相关产品推荐更多 >
万千商家帮你免费找货
0 人在求购买到急需产品
- 详细信息
- 文献和实验
- 技术资料
- 免疫原:
Carrier-protein conjugated synthetic peptide encompassing a sequence within the N-terminus region of human CD74. The exact sequence is proprietary.
- 亚型:
IgG
- 形态:
Liquid
- 保存条件:
Store as concentrated solution. Centrifuge briefly prior to opening vial. For short-term storage (1-2 weeks), store at 4ºC. For long-term storage, aliquot and store at -20ºC or below. Avoid multiple freeze-thaw cycles.
- 克隆性:
Polyclonal
- 标记物:
Unconjugated
- 适应物种:
Human, Mouse, Rat
- 保质期:
12 months from the shipping date of the product.
- 抗原来源:
Human
- 目录编号:
GTX110477
- 级别:
Primary Antibodies
- 库存:
Available
- 供应商:
GeneTex
- 宿主:
Rabbit
- 应用范围:
WB, ICC/IF, IHC-P
- 浓度:
0.87 mg/ml (Please refer to the vial label for the specific concentration.)
- 靶点:
CD74
- 抗体英文名:
CD74 antibody [N1N2], N-term
- 抗体名:
CD74 抗体 [N1N2], N-term
- 规格:
100 μl/25 μl
| 规格: | 100 μl | 产品价格: | ¥4000.0 |
|---|---|---|---|
| 规格: | 25 μl | 产品价格: | ¥1700.0 |
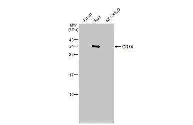
Various whole cell extracts (30 μg) were separated by 15% SDS-PAGE, and the membrane was blotted with CD74 antibody [N1N2], N-term (GTX110477) diluted at 1:1000. The HRP-conjugated anti-rabbit IgG antibody (GTX213110-01) was used to detect the primary antibody.
CD74 antibody [N1N2], N-term detects CD74 protein at cell membrane and cytoplasm by immunofluorescent analysis.
Sample: Raji cells were fixed in 4% PFA at RT for 15 min.
Green: CD74 stained by CD74 antibody [N1N2], N-term (GTX110477) diluted at 1:500.
Blue: Fluoroshield with DAPI (GTX30920).
Various whole cell extracts (30 μg) were separated by 15% SDS-PAGE, and the membrane was blotted with CD74 antibody [N1N2], N-term (GTX110477) diluted at 1:1000. The HRP-conjugated anti-rabbit IgG antibody (GTX213110-01) was used to detect the primary antibody.
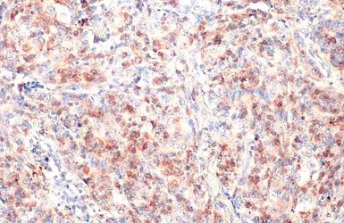
CD74 antibody [N1N2], N-term detects CD74 protein at cytoplasm by immunohistochemical analysis.
Sample: Paraffin-embedded human lung cancer.
CD74 stained by CD74 antibody [N1N2], N-term (GTX110477) diluted at 1:500.
Antigen Retrieval: Citrate buffer, pH 6.0, 15 min
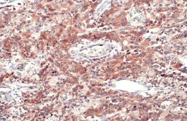
CD74 antibody [N1N2], N-term detects CD74 protein at cytoplasm by immunohistochemical analysis.
Sample: Paraffin-embedded human lung cancer.
CD74 stained by CD74 antibody [N1N2], N-term (GTX110477) diluted at 1:500.
Antigen Retrieval: Citrate buffer, pH 6.0, 15 min
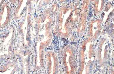
CD74 antibody [N1N2], N-term detects CD74 protein at cytoplasm by immunohistochemical analysis.
Sample: Paraffin-embedded human lung cancer.
CD74 stained by CD74 antibody [N1N2], N-term (GTX110477) diluted at 1:500.
Antigen Retrieval: Citrate buffer, pH 6.0, 15 min
风险提示:丁香通仅作为第三方平台,为商家信息发布提供平台空间。用户咨询产品时请注意保护个人信息及财产安全,合理判断,谨慎选购商品,商家和用户对交易行为负责。对于医疗器械类产品,请先查证核实企业经营资质和医疗器械产品注册证情况。
文献和实验Chen Y-T et al., J Pineal Res 2014 (PMID:25132326)
Sreevalsan S et al., EMBO Rep 2020 (PMID:33063451)
Liu YH et al., Biosci Rep 2020 (PMID:32744317)
Guest JD et al., Biomaterials 2018 (PMID:30265898)
In the field of therapeutic recombinant proteins, monoclonal antibodies (mAbs) have achieved a rising success with more than 30 mAbs that have reached the market in the past 20 years. From a structural standpoint, one of the most important
to protect the antibody. These should be stored in smaller aliquots (about 1 ml) and frozen for long term storage though the protected solution is also stable for months at four degrees. Ascites fluid: This is a bit more problematic as it may contain
Materials 0.1M NaHC03 pH9 DMSO NHS-Biotin (N-Hydroxysuccinimidobiotin, Sigma #H-1759) PBS Procedure Dialyze the sample against carbonate buffer. After dialysis, adjust
技术资料暂无技术资料 索取技术资料








![Laminin antibody [LAM-89]](https://img1.dxycdn.com/2022/0328/408/7390966241041300453-14.jpg!wh200)
![Coagulation factor III/Tissue Factor antibody [N1C3]](https://img1.dxycdn.com/2022/0328/140/4036928479563200453-14.jpg!wh200)

