品注册证情况。
文献和实验Using Biacore to Measure the Binding Kinetics of an Antibody‐Antigen Interaction
?protein interaction is described using an antibody and its antigen as an example. The affinity of the antibody for its antigen is determined by measuring the binding kinetics of the interaction. The protocols are divided into three major steps
Detection of NOS Isoforms by Western-Blot Analysis
. These antibodies are specific for the particular isoforms of NOS and show no cross-reactivity with other isoforms, identifying proteins of apparent Mr 130 kDa, 160 kDa, and 133 kDa respectively (1 ). This chapter describes a method for the estimation
1: Proteomics in Biomedicine - A Tool, a Science, or an Art? (p 5-15) Prof. Marc A. Reymond Part II: Blood Vessels Chapter 2: Antibody-Based Vascular Targeting: Proteomic Techniques for the Identification and Quantification of Membrane Proteins
技术资料暂无技术资料 索取技术资料











