相关产品推荐更多 >
万千商家帮你免费找货
0 人在求购买到急需产品
- 详细信息
- 文献和实验
- 技术资料
- 免疫原:
Recombinant protein encompassing a sequence within the center region of human Hepatic lipase. The exact sequence is proprietary.
- 亚型:
IgG
- 形态:
Liquid
- 保存条件:
Store as concentrated solution. Centrifuge briefly prior to opening vial. For short-term storage (1-2 weeks), store at 4ºC. For long-term storage, aliquot and store at -20ºC or below. Avoid multiple freeze-thaw cycles.
- 克隆性:
Polyclonal
- 标记物:
Unconjugated
- 适应物种:
Human
- 保质期:
12 months from the shipping date of the product.
- 抗原来源:
Human
- 目录编号:
GTX110336
- 级别:
Primary Antibodies
- 库存:
Available
- 供应商:
GeneTex
- 宿主:
Rabbit
- 应用范围:
WB, IHC-P
- 浓度:
1 mg/ml (Please refer to the vial label for the specific concentration.)
- 靶点:
Hepatic lipase
- 抗体英文名:
Hepatic lipase antibody [N1C1]
- 抗体名:
Hepatic lipase 抗体 [N1C1]
- 规格:
100 μl/25 μl
| 规格: | 100 μl | 产品价格: | ¥4000.0 |
|---|---|---|---|
| 规格: | 25 μl | 产品价格: | ¥1700.0 |
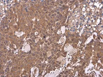
Hepatic lipase antibody [N1C1] detects Hepatic lipase protein at cytoplasm in Hep G2 xenograft by immunohistochemical analysis.
Sample: Paraffin-embedded Hep G2 xenograft.
Hepatic lipase antibody [N1C1] (GTX110336) diluted at 1:500.
Antigen Retrieval: Citrate buffer, pH 6.0, 15 min
Hepatic lipase antibody [N1C1] detects Hepatic lipase [N1C1] protein by western blot analysis. Whole cell extracts (30 μg) was separated by 10% SDS-PAGE, and the membrane was blotted with Hepatic lipase antibody [N1C1] (GTX110336) diluted at 1:500.
风险提示:丁香通仅作为第三方平台,为商家信息发布提供平台空间。用户咨询产品时请注意保护个人信息及财产安全,合理判断,谨慎选购商品,商家和用户对交易行为负责。对于医疗器械类产品,请先查证核实企业经营资质和医疗器械产品注册证情况。
文献和实验Determining Lipoprotein Lipase and Hepatic Lipase Activity Using Radiolabeled Substrates
Hepatic lipase (HL) and lipoprotein lipase (LPL) are two lipolytic enzymes that play an important role in the metabolism of circulating lipoproteins. Both enzymes catalyze the esterolysis of fatty acids present at the sn -1 (3) position
High-Level Expression and Purification of Human Hepatic Lipase from Mammalian Cells
Through its ability to catalyze the hydrolysis of triglycerides and phospholipids, hepatic lipase (HL) has been shown to influence the metabolism of a broad range of circulating lipoproteins (1 ). HL is synthesized and secreted
Purification of Rat Hepatic Lipase Essentially Free of Apolipoprotein E and Apolipoprotein B
Hepatic lipase (HL) is necessary for efficient clearance of triglyceride-rich lipoproteins from plasma (1 ). In humans, HL deficiency leads to the accumulation of triglyceride-rich intermediate density lipoproteins (IDL), LDL, and large HDL
技术资料暂无技术资料 索取技术资料






![FYN antibody [FYN-01]](https://img1.dxycdn.com/2022/0328/674/9080105064488300453-14.jpg!wh200)




