相关产品推荐更多 >
万千商家帮你免费找货
0 人在求购买到急需产品
- 详细信息
- 文献和实验
- 技术资料
- 免疫原:
Recombinant protein encompassing a sequence within the center region of human MX1. The exact sequence is proprietary.
- 亚型:
IgG
- 形态:
Liquid
- 保存条件:
Store as concentrated solution. Centrifuge briefly prior to opening vial. For short-term storage (1-2 weeks), store at 4ºC. For long-term storage, aliquot and store at -20ºC or below. Avoid multiple freeze-thaw cycles.
- 克隆性:
Polyclonal
- 标记物:
Unconjugated
- 适应物种:
Human, Rabbit, Bovine, Monkey
- 保质期:
12 months from the shipping date of the product.
- 抗原来源:
Human
- 目录编号:
GTX110256
- 级别:
Primary Antibodies
- 库存:
Available
- 供应商:
GeneTex
- 宿主:
Rabbit
- 应用范围:
WB, ICC/IF, IHC-P, IHC-Fr
- 浓度:
0.52 mg/ml (Please refer to the vial label for the specific concentration.)
- 靶点:
MX1
- 抗体英文名:
MX1 antibody [N2C2], Internal
- 抗体名:
MX1 抗体 [N2C2], Internal
- 规格:
100 μl/25 μl
| 规格: | 100 μl | 产品价格: | ¥4000.0 |
|---|---|---|---|
| 规格: | 25 μl | 产品价格: | ¥1700.0 |
Whole cell extract (30 μg) was separated by 7.5% SDS-PAGE, and the membrane was blotted with MX1 antibody (GTX110256) diluted at 1:1000. The HRP-conjugated anti-rabbit IgG antibody (GTX213110-01) was used to detect the primary antibody.
MX1 antibody [N2C2], Internal detects MX1 protein at cytoplasm by immunofluorescent analysis.
Sample: HeLa cells were fixed in 4% PFA at RT for 15 min.
Green: MX1 protein stained by MX1 antibody [N2C2], Internal (GTX110256) diluted at 1:200.
Red: alpha Tubulin, a cytoskeleton marker, stained by alpha Tubulin antibody [GT114] (GTX628802) diluted at 1:1000.
Blue: Hoechst 33342 staining.
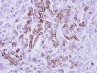
MX1 antibody [N2C2], Internal detects MX1 protein at cytoplasm in human colon carcinoma by immunohistochemical analysis.
Sample: Paraffin-embedded human colon carcinoma.
MX1 antibody [N2C2], Internal (GTX110256) diluted at 1:500.
Antigen Retrieval: Citrate buffer, pH 6.0, 15 min
MX1 antibody [N2C2], Internal detects MX1 protein by western blot analysis.
A. 30 μg 293T whole cell lysate/extract
B. 30 μg whole cell lysate/extract of human MX1-transfected 293T cells.
7.5% SDS-PAGE
MX1 antibody [N2C2], Internal (GTX110256) dilution: 1:10000
The HRP-conjugated anti-rabbit IgG antibody (GTX213110-01) was used to detect the primary antibody.
Immunohistochemical analysis of paraffin-embedded MDA-MB-468 xenograft, using MX1(GTX110256) antibody at 1:500 dilution.
Antigen Retrieval: Citrate buffer, pH 6.0, 15 min
风险提示:丁香通仅作为第三方平台,为商家信息发布提供平台空间。用户咨询产品时请注意保护个人信息及财产安全,合理判断,谨慎选购商品,商家和用户对交易行为负责。对于医疗器械类产品,请先查证核实企业经营资质和医疗器械产品注册证情况。
文献和实验Song J.Y. et al., Int. J. Mol. Sci. 2021;22(5)
An D et al., Res Vet Sci 2017 (PMID:28254416)
Guo Y et al., Front Immunol 2020 (PMID:33193303)
Ferraris P et al., Emerg Microbes Infect 2019 (PMID:31282298)
Wichit S et al., Int J Mol Sci 2019 (PMID:30959732)
Gao M et al., Dev Comp Immunol 2017 (PMID:28942155)
Verweij MC et al., PLoS Pathog 2015 (PMID:25973608)
Guo Y et al., Dev Comp Immunol 2016 (PMID:27693540)
Li L et al., PLoS One 2016 (PMID:27227879)
Nagaraju K et al., Rheumatology (Oxford) 2016 (PMID:27215813)
Chi Z et al., Scand J Immunol 2014 (PMID:24383796)
Chen YH et al., PLoS One 2012 (PMID:23139774)
Iverson E et al., mBio 2022 (PMID:35699372)
Jung Sun Lee et al., J Clin Med 2022 (PMID:35683408)
Ji Young Song et al., Int J Mol Sci 2021 (PMID:33670861)
Youk J et al., Cell Stem Cell 2020 (PMID:33142113)
Sadanari H et al., Microbiol Spectr 2022 (PMID:35138119)
Iverson E. et al., bioRxiv 2021 (Epub)
Preparation and Assay of Acetylcholinesterase Antibody
structures mimicking external antigen results from the fact that the conformation of some of the anti-idiotypic antibodies may be complementary to the three-dimensional structure of the binding site of the first antibody, and therefore, represents
Protocol for anti-HA antibody Western Blotting
film for ~2 mins. Notes on the primary antibody: Source : Covance/Babco Description: Crude ascites fluid monoclonal anti-HA antibody (CATLN#135032002, 11mms-101R, 0.5 ml) Handling: Aliquoted into 10ul portions in -20℃ Internal notes: labelled anti
Analysis of Antibody-Antigen Interactions Using Surface Plasmon Resonance
Accurate analyses of antibody specificities and affinities are critical to understanding their role in antibody-mediated neutralization of HIV-1 in vitro and their potential activity against HIV-1 in vivo. Multiple immunologic tools
技术资料暂无技术资料 索取技术资料





![KCC2 antibody [S1-12]](https://custom.dxycdn.com/trademd/upload/pic/2013/11/12/A1383891150.jpg!small.t.1)





