相关产品推荐更多 >
万千商家帮你免费找货
0 人在求购买到急需产品
- 详细信息
- 文献和实验
- 技术资料
- 免疫原:
Recombinant protein encompassing a sequence within the center region of human Catalase. The exact sequence is proprietary.
- 亚型:
IgG
- 形态:
Liquid
- 保存条件:
Store as concentrated solution. Centrifuge briefly prior to opening vial. For short-term storage (1-2 weeks), store at 4ºC. For long-term storage, aliquot and store at -20ºC or below. Avoid multiple freeze-thaw cycles.
- 克隆性:
Polyclonal
- 标记物:
Unconjugated
- 适应物种:
Human, Mouse, Rat
- 保质期:
12 months from the shipping date of the product.
- 抗原来源:
Human
- 目录编号:
GTX110704
- 级别:
Primary Antibodies
- 库存:
Available
- 供应商:
GeneTex
- 宿主:
Rabbit
- 应用范围:
WB, IHC-P, IHC-Fr
- 浓度:
0.47 mg/ml (Please refer to the vial label for the specific concentration.)
- 靶点:
Catalase
- 抗体英文名:
Catalase antibody
- 抗体名:
Catalase 抗体
- 规格:
100 μl/25 μl
| 规格: | 100 μl | 产品价格: | ¥4000.0 |
|---|---|---|---|
| 规格: | 25 μl | 产品价格: | ¥1700.0 |
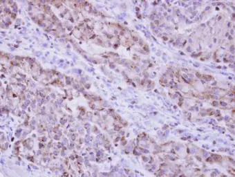
Immunohistochemical analysis of paraffin-embedded A549 xenograft, using Catalase (GTX110704) antibody at 1:500 dilution.
Antigen Retrieval: Trilogy™ (EDTA based, pH 8.0) buffer, 15min
Mouse tissue extract (50 μg) was separated by 10% SDS-PAGE, and the membrane was blotted with Catalase antibody (GTX110704) diluted at 1:3000. The HRP-conjugated anti-rabbit IgG antibody (GTX213110-01) was used to detect the primary antibody.
Non-transfected (–) and transfected (+) 293T whole cell extracts (30 μg) were separated by 10% SDS-PAGE, and the membrane was blotted with Catalase antibody (GTX110704) diluted at 1:1000. The HRP-conjugated anti-rabbit IgG antibody (GTX213110-01) was used to detect the primary antibody.
Rat tissue extract (50 μg) was separated by 10% SDS-PAGE, and the membrane was blotted with Catalase antibody (GTX110704) diluted at 1:1000. The HRP-conjugated anti-rabbit IgG antibody (GTX213110-01) was used to detect the primary antibody.
风险提示:丁香通仅作为第三方平台,为商家信息发布提供平台空间。用户咨询产品时请注意保护个人信息及财产安全,合理判断,谨慎选购商品,商家和用户对交易行为负责。对于医疗器械类产品,请先查证核实企业经营资质和医疗器械产品注册证情况。
文献和实验Hyatt HW et al., Physiol Rep 2015 (PMID:26603455)
Holland AM et al., BMC Res Notes 2015 (PMID:26423686)
Wu CH et al., J Biol Chem 2012 (PMID:22648416)
Ramos H et al., Antioxidants (Basel) 2022 (PMID:35883908)
Kornelius E et al., Biomolecules 2022 (PMID:36291547)
Osuru HP et al., Front Cardiovasc Med 2022 (PMID:35928940)
Kelley RC et al., J Appl Physiol (1985) 2022 (PMID:34792407)
Zhao X et al., J Microbiol Biotechnol 2021 (PMID:34226415)
Mesquita PHC et al., Physiol Rep 2022 (PMID:36543327)
Sigrist-Flores SC et al., Toxicol Res (Camb) 2021 (PMID:34484673)
Joris Mallard et al., J Cachexia Sarcopenia Muscle 2022 (PMID:35373507)
Jihong Wu et al., RSC Adv 2018 (PMID:35541541)
Adam Piecuch et al., Prz Gastroenterol 2020 (PMID:33777273)
Hwang JS et al., Biomed Pharmacother 2021 (PMID:34649350)
Chien LH et al., Antioxidants (Basel) 2021 (PMID:34679755)
Hwang JS et al., Antioxidants (Basel) 2021 (PMID:34439471)
Waditee-Sirisattha R et al., J Photochem Photobiol B 2021 (PMID:34450363)
Jiang WP et al., Antioxidants (Basel) 2021 (PMID:34199606)
Chang HM et al., Antioxidants (Basel) 2021 (PMID:34068192)
Mesquita PHC et al., Antioxidants (Basel) 2021 (PMID:33652958)
Dai J et al., Elife 2021 (PMID:33496266)
Murata K et al., J Nat Med 2021 (PMID:33201413)
Park NR et al., J Comp Physiol B 2020 (PMID:32506190)
Huang CY et al., Nutrients 2020 (PMID:32532087)
Hyatt HW et al., Reprod Biol Endocrinol 2018 (PMID:29316934)
Du G et al., Dev Cell 2020 (PMID:32243783)
Hsieh YH et al., Nutrients 2018 (PMID:30200495)
Parry HA et al., Heliyon 2018 (PMID:30533548)
Arc-Chagnaud C et al., Front Physiol 2020 (PMID:32116779)
Zhou H et al., JCI Insight 2019 (PMID:31185001)
Parry HA et al., Front Physiol 2019 (PMID:31040795)
Huang SY et al., Biomolecules 2019 (PMID:31430968)
Wu CT et al., Oxid Med Cell Longev 2019 (PMID:31214283)
Morton AB et al., Redox Biol 2019 (PMID:30414534)
Dongrui Zhao et al., RSV Adv. 2018 8()
Pei-Ying Li et al., RSC Adv. 2018 8()
Lee CT et al., J Steroid Biochem Mol Biol 2018 (PMID:30194976)
Noguera NI et al., Oncotarget 2017 (PMID:28427227)
Martin JS et al., Physiol Rep 2016 (PMID:27884954)
Hyatt HW et al., Front Physiol 2016 (PMID:27877138)
Hyatt HW et al., Int J Physiol Pathophysiol Pharmacol 2016 (PMID:28078055)
Wu CC et al., Redox Biol 2018 (PMID:30121389)
Hyatt HW et al., Reprod Sci 2018 (PMID:29621953)
Zhang Y et al., J Exp Biol 2018 (PMID:29487162)
Xu YM et al., Oncotarget 2016 (PMID:26716417)
Wu YL et al., Free Radic Biol Med 2018 (PMID:29247688)
Hyatt HW et al., Sci Rep 2017 (PMID:29215072)
Haun CT et al., Eur J Appl Physiol 2017 (PMID:29075862)
Zhang Y et al., Am J Physiol Regul Integr Comp Physiol 2017 (PMID:28931544)
Kephart WC et al., Nutrients 2017 (PMID:28914762)
Chao W et al., Int Immunopharmacol 2017 (PMID:28644965)
Lin WC et al., RSC Adv. 2017 7()
Mowry A.V. et al., Ecology and Evolution 2017 (Epub)
Chao W et al., Molecules 2017 (PMID:28350337)
Hyatt HW et al., Int J Physiol Pathophysiol Pharmacol 2016;8(4)
Hyatt H.W. et al., Front. Physiol. 2016 (Epub)
Dai J et al., J Biol Inorg Chem 2016 (PMID:27752786)
Mowry AV et al., PLoS One 2016 (PMID:27537547)
14 Immunotargeting of Catalase to the Pulmonary Vascular Endothelium
. In order to provide catalase with such an affinity, catalase could be chemically conjugated with a carrier antibodies recognizing the surface endothelial antigens (8 ). A monoclonal antibody (MAb) against such an antigen, angiotensin-converting enzyme
here to measure the viability and relative fitness of bacteria in the presence of hydrogen peroxide. A protocol for the determination of catalase activity, an important part of the ROS detoxification process, is also described.
催化如下反应的酶: 2H2 O2 —→ 2H2 O O2 。 EC1. 11. 1. 6.另外在 H2 O2 、 CH3 COOH、 C2 H5 -OOH的存在下可将 C2 H5 OH、 CH3 OH、 CH3 CO- OH、 HCOOH、 HNO2 等氧化。因此,在 H2 O2 分解反应中实际上是一部分 H2 O2 分子作为电子供体,另一部分 H2 O2 分子作为电子受体而起反应。根据这一情况, H. Theorell对过
技术资料暂无技术资料 索取技术资料









![eIF2 alpha antibody [2E4]](https://img1.dxycdn.com/2022/0328/992/0830010718232700453-14.jpg!wh200)

